验证数据展示
经过测试的应用
| Positive WB detected in | mouse lung tissue |
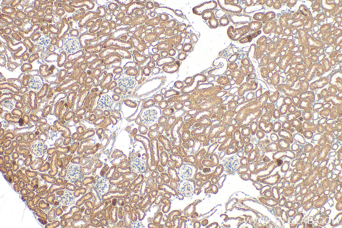
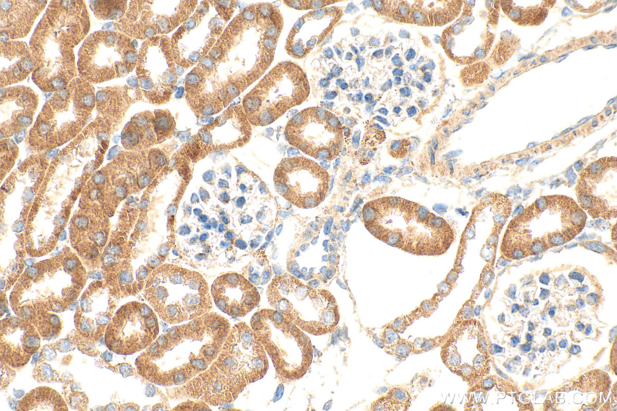
| Positive IHC detected in | human intrahepatic cholangiocarcinoma tissue, human ovary cancer tissue, mouse kidney tissue Note: suggested antigen retrieval with TE buffer pH 9.0; (*) Alternatively, antigen retrieval may be performed with citrate buffer pH 6.0 |
推荐稀释比
| 应用 | 推荐稀释比 |
|---|---|
| Western Blot (WB) | WB : 1:500-1:1000 |
| Immunohistochemistry (IHC) | IHC : 1:50-1:500 |
| It is recommended that this reagent should be titrated in each testing system to obtain optimal results. | |
| Sample-dependent, Check data in validation data gallery. | |
产品信息
27828-1-AP targets SIGIRR in WB, IHC, IF, ELISA applications and shows reactivity with human, mouse samples.
| 经测试应用 | WB, IHC, ELISA Application Description |
| 文献引用应用 | WB, IF, ELISA |
| 经测试反应性 | human, mouse |
| 文献引用反应性 | human, mouse, pig |
| 免疫原 |
CatNo: Ag25850 Product name: Recombinant human SIGIRR protein Source: e coli.-derived, PGEX-4T Tag: GST Domain: 1-118 aa of BC025953 Sequence: MPGVCDRAPDFLSPSEDQVLRPALGSSVALNCTAWVVSGPHCSLPSVQWLKDGLPLGIGGHYSLHEYSWVKANLSEVLVSSVLGVNVTSTEVYGAFTCSIQNISFSSFTLQRAGPTSH 种属同源性预测 |
| 宿主/亚型 | Rabbit / IgG |
| 抗体类别 | Polyclonal |
| 产品类型 | Antibody |
| 全称 | single immunoglobulin and toll-interleukin 1 receptor (TIR) domain |
| 别名 | Single Ig IL-1-related receptor, Single Ig IL-1R-related molecule, Single immunoglobulin domain-containing IL1R-related protein, TIR8, Toll/interleukin 1 receptor 8 |
| 计算分子量 | 46 kDa |
| 观测分子量 | 55 kDa |
| GenBank蛋白编号 | BC025953 |
| 基因名称 | SIGIRR |
| Gene ID (NCBI) | 59307 |
| RRID | AB_2880984 |
| 偶联类型 | Unconjugated |
| 形式 | Liquid |
| 纯化方式 | Antigen affinity purification |
| UNIPROT ID | Q6IA17 |
| 储存缓冲液 | PBS with 0.02% sodium azide and 50% glycerol, pH 7.3. |
| 储存条件 | Store at -20°C. Stable for one year after shipment. Aliquoting is unnecessary for -20oC storage. |
背景介绍
SIGIRR (also known as TIR8) is a member of the toll-like receptor (TLR)/interleukin 1 receptor (IL-1R) superfamily, with a single immunoglobulin extracellular domain and a TIR (Toll/IL-1R) intracellular domain. SIGIRR functions as a negative regulator for IL-1 and LPS signaling, through its interaction with the TLR4 and IL-1R complex. SIGIRR is an important modulator of intestinal epithelial homeostasis and a key regulator of mucosal immunity, maintaining microbial tolerance of the intestinal epithelial layer (PMID: 17398123). The molecular weight of the glycosylated SIGIRR was found to be in the range 50-80 kDa (PMID: 10346978; 17495864).
实验方案
| Product Specific Protocols | |
|---|---|
| IHC protocol for SIGIRR antibody 27828-1-AP | Download protocol |
| WB protocol for SIGIRR antibody 27828-1-AP | Download protocol |
| Standard Protocols | |
|---|---|
| Click here to view our Standard Protocols |
发表文章
| Species | Application | Title |
|---|---|---|
Viruses Porcine Circovirus Type 2 Induces Single Immunoglobulin Interleukin-1 Related Receptor (SIGIRR) Downregulation to Promote Interleukin-1β Upregulation in Porcine Alveolar Macrophage. | ||
Cell Death Dis IL-37b alleviates endothelial cell apoptosis and inflammation in Kawasaki disease through IL-1R8 pathway. | ||
Ital J Pediatr SIGIRR-caspase-8 signaling mediates endothelial apoptosis in Kawasaki disease | ||
J Control Release AAV9-delivery of interleukin-37b gene prevents recurrent herpetic stromal keratitis via the SIGIRR pathway in mice |






