验证数据展示
经过测试的应用
| Positive WB detected in | HEK-293 cells, 37°C incubated mouse kidney tissue |
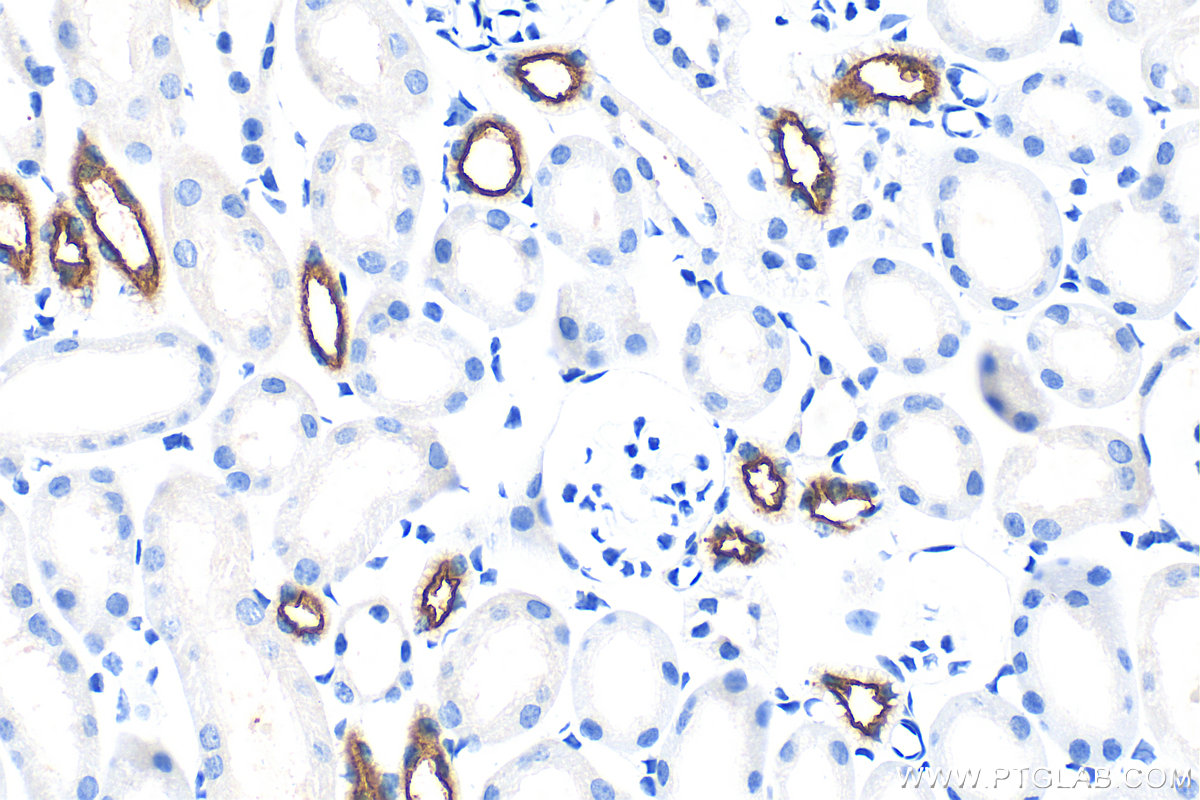
| Positive IHC detected in | mouse kidney tissue, rat kidney tissue Note: suggested antigen retrieval with TE buffer pH 9.0; (*) Alternatively, antigen retrieval may be performed with citrate buffer pH 6.0 |
| Positive IF detected in | mouse Embryonic kidney tissue |
推荐稀释比
| 应用 | 推荐稀释比 |
|---|---|
| Western Blot (WB) | WB : 1:500-1:2000 |
| Immunohistochemistry (IHC) | IHC : 1:500-1:2000 |
| Immunofluorescence (IF) | IF : 1:20-1:200 |
| It is recommended that this reagent should be titrated in each testing system to obtain optimal results. | |
| Sample-dependent, Check data in validation data gallery. | |
产品信息
18970-1-AP targets SLC12A1/NKCC2 in WB, IHC, IF, ELISA applications and shows reactivity with human, mouse, rat samples.
| 经测试应用 | WB, IHC, IF, ELISA Application Description |
| 文献引用应用 | WB, IHC, IF |
| 经测试反应性 | human, mouse, rat |
| 文献引用反应性 | human, mouse, rat |
| 免疫原 |
CatNo: Ag5325 Product name: Recombinant human SLC12A1 protein Source: e coli.-derived, PET28a Tag: 6*His Domain: 1-176 aa of BC040138 Sequence: MSLNNSSNVFLDSVPSNTNRFQVSVINENHESSAAADDNTDPPHYEETSFGDEAQKRLRISFRPGNQECYDNFLQSGETAKTDASFHAYDSHTNTYYLQTFGHNTMDAVPKIEYYRNTGSISGPKVNRPSLLEIHEQLAKNVAVTPSSADRVANGDGIPGDEQAENKEDDQAGVVK 种属同源性预测 |
| 宿主/亚型 | Rabbit / IgG |
| 抗体类别 | Polyclonal |
| 产品类型 | Antibody |
| 全称 | solute carrier family 12 (sodium/potassium/chloride transporters), member 1 |
| 别名 | NKCC2, SLC12A1, BSC1, Bumetanide-sensitive sodium-(potassium)-chloride cotransporter 2, Kidney-specific Na-K-Cl symporter |
| 计算分子量 | 121 kDa |
| 观测分子量 | 135 kDa |
| GenBank蛋白编号 | BC040138 |
| 基因名称 | SLC12A1/NKCC2 |
| Gene ID (NCBI) | 6557 |
| RRID | AB_2877130 |
| 偶联类型 | Unconjugated |
| 形式 | Liquid |
| 纯化方式 | Antigen affinity purification |
| UNIPROT ID | Q13621 |
| 储存缓冲液 | PBS with 0.02% sodium azide and 50% glycerol, pH 7.3. |
| 储存条件 | Store at -20°C. Stable for one year after shipment. Aliquoting is unnecessary for -20oC storage. |
实验方案
| Product Specific Protocols | |
|---|---|
| IF protocol for SLC12A1/NKCC2 antibody 18970-1-AP | Download protocol |
| IHC protocol for SLC12A1/NKCC2 antibody 18970-1-AP | Download protocol |
| WB protocol for SLC12A1/NKCC2 antibody 18970-1-AP | Download protocol |
| Standard Protocols | |
|---|---|
| Click here to view our Standard Protocols |
发表文章
| Species | Application | Title |
|---|---|---|
Cell Stem Cell Plasticity of distal nephron epithelia from human kidney organoids enables the induction of ureteric tip and stalk. | ||
Nat Protoc Generation of proximal tubule-enhanced kidney organoids from human pluripotent stem cells | ||
Nat Commun Enhanced metanephric specification to functional proximal tubule enables toxicity screening and infectious disease modelling in kidney organoids | ||
J Am Soc Nephrol A Toolbox to Characterize Human Induced Pluripotent Stem Cell-Derived Kidney Cell Types and Organoids. | ||
J Am Soc Nephrol Hnf4a Is Required for the Development of Cdh6-Expressing Progenitors into Proximal Tubules in the Mouse Kidney. | ||
Mol Ther Tubular-specific CDK12 knockout causes a defect in urine concentration due to premature cleavage of the slc12a1 gene. |









