验证数据展示
经过测试的应用
| Positive WB detected in | HL-60 cells, NIH/3T3 cells |
| Positive IP detected in | mouse liver tissue |
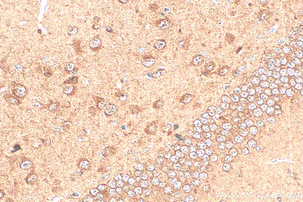
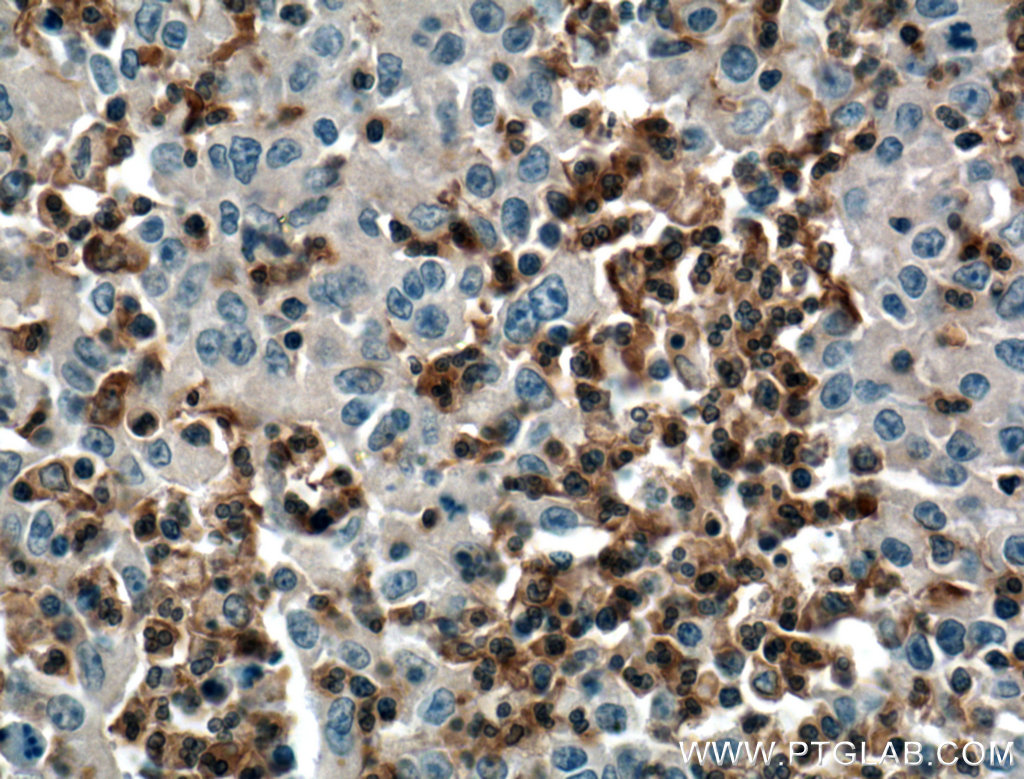
| Positive IHC detected in | mouse brain tissue Note: suggested antigen retrieval with TE buffer pH 9.0; (*) Alternatively, antigen retrieval may be performed with citrate buffer pH 6.0 |
| Positive FC (Intra) detected in | NIH/3T3 cells |
推荐稀释比
| 应用 | 推荐稀释比 |
|---|---|
| Western Blot (WB) | WB : 1:500-1:3000 |
| Immunoprecipitation (IP) | IP : 0.5-4.0 ug for 1.0-3.0 mg of total protein lysate |
| Immunohistochemistry (IHC) | IHC : 1:50-1:500 |
| Flow Cytometry (FC) (INTRA) | FC (INTRA) : 0.40 ug per 10^6 cells in a 100 µl suspension |
| It is recommended that this reagent should be titrated in each testing system to obtain optimal results. | |
| Sample-dependent, Check data in validation data gallery. | |
产品信息
12926-1-AP targets SKAP2 in WB, IHC, IF, FC (Intra), IP, ELISA applications and shows reactivity with human, mouse, rat samples.
| 经测试应用 | WB, IHC, FC (Intra), IP, ELISA Application Description |
| 文献引用应用 | WB, IHC, IF, IP |
| 经测试反应性 | human, mouse, rat |
| 文献引用反应性 | human, mouse, rat |
| 免疫原 |
CatNo: Ag3615 Product name: Recombinant human SKAP2 protein Source: e coli.-derived, PGEX-4T Tag: GST Domain: 1-359 aa of BC036044 Sequence: MPNPSSTSSPYPLPEEIRNLLADVETFVADILKGENLSKKAKEKRESLIKKIKDVKSIYLQEFQDKGDAEDGEEYDDPFAGPPDTISLASERYDKDDEAPSDGAQFPPIAAQDLPFVLKAGYLEKRRKDHSFLGFEWQKRWCALSKTVFYYYGSDKDKQQKGEFAIDGYSVRMNNTLRKDGKKDCCFEISAPDKRIYQFTAASPKDAEEWVQQLKFVLQDMESDIIPEDYDERGELYDDVDHPLPISNPLTSSQPIDDEIYEELPEEEEDSAPVKVEEQRKMSQDSVHHTSGDKSTDYANFYQGLWDCTGAFSDELSFKRGDVIYILSKEYNRYGWWVGEMKGAIGLVPKAYIMEMYDI 种属同源性预测 |
| 宿主/亚型 | Rabbit / IgG |
| 抗体类别 | Polyclonal |
| 产品类型 | Antibody |
| 全称 | src kinase associated phosphoprotein 2 |
| 别名 | PRAP, Pyk2/RAFTK associated protein, Pyk2/RAFTK-associated protein, RA70, Retinoic acid-induced protein 70 |
| 计算分子量 | 41 kDa |
| 观测分子量 | 55 kDa |
| GenBank蛋白编号 | BC036044 |
| 基因名称 | SKAP2 |
| Gene ID (NCBI) | 8935 |
| RRID | AB_2189317 |
| 偶联类型 | Unconjugated |
| 形式 | Liquid |
| 纯化方式 | Antigen affinity purification |
| UNIPROT ID | O75563 |
| 储存缓冲液 | PBS with 0.02% sodium azide and 50% glycerol, pH 7.3. |
| 储存条件 | Store at -20°C. Stable for one year after shipment. Aliquoting is unnecessary for -20oC storage. |
背景介绍
SKAP2 (src kinase associated phosphoprotein 2), also named PRAP, contains PH domain and SH3 domain. It is localized in cytoplasm and was expressed in ubiquitously in various tissues including lung, skeletal muscle, and spleen, but not detectable in thymus and T cell lymphoma cells. SKAP2 may negatively regulate alpha-synuclein phosphorylation following cell stress. SKAP2 may be involved in B-cell and macrophage adhesion processes by coupling the B-cell receptor (BCR) to integrin activation. Observed MW of SKAP2 is 55 kDa(PMID: 23161539).
实验方案
| Product Specific Protocols | |
|---|---|
| FC protocol for SKAP2 antibody 12926-1-AP | Download protocol |
| IHC protocol for SKAP2 antibody 12926-1-AP | Download protocol |
| IP protocol for SKAP2 antibody 12926-1-AP | Download protocol |
| WB protocol for SKAP2 antibody 12926-1-AP | Download protocol |
| Standard Protocols | |
|---|---|
| Click here to view our Standard Protocols |
发表文章
| Species | Application | Title |
|---|---|---|
Cell Host Microbe Identifying Yersinia YopH-targeted signal transduction pathways that impair neutrophil responses during in vivo murine infection. | ||
J Exp Med Skap2 is required for β2 integrin-mediated neutrophil recruitment and functions.
| ||
Cancer Res SKAP2 Promotes Podosome Formation to Facilitate Tumor-Associated Macrophage Infiltration and Metastatic Progression. | ||
Diabetes SKAP2, a Candidate Gene for Type 1 Diabetes, Regulates β-Cell Apoptosis and Glycemic Control in Newly Diagnosed Patients.
| ||
Elife SKAP2 is required for defense against K. pneumoniae infection and neutrophil respiratory burst. | ||





