验证数据展示
经过测试的应用
| Positive WB detected in | mouse kidney tissue, HEK-293 cells |
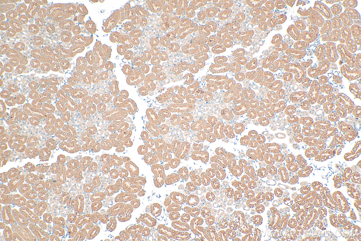
| Positive IHC detected in | mouse kidney tissue Note: suggested antigen retrieval with TE buffer pH 9.0; (*) Alternatively, antigen retrieval may be performed with citrate buffer pH 6.0 |
推荐稀释比
| 应用 | 推荐稀释比 |
|---|---|
| Western Blot (WB) | WB : 1:500-1:2000 |
| Immunohistochemistry (IHC) | IHC : 1:50-1:500 |
| It is recommended that this reagent should be titrated in each testing system to obtain optimal results. | |
| Sample-dependent, Check data in validation data gallery. | |
发表文章中的应用
| WB | See 1 publications below |
| IHC | See 1 publications below |
产品信息
26182-1-AP targets SLC13A3 in WB, IHC, ELISA applications and shows reactivity with human, mouse samples.
| 经测试应用 | WB, IHC, ELISA Application Description |
| 文献引用应用 | WB, IHC |
| 经测试反应性 | human, mouse |
| 文献引用反应性 | human |
| 免疫原 |
CatNo: Ag24183 Product name: Recombinant human SLC13A3 protein Source: e coli.-derived, PGEX-4T Tag: GST Domain: 568-602 aa of BC035966 Sequence: QTIFQLGTFPDWADMYSVNVTALPPTLANDTFRTL 种属同源性预测 |
| 宿主/亚型 | Rabbit / IgG |
| 抗体类别 | Polyclonal |
| 产品类型 | Antibody |
| 全称 | solute carrier family 13 (sodium-dependent dicarboxylate transporter), member 3 |
| 别名 | NADC3, Sodium-dependent high-affinity dicarboxylate transporter 2, SDCT2, NaDC-3, NaC3 |
| 计算分子量 | 602 aa, 67 kDa |
| 观测分子量 | 55-60 kDa |
| GenBank蛋白编号 | BC035966 |
| 基因名称 | SLC13A3 |
| Gene ID (NCBI) | 64849 |
| RRID | AB_2880414 |
| 偶联类型 | Unconjugated |
| 形式 | Liquid |
| 纯化方式 | Antigen affinity purification |
| UNIPROT ID | Q8WWT9 |
| 储存缓冲液 | PBS with 0.02% sodium azide and 50% glycerol, pH 7.3. |
| 储存条件 | Store at -20°C. Stable for one year after shipment. Aliquoting is unnecessary for -20oC storage. |
背景介绍
SLC13A3, also named NADC3 and SDCT2, belongs to the SLC13A/DASS transporter (TC 2.A.47) family and NADC subfamily. SLC13A3 encodes the plasma membrane Na+ /Dicarboxylate Cotransporter 3 (NaDC3), which imports inside the cell four to six carbon dicarboxylates as well as N-acetylaspartate (NAA). SLC13A3 is mainly expressed in kidney, but also in brain, liver, placenta and eye (PMID: 30635937). This antibody detected the 55-60 kDa band in SDS-PAGE. However, the 55 kDa (nonglycosylated) and 85 kDa (glycosylated) bands have been reported in the article (PMID: 27053689).
实验方案
| Product Specific Protocols | |
|---|---|
| IHC protocol for SLC13A3 antibody 26182-1-AP | Download protocol |
| WB protocol for SLC13A3 antibody 26182-1-AP | Download protocol |
| Standard Protocols | |
|---|---|
| Click here to view our Standard Protocols |
发表文章
| Species | Application | Title |
|---|---|---|
Int J Mol Sci Succinate Accumulation Is Associated with a Shift of Mitochondrial Respiratory Control and HIF-1α Upregulation in PTEN Negative Prostate Cancer Cells. | ||
Cell Metab Adipocyte-derived glutathione promotes obesity-related breast cancer by regulating the SCARB2-ARF1-mTORC1 complex |



