验证数据展示
经过测试的应用
| Positive WB detected in | Daudi cells |
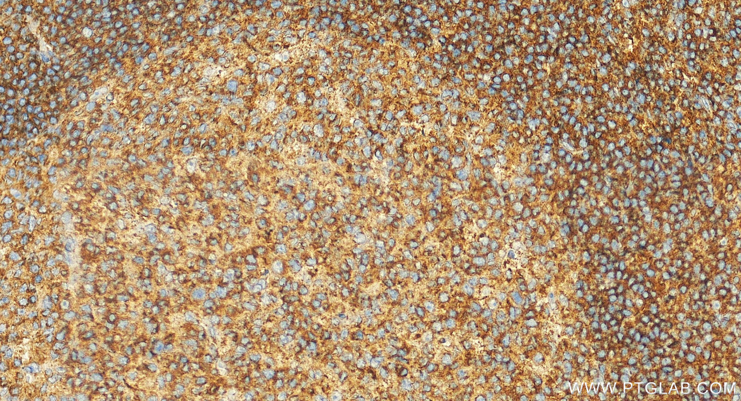
| Positive IHC detected in | human colon cancer tissue, human tonsillitis tissue Note: suggested antigen retrieval with TE buffer pH 9.0; (*) Alternatively, antigen retrieval may be performed with citrate buffer pH 6.0 |
推荐稀释比
| 应用 | 推荐稀释比 |
|---|---|
| Western Blot (WB) | WB : 1:1000-1:8000 |
| Immunohistochemistry (IHC) | IHC : 1:50-1:500 |
| It is recommended that this reagent should be titrated in each testing system to obtain optimal results. | |
| Sample-dependent, Check data in validation data gallery. | |
产品信息
22711-1-AP targets NTB-A/SLAMF6 in WB, IHC, ELISA applications and shows reactivity with human samples.
| 经测试应用 | WB, IHC, ELISA Application Description |
| 经测试反应性 | human |
| 免疫原 |
CatNo: Ag18517 Product name: Recombinant human SLAMF6 protein Source: e coli.-derived, PET28a Tag: 6*His Domain: 40-332 aa of BC114495 Sequence: LPLEFPAGEKVNFITWLFNETSLAFIVPHETKSPEIHVTNPKQGKRLNFTQSYSLQLSNLKMEDTGSYRAQISTKTSAKLSSYTLRILRQLRNIQVTNHSQLFQNMTCELHLTCSVEDADDNVSFRWEALGNTLSSQPNLTVSWDPRISSEQDYTCIAENAVSNLSFSVSAQKLCEDVKIQYTDTKMILFMVSGICIVFGFIILLLLVLRKRRDSLSLSTQRTQGPAESARNLEYVSVSPTNNTVYASVTHSNRETEIWTPRENDTITIYSTINHSKESKPTFSRATALDNVV 种属同源性预测 |
| 宿主/亚型 | Rabbit / IgG |
| 抗体类别 | Polyclonal |
| 产品类型 | Antibody |
| 全称 | SLAM family member 6 |
| 别名 | SLAMF6, Activating NK receptor, CD352, KALI, KALIb |
| 计算分子量 | 332 aa, 37 kDa |
| 观测分子量 | 60 kDa |
| GenBank蛋白编号 | BC114495 |
| 基因名称 | SLAMF6 |
| Gene ID (NCBI) | 114836 |
| RRID | AB_2879154 |
| 偶联类型 | Unconjugated |
| 形式 | Liquid |
| 纯化方式 | Antigen affinity purification |
| UNIPROT ID | Q96DU3 |
| 储存缓冲液 | PBS with 0.02% sodium azide and 50% glycerol, pH 7.3. |
| 储存条件 | Store at -20°C. Stable for one year after shipment. Aliquoting is unnecessary for -20oC storage. |
背景介绍
Signaling lymphocyte activation molecule 6 (SLAMF6) (Ly108 in mice, NTB-A or SF2000 in humans) is a homophilic receptor belonging to the superfamily immunoglobulin (Ig) domain-containing molecules (PMID:31199820). SLAMF6 is a type I transmembrane protein with two extracellular immunoglobins (Ig)-like domains and three cytoplasmic tyrosine-based signaling motifs, one of which is immunoreceptor tyrosine-based switch motif (PMID:31315913). SLAMF6 is expressed on a wide variety of immune cells including T cells (also TFH), B cells, NK cells (expressed in humans only), double positive thymocytes, eosinophils, and neutrophils (mouse only) (PMID:11862385).
实验方案
| Product Specific Protocols | |
|---|---|
| IHC protocol for NTB-A/SLAMF6 antibody 22711-1-AP | Download protocol |
| WB protocol for NTB-A/SLAMF6 antibody 22711-1-AP | Download protocol |
| Standard Protocols | |
|---|---|
| Click here to view our Standard Protocols |





