验证数据展示
经过测试的应用
| Positive WB detected in | mouse liver tissue |
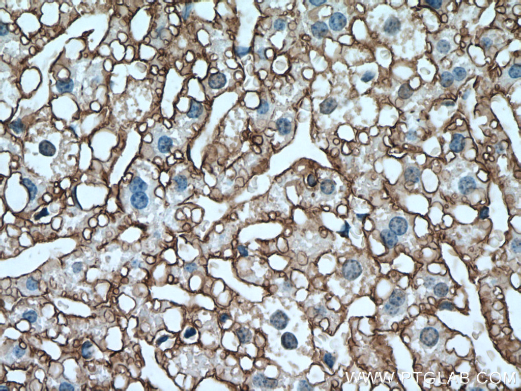
| Positive IHC detected in | human liver cancer tissue, mouse liver tissue Note: suggested antigen retrieval with TE buffer pH 9.0; (*) Alternatively, antigen retrieval may be performed with citrate buffer pH 6.0 |
推荐稀释比
| 应用 | 推荐稀释比 |
|---|---|
| Western Blot (WB) | WB : 1:500-1:3000 |
| Immunohistochemistry (IHC) | IHC : 1:250-1:1000 |
| It is recommended that this reagent should be titrated in each testing system to obtain optimal results. | |
| Sample-dependent, Check data in validation data gallery. | |
发表文章中的应用
| WB | See 2 publications below |
| IHC | See 2 publications below |
产品信息
27998-1-AP targets SLC22A9 in WB, IHC, ELISA applications and shows reactivity with human, mouse samples.
| 经测试应用 | WB, IHC, ELISA Application Description |
| 文献引用应用 | WB, IHC |
| 经测试反应性 | human, mouse |
| 文献引用反应性 | human, mouse |
| 免疫原 |
CatNo: Ag27573 Product name: Recombinant human SLC22A9 protein Source: e coli.-derived, PGEX-4T Tag: GST Domain: 52-175 aa of BC022379 Sequence: HILDNDTVSDNDTGALSQDALLRISIPLDSNMRPEKCRRFVHPQWQLLHLNGTFPNTSDADMEPCVDGWVYDRISFSSTIVTEWDLVCDSQSLTSVAKFVFMAGMMVGGILGGHLSDSSRVGNT 种属同源性预测 |
| 宿主/亚型 | Rabbit / IgG |
| 抗体类别 | Polyclonal |
| 产品类型 | Antibody |
| 全称 | solute carrier family 22 (organic anion transporter), member 9 |
| 别名 | hOAT4, OAT4, OAT7, Organic anion transporter 4, Organic anion transporter 7 |
| 计算分子量 | 553 aa, 62 kDa |
| 观测分子量 | 70 kDa |
| GenBank蛋白编号 | BC022379 |
| 基因名称 | SLC22A9 |
| Gene ID (NCBI) | 114571 |
| RRID | AB_2881034 |
| 偶联类型 | Unconjugated |
| 形式 | Liquid |
| 纯化方式 | Antigen affinity purification |
| UNIPROT ID | Q8IVM8 |
| 储存缓冲液 | PBS with 0.02% sodium azide and 50% glycerol, pH 7.3. |
| 储存条件 | Store at -20°C. Stable for one year after shipment. Aliquoting is unnecessary for -20oC storage. |
实验方案
| Product Specific Protocols | |
|---|---|
| WB protocol for SLC22A9 antibody 27998-1-AP | Download protocol |
| IHC protocol for SLC22A9 antibody 27998-1-AP | Download protocol |
| Standard Protocols | |
|---|---|
| Click here to view our Standard Protocols |
发表文章
| Species | Application | Title |
|---|---|---|
Drug Dev Res The mechanism of Arhalofenate in alleviating hyperuricemia-Activating PPARγ thereby reducing caspase-1 activity. | ||
Behav Brain Res Disorders in the gut and liver are involved in depression contagion between isosexual post-stroke depression mice and the healthy cohabitors | ||
J Ethnopharmacol The Impact of Chrysanthemi Indici Flos-Enriched Flavonoid part on the Model of Hyperuricemia Based on Inhibiting Synthesis and Promoting Excretion of Uric Acid |




