验证数据展示
经过测试的应用
| Positive WB detected in | mouse brain tissue, mouse cerebellum tissue, rat brain tissue |
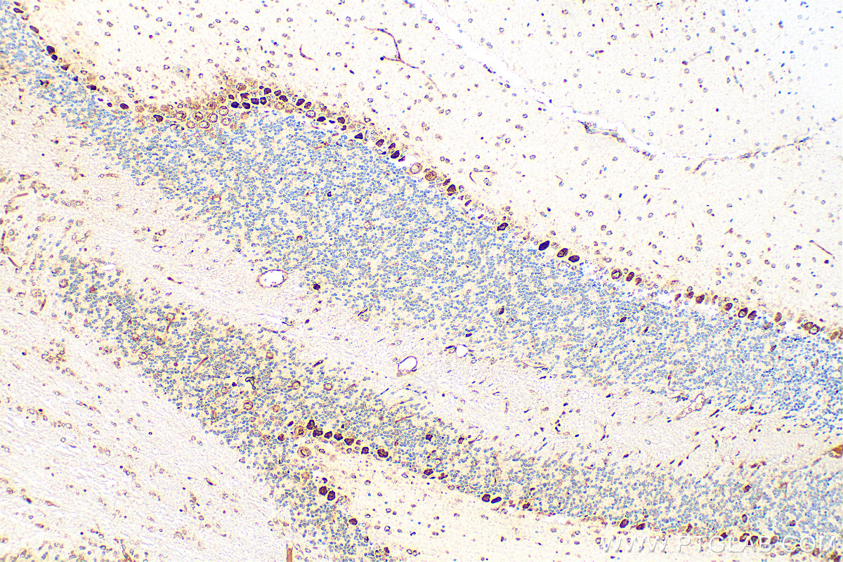
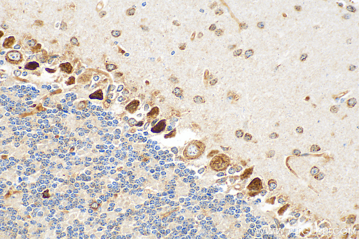
| Positive IHC detected in | mouse cerebellum tissue Note: suggested antigen retrieval with TE buffer pH 9.0; (*) Alternatively, antigen retrieval may be performed with citrate buffer pH 6.0 |
| Positive IF-P detected in | mouse cerebellum tissue |
推荐稀释比
| 应用 | 推荐稀释比 |
|---|---|
| Western Blot (WB) | WB : 1:2000-1:16000 |
| Immunohistochemistry (IHC) | IHC : 1:200-1:800 |
| Immunofluorescence (IF)-P | IF-P : 1:200-1:800 |
| It is recommended that this reagent should be titrated in each testing system to obtain optimal results. | |
| Sample-dependent, Check data in validation data gallery. | |
产品信息
55370-1-AP targets SKOR2 in WB, IHC, IF-P, ELISA applications and shows reactivity with human, mouse, rat samples.
| 经测试应用 | WB, IHC, IF-P, ELISA Application Description |
| 经测试反应性 | human, mouse, rat |
| 免疫原 |
Peptide 种属同源性预测 |
| 宿主/亚型 | Rabbit / IgG |
| 抗体类别 | Polyclonal |
| 产品类型 | Antibody |
| 全称 | functional smad suppressing element 18 |
| 别名 | FUSSEL18 |
| 计算分子量 | 104 kDa |
| 观测分子量 | 30 kDa, 60 kDa |
| GenBank蛋白编号 | XM_001715219 |
| 基因名称 | SKOR2 |
| Gene ID (NCBI) | 652991 |
| RRID | AB_3086446 |
| 偶联类型 | Unconjugated |
| 形式 | Liquid |
| 纯化方式 | Antigen affinity purification |
| UNIPROT ID | Q2VWA4 |
| 储存缓冲液 | PBS with 0.02% sodium azide and 50% glycerol, pH 7.3. |
| 储存条件 | Store at -20°C. Stable for one year after shipment. Aliquoting is unnecessary for -20oC storage. |
背景介绍
SKOR2 (SKI family transcriptional corepressor 2), also named FUSSEL18, is a transcriptional repressor that is highly expressed in the central nervous system (PMID: 16200078). SKOR2 was detected at 30 and 60 kD in the cerebellum. It is identified as a novel transcriptional regulator in Purkinje cells that acts upstream of Shh during cerebellum development (PMID: 21937600). Skor2 was detected in Purkinje cells in the human fetal cerebellum (PMID: 34140698).
实验方案
| Product Specific Protocols | |
|---|---|
| IF protocol for SKOR2 antibody 55370-1-AP | Download protocol |
| IHC protocol for SKOR2 antibody 55370-1-AP | Download protocol |
| WB protocol for SKOR2 antibody 55370-1-AP | Download protocol |
| Standard Protocols | |
|---|---|
| Click here to view our Standard Protocols |



