验证数据展示
经过测试的应用
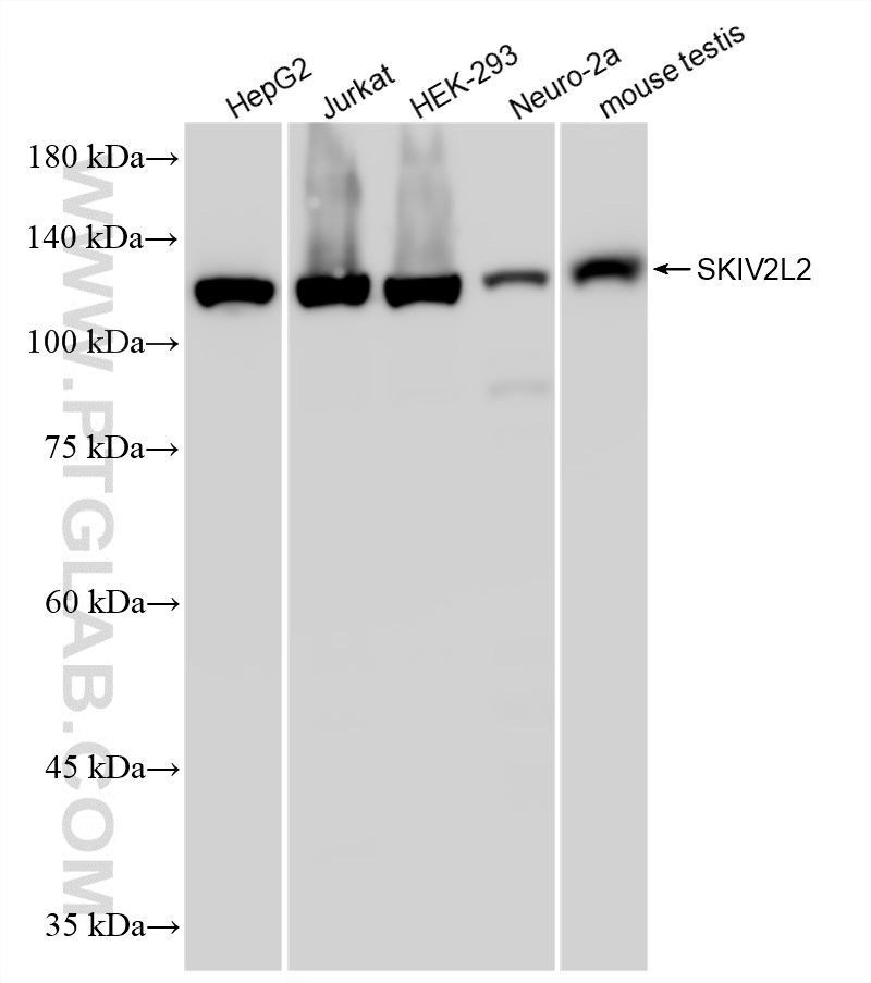
| Positive WB detected in | HepG2 cells, IMR-32 cells, Jurkat cells, HEK-293 cells, Neuro-2a cells, mouse testis tissue |
| Positive IF/ICC detected in | HepG2 cells |
推荐稀释比
| 应用 | 推荐稀释比 |
|---|---|
| Western Blot (WB) | WB : 1:5000-1:50000 |
| Immunofluorescence (IF)/ICC | IF/ICC : 1:400-1:1600 |
| It is recommended that this reagent should be titrated in each testing system to obtain optimal results. | |
| Sample-dependent, Check data in validation data gallery. | |
产品信息
86536-1-RR targets SKIV2L2 in WB, IF/ICC, ELISA applications and shows reactivity with human, mouse samples.
| 经测试应用 | WB, IF/ICC, ELISA Application Description |
| 经测试反应性 | human, mouse |
| 免疫原 |
CatNo: Ag3414 Product name: Recombinant human SKIV2L2 protein Source: e coli.-derived, PGEX-4T Tag: GST Domain: 3-307 aa of BC028604 Sequence: DAFGDELFSVFEGDSTTAAGTKKDKEKDKGKWKGPPGSADKAGKRFDGKLQSESTNNGKNKRDVDFEGTDEPIFGKKPRIEESITEDLSLADLMPRVKVQSVETVEGCTHEVALPAEEDYLPLKPRVGKAAKEYPFILDAFQREAIQCVDNNQSVLVSAHTSAGKTVCAEYAIALALREKQRVIFTSPIKALSNQKYREMYEEFQDVGLMTGDVTINPTASCLVMTTEILRSMLYRGSEVMREVAWVIFDEIHYMRDSERGVVWEETIILLPDNVHYVFLSATIPNARQFAEWICHLHKQPCHVI 种属同源性预测 |
| 宿主/亚型 | Rabbit / IgG |
| 抗体类别 | Recombinant |
| 产品类型 | Antibody |
| 全称 | superkiller viralicidic activity 2-like 2 (S. cerevisiae) |
| 别名 | ATP dependent helicase SKIV2L2, ATP-dependent RNA helicase DOB1, ATP-dependent RNA helicase SKIV2L2, DOB1, EC:3.6.4.13 |
| 计算分子量 | 1042 aa, 118 kDa |
| 观测分子量 | 118 kDa |
| GenBank蛋白编号 | BC028604 |
| 基因名称 | SKIV2L2 |
| Gene ID (NCBI) | 23517 |
| 偶联类型 | Unconjugated |
| 形式 | Liquid |
| 纯化方式 | Protein A purification |
| UNIPROT ID | P42285 |
| 储存缓冲液 | PBS with 0.02% sodium azide and 50% glycerol, pH 7.3. |
| 储存条件 | Store at -20°C. Stable for one year after shipment. Aliquoting is unnecessary for -20oC storage. |
背景介绍
SKIV2L2 (Ski2-like RNA helicase 2, also called Mtr4) is an evolutionarily conserved 3′→5′ RNA helicase belonging to the Ski2-like subfamily of DExH-box helicases.SKIV2L2 is an essential component of the nuclear exosome targeting (NEXT) complex, where it acts as the major ATP-dependent motor that threads RNA substrates into the catalytic core of the RNA exosome for processing and degradation. Through this activity, SKIV2L2 regulates the turnover of aberrant pre-mRNAs, non-coding RNAs, and promoter-associated RNAs, thereby influencing gene expression, ribosomal RNA biogenesis, and maintenance of nuclear RNA homeostasis. It plays a role in cell differentiation and spermatogenesis. Clinically, germline mutations in SKIV2L2 have been associated with tricho-hepato-enteric syndrome, highlighting its importance in intestinal and hepatic development. (PMID: 39863862)
实验方案
| Product Specific Protocols | |
|---|---|
| IF protocol for SKIV2L2 antibody 86536-1-RR | Download protocol |
| WB protocol for SKIV2L2 antibody 86536-1-RR | Download protocol |
| Standard Protocols | |
|---|---|
| Click here to view our Standard Protocols |


