验证数据展示
经过测试的应用
| Positive WB detected in | HT-29 cells, human heart tissue |
| Positive IP detected in | mouse heart tissue |
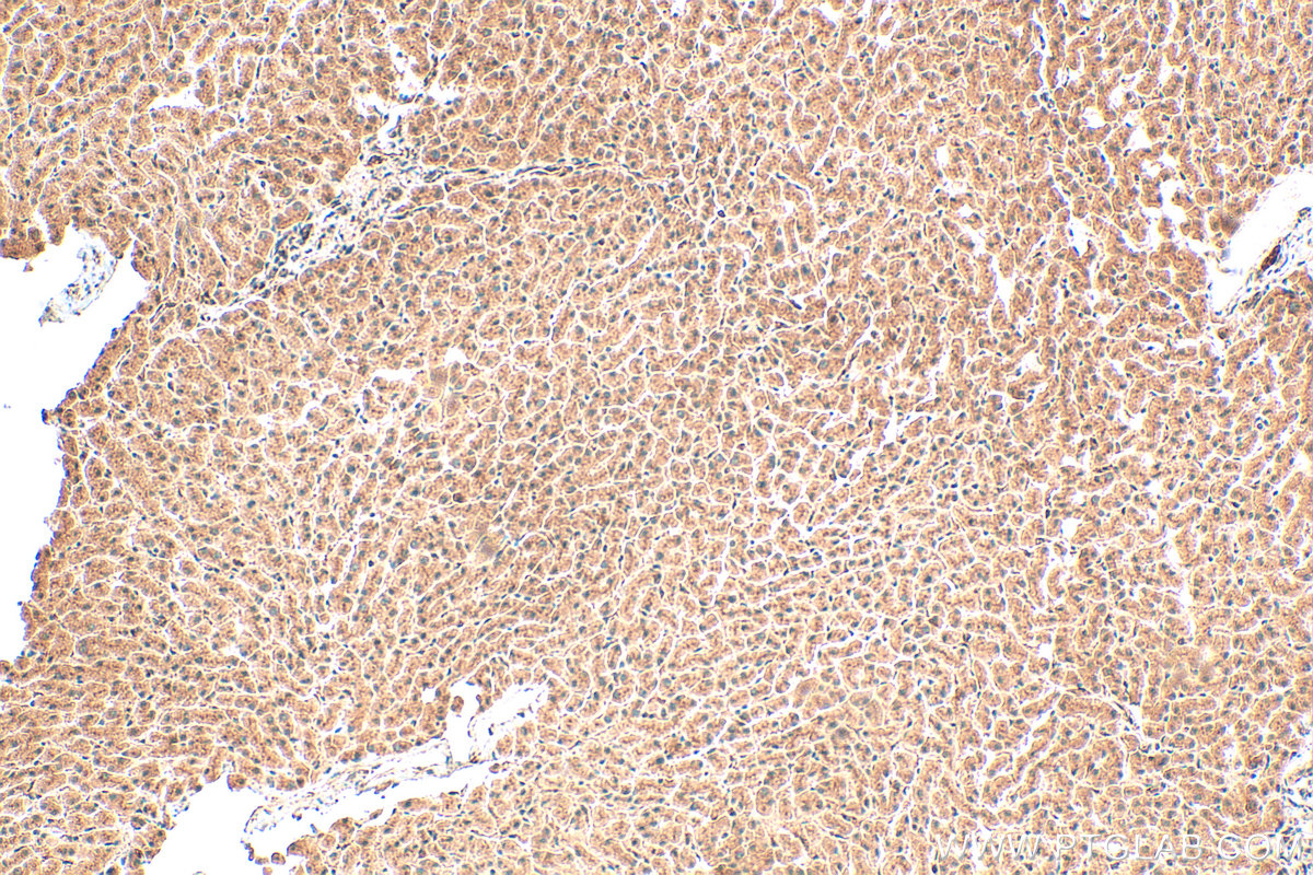
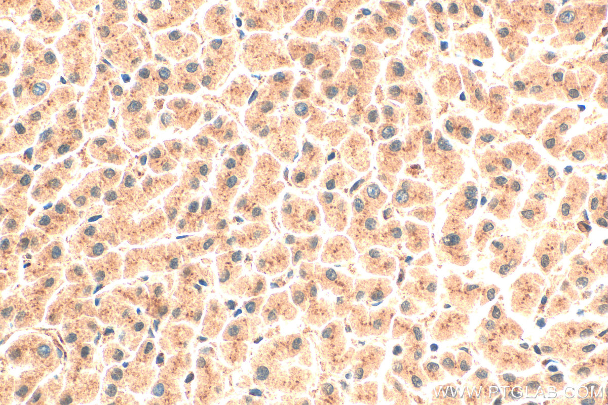
| Positive IHC detected in | human liver tissue Note: suggested antigen retrieval with TE buffer pH 9.0; (*) Alternatively, antigen retrieval may be performed with citrate buffer pH 6.0 |
推荐稀释比
| 应用 | 推荐稀释比 |
|---|---|
| Western Blot (WB) | WB : 1:500-1:1000 |
| Immunoprecipitation (IP) | IP : 0.5-4.0 ug for 1.0-3.0 mg of total protein lysate |
| Immunohistochemistry (IHC) | IHC : 1:50-1:500 |
| It is recommended that this reagent should be titrated in each testing system to obtain optimal results. | |
| Sample-dependent, Check data in validation data gallery. | |
产品信息
19050-1-AP targets SGMS1 in WB, IHC, IF, IP, ELISA applications and shows reactivity with human, mouse, rat samples.
| 经测试应用 | WB, IHC, IP, ELISA Application Description |
| 文献引用应用 | WB, IHC, IF |
| 经测试反应性 | human, mouse, rat |
| 文献引用反应性 | human, mouse, rat |
| 免疫原 |
CatNo: Ag5246 Product name: Recombinant human SGMS1 protein Source: e coli.-derived, PET28a Tag: 6*His Domain: 1-145 aa of BC042899 Sequence: MKEVVYWSPKKVADWLLENAMPEYCEPLEHFTGQDLINLTQEDFKKPPLCRVSSDNGQRLLDMIETLKMEHHLEAHKNGHANGHLNIGVDIPTPDGSFSIKIKPNGMPNGYRKEMIKIPMPELERSQYPMEWGKTFLAFLYALSC 种属同源性预测 |
| 宿主/亚型 | Rabbit / IgG |
| 抗体类别 | Polyclonal |
| 产品类型 | Antibody |
| 全称 | sphingomyelin synthase 1 |
| 别名 | EC:2.7.8.27, hmob33, Medulla oblongata-derived protein, MOB, MOB1 |
| 计算分子量 | 49 kDa |
| 观测分子量 | 25 kDa, 49 kDa |
| GenBank蛋白编号 | BC042899 |
| 基因名称 | SGMS1 |
| Gene ID (NCBI) | 259230 |
| RRID | AB_2188417 |
| 偶联类型 | Unconjugated |
| 形式 | Liquid |
| 纯化方式 | Antigen affinity purification |
| UNIPROT ID | Q86VZ5 |
| 储存缓冲液 | PBS with 0.02% sodium azide and 50% glycerol, pH 7.3. |
| 储存条件 | Store at -20°C. Stable for one year after shipment. Aliquoting is unnecessary for -20oC storage. |
背景介绍
Sphingomyelin synthase (SMS), with two isoforms, SMS1 (SGMS1) and SMS2, is a key enzyme involved in the generation and development of SM. SMS can participate in inflammation, atherosclerosis, proliferation, apoptosis, differentiation and other functions(PMID:30535436). SMS1 is frequently downregulated in various solid cancers, more particularly in melanoma(PMID:31114500). SGMS1 has two isoforms.
实验方案
| Product Specific Protocols | |
|---|---|
| IHC protocol for SGMS1 antibody 19050-1-AP | Download protocol |
| IP protocol for SGMS1 antibody 19050-1-AP | Download protocol |
| WB protocol for SGMS1 antibody 19050-1-AP | Download protocol |
| Standard Protocols | |
|---|---|
| Click here to view our Standard Protocols |
发表文章
| Species | Application | Title |
|---|---|---|
FASEB J Sphingomyelin maintains the cutaneous barrier via regulation of the STAT3 pathway. | ||
Exp Neurol Inhibition of sphingomyelin synthase 1 ameliorates alzheimer-like pathology in APP/PS1 transgenic mice through promoting lysosomal degradation of BACE1.
| ||
iScience The Symbiotic Relationship between the Neural Retina and Retinal Pigment Epithelium Is Supported by Utilizing Differential Metabolic Pathways. | ||
Drug Des Devel Ther Involvement of Huanglian Jiedu Decoction on Microglia with Abnormal Sphingolipid Metabolism in Alzheimer's Disease. |




