验证数据展示
经过测试的应用
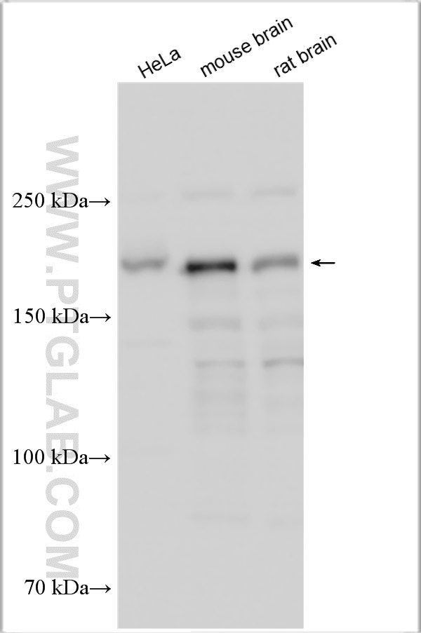
| Positive WB detected in | mouse brain tissue, HeLa cells, rat brain tissue |
| Positive IP detected in | HeLa cells |
| Positive IHC detected in | human ovary cancer tissue Note: suggested antigen retrieval with TE buffer pH 9.0; (*) Alternatively, antigen retrieval may be performed with citrate buffer pH 6.0 |
| Positive IF/ICC detected in | HeLa cells, HEK-293 cells |
推荐稀释比
| 应用 | 推荐稀释比 |
|---|---|
| Western Blot (WB) | WB : 1:1000-1:6000 |
| Immunoprecipitation (IP) | IP : 0.5-4.0 ug for 1.0-3.0 mg of total protein lysate |
| Immunohistochemistry (IHC) | IHC : 1:50-1:500 |
| Immunofluorescence (IF)/ICC | IF/ICC : 1:50-1:500 |
| It is recommended that this reagent should be titrated in each testing system to obtain optimal results. | |
| Sample-dependent, Check data in validation data gallery. | |
产品信息
30544-1-AP targets SIPA1L3 in WB, IHC, IF/ICC, IP, ELISA applications and shows reactivity with human, mouse, rat samples.
| 经测试应用 | WB, IHC, IF/ICC, IP, ELISA Application Description |
| 文献引用应用 | WB, IF, IP |
| 经测试反应性 | human, mouse, rat |
| 文献引用反应性 | human, mouse |
| 免疫原 |
CatNo: Ag30750 Product name: Recombinant human SIPA1L3 protein Source: e coli.-derived, PGEX-4T Tag: GST Domain: 1-300 aa of BC150620 Sequence: MTTYRAIPSDGVDLAASCGARVGDVLPGPHTGDYAPLGFWAQNGSMSQPLGESPATATATATATTRPSPTTPAMPKMGVRARVADWPPKREALREHSNPSPSQDTDGTKATKMAHSMRSIQNGQPPTSTPASSGSKAFHRLSRRRSKDVEFQDGWPRSPGRAFLPLRHRSSSEITLSECDAEDAGEPRGARHTGALPLFREYGSTSSIDVQGMPEQSFFDILNEFRSEQPDARGCQALTELLRADPGPHLMGGGGGAKGDSHNGQPAKDSLLPLQPTKEKEKARKKPARGLGGGDTVDSS 种属同源性预测 |
| 宿主/亚型 | Rabbit / IgG |
| 抗体类别 | Polyclonal |
| 产品类型 | Antibody |
| 全称 | signal-induced proliferation-associated 1 like 3 |
| 别名 | SPA-1-like protein 3, SPA 1 like protein 3, SIPA1-like protein 3, SIPA1 like protein 3, Signal-induced proliferation-associated 1-like protein 3 |
| 观测分子量 | 195 kDa |
| GenBank蛋白编号 | BC150620 |
| 基因名称 | SIPA1L3 |
| Gene ID (NCBI) | 23094 |
| RRID | AB_3086357 |
| 偶联类型 | Unconjugated |
| 形式 | Liquid |
| 纯化方式 | Antigen affinity purification |
| UNIPROT ID | O60292 |
| 储存缓冲液 | PBS with 0.02% sodium azide and 50% glycerol, pH 7.3. |
| 储存条件 | Store at -20°C. Stable for one year after shipment. Aliquoting is unnecessary for -20oC storage. |
背景介绍
STEAP3 (Signal-induced proliferation-associated 1-like protein 3) is also named as KIAA0545 and SPAL3. STEAP3 is a member of the STEAP family and is composed of a six-transmembrane domain at the COOH-terminal domain and a cytoplasmic N-terminal oxidoreductase domain, which is essential for iron and copper uptake (PMID:16227996). STEAP3 contains a functional p53-binding site in its promoter and can be upregulated following p53 activation to enhance cell death in myeloid leukemia cell line and breast cancer cells (PMID: 18617898). By interacting with Nix, a pro-apoptotic Bcl-2 family member, and Myt1 kinase, a negative regulator of the G2/M transition, STEAP3 overexpression promotes apoptosis and inhibits G2/M transition in cell cycle progression (PMID: 12606722, PMID: 10504341).
实验方案
| Product Specific Protocols | |
|---|---|
| IF protocol for SIPA1L3 antibody 30544-1-AP | Download protocol |
| IHC protocol for SIPA1L3 antibody 30544-1-AP | Download protocol |
| IP protocol for SIPA1L3 antibody 30544-1-AP | Download protocol |
| WB protocol for SIPA1L3 antibody 30544-1-AP | Download protocol |
| Standard Protocols | |
|---|---|
| Click here to view our Standard Protocols |





