验证数据展示
经过测试的应用
| Positive WB detected in | K-562 cells, HeLa cells, human skeletal muscle tissue, mouse liver tissue, SH-SY5Y cells |
| Positive IP detected in | HeLa cells |
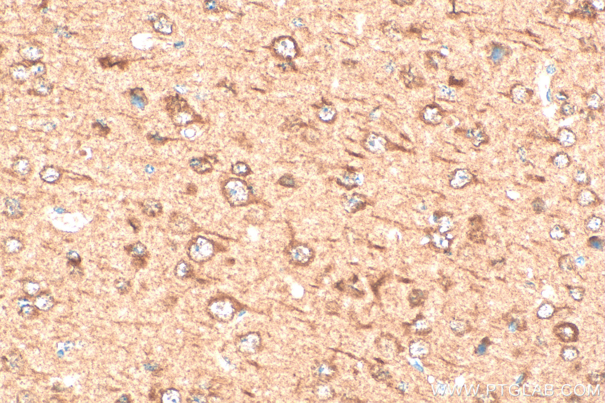
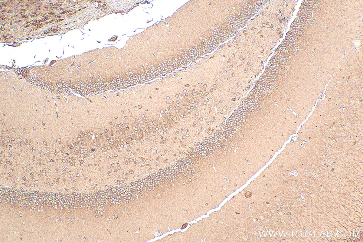
| Positive IHC detected in | mouse brain tissue, human liver cancer tissue, human prostate cancer tissue Note: suggested antigen retrieval with TE buffer pH 9.0; (*) Alternatively, antigen retrieval may be performed with citrate buffer pH 6.0 |
| Positive IF/ICC detected in | HeLa cells |
推荐稀释比
| 应用 | 推荐稀释比 |
|---|---|
| Western Blot (WB) | WB : 1:500-1:1000 |
| Immunoprecipitation (IP) | IP : 0.5-4.0 ug for 1.0-3.0 mg of total protein lysate |
| Immunohistochemistry (IHC) | IHC : 1:200-1:800 |
| Immunofluorescence (IF)/ICC | IF/ICC : 1:200-1:800 |
| It is recommended that this reagent should be titrated in each testing system to obtain optimal results. | |
| Sample-dependent, Check data in validation data gallery. | |
产品信息
11019-2-AP targets SGTA in WB, IHC, IF/ICC, IP, CoIP, ELISA applications and shows reactivity with human, mouse, rat samples.
| 经测试应用 | WB, IHC, IF/ICC, IP, ELISA Application Description |
| 文献引用应用 | WB, IHC, IF, CoIP |
| 经测试反应性 | human, mouse, rat |
| 文献引用反应性 | human, mouse |
| 免疫原 |
CatNo: Ag1475 Product name: Recombinant human SGTA protein Source: e coli.-derived, PGEX-4T Tag: GST Domain: 1-313 aa of BC008885 Sequence: MDNKKRLAYAIIQFLHDQLRHGGLSSDAQESLEVAIQCLETAFGVTVEDSDLALPQTLPEIFEAAATGKEMPQDLRSPARTPPSEEDSAEAERLKTEGNEQMKVENFEAAVHFYGKAIELNPANAVYFCNRAAAYSKLGNYAGAVQDCERAICIDPAYSKAYGRMGLALSSLNKHVEAVAYYKKALELDPDNETYKSNLKIAELKLREAPSPTGGVGSFDIAGLLNNPGFMSMASNLMNNPQIQQLMSGMISGGNNPLGTPGTSPSQNDLASLIQAGQQFAQQMQQQNPELIEQLRSQIRSRTPSASNDDQQE 种属同源性预测 |
| 宿主/亚型 | Rabbit / IgG |
| 抗体类别 | Polyclonal |
| 产品类型 | Antibody |
| 全称 | small glutamine-rich tetratricopeptide repeat (TPR)-containing, alpha |
| 别名 | Alpha SGT, alphaSGT, Alpha-SGT, aSGT, hSGT |
| 计算分子量 | 34 kDa |
| 观测分子量 | 34-37 kDa |
| GenBank蛋白编号 | BC008885 |
| 基因名称 | SGTA |
| Gene ID (NCBI) | 6449 |
| RRID | AB_2188830 |
| 偶联类型 | Unconjugated |
| 形式 | Liquid |
| 纯化方式 | Antigen affinity purification |
| UNIPROT ID | O43765 |
| 储存缓冲液 | PBS with 0.02% sodium azide and 50% glycerol, pH 7.3. |
| 储存条件 | Store at -20°C. Stable for one year after shipment. Aliquoting is unnecessary for -20oC storage. |
背景介绍
Small glutamine-rich tetratricopeptide repeat-containing protein alpha (SGTA) is a steroid receptor molecular co-chaperone critical in a range of biological processes, including viral infection, cell division, mitosis, and cell cycle checkpoint activation. Overexpression of SGTA has been found in various cancers, including prostate/ovary/testis/liver/lung cancer.
实验方案
| Product Specific Protocols | |
|---|---|
| IF protocol for SGTA antibody 11019-2-AP | Download protocol |
| IHC protocol for SGTA antibody 11019-2-AP | Download protocol |
| IP protocol for SGTA antibody 11019-2-AP | Download protocol |
| WB protocol for SGTA antibody 11019-2-AP | Download protocol |
| Standard Protocols | |
|---|---|
| Click here to view our Standard Protocols |
发表文章
| Species | Application | Title |
|---|---|---|
J Cell Biol Reticulon protects the integrity of the ER membrane during ER escape of large macromolecular protein complexes. | ||
PLoS Pathog A cytosolic chaperone complexes with dynamic membrane J-proteins and mobilizes a nonenveloped virus out of the endoplasmic reticulum.
| ||
PLoS Pathog A Non-enveloped Virus Hijacks Host Disaggregation Machinery to Translocate across the Endoplasmic Reticulum Membrane. | ||
Int J Cancer Knockdown of the co-chaperone SGTA results in the suppression of androgen and PI3K/AKT signaling and inhibition of prostate cancer cell proliferation. | ||
Int J Mol Sci Isoquercitrin Attenuates Steatohepatitis by Inhibition of the Activated NLRP3 Inflammasome through HSP90 | ||
Sci Rep Small Glutamine-Rich Tetratricopeptide Repeat-Containing Protein Alpha (SGTA) Ablation Limits Offspring Viability and Growth in Mice.
|












