验证数据展示
经过测试的应用
| Positive WB detected in | MCF-7 cells, human brain tissue, mouse liver tissue, mouse brain tissue, rat brain tissue |
| Positive IP detected in | mouse brain tissue |
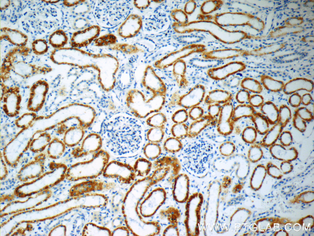
| Positive IHC detected in | human breast cancer tissue, human kidney tissue Note: suggested antigen retrieval with TE buffer pH 9.0; (*) Alternatively, antigen retrieval may be performed with citrate buffer pH 6.0 |
推荐稀释比
| 应用 | 推荐稀释比 |
|---|---|
| Western Blot (WB) | WB : 1:1000-1:6000 |
| Immunoprecipitation (IP) | IP : 0.5-4.0 ug for 1.0-3.0 mg of total protein lysate |
| Immunohistochemistry (IHC) | IHC : 1:50-1:500 |
| It is recommended that this reagent should be titrated in each testing system to obtain optimal results. | |
| Sample-dependent, Check data in validation data gallery. | |
产品信息
12296-1-AP targets SFXN1 in WB, IHC, IF, IP, ELISA applications and shows reactivity with human, mouse, rat samples.
| 经测试应用 | WB, IHC, IP, ELISA Application Description |
| 文献引用应用 | WB, IHC, IF, IP |
| 经测试反应性 | human, mouse, rat |
| 文献引用反应性 | human, mouse, rat |
| 免疫原 |
CatNo: Ag2985 Product name: Recombinant human SFXN1 protein Source: e coli.-derived, PGEX-4T Tag: GST Domain: 1-236 aa of BC020517 Sequence: MILIGRMSAQVPMNMTITGCMMTFYRTTPAVLFWQWINQSFNAVVNYTNRSGDAPLTVNELGTAYVSATTGAVATALGLNALTKHVSPLIGRFVPFAAVAAANCINIPLMRQRELKVGIPVTDENGNRLGESANAAKQAITQVVVSRILMAAPGMAIPPFIMNTLEKKAFLKRFPWMSAPIQVGLVGFCLVFATPLCCALFPQKSSMSVTSLEAELQAKIQESHPELRRVYFNKGL 种属同源性预测 |
| 宿主/亚型 | Rabbit / IgG |
| 抗体类别 | Polyclonal |
| 产品类型 | Antibody |
| 全称 | sideroflexin 1 |
| 别名 | sideroflexin 1, Sideroflexin-1, TCC, Tricarboxylate carrier protein |
| 计算分子量 | 35.6 kDa |
| 观测分子量 | 30-35 kDa |
| GenBank蛋白编号 | BC020517 |
| 基因名称 | SFXN1 |
| Gene ID (NCBI) | 94081 |
| RRID | AB_2185814 |
| 偶联类型 | Unconjugated |
| 形式 | Liquid |
| 纯化方式 | Antigen affinity purification |
| UNIPROT ID | Q9H9B4 |
| 储存缓冲液 | PBS with 0.02% sodium azide and 50% glycerol, pH 7.3. |
| 储存条件 | Store at -20°C. Stable for one year after shipment. Aliquoting is unnecessary for -20oC storage. |
背景介绍
SFXN1, the founding member of the SLC56 family, was identified by positional cloning of the mutation in the flexed-tail mouse model with sideroblastic anemia. SFXN1 was recently identified as a mitochondrial serine transporter essential for one-carbon (1C) metabolism, a process in which folate species are generated and used in biosynthetic pathways required for cell proliferation. In HEK293 cells, SFXN1 is the most abundant isoform among the SFXNs.
实验方案
| Product Specific Protocols | |
|---|---|
| IHC protocol for SFXN1 antibody 12296-1-AP | Download protocol |
| IP protocol for SFXN1 antibody 12296-1-AP | Download protocol |
| WB protocol for SFXN1 antibody 12296-1-AP | Download protocol |
| Standard Protocols | |
|---|---|
| Click here to view our Standard Protocols |
发表文章
| Species | Application | Title |
|---|---|---|
Nat Chem Biol Metabolic determinants of cancer cell sensitivity to canonical ferroptosis inducers.
| ||
J Proteome Res The liver connexin32 interactome is a novel plasma membrane-mitochondrial signaling nexus. | ||
Cell Rep The mitochondrial carrier SFXN1 is critical for complex III integrity and cellular metabolism.
| ||
Front Immunol YAP1 alleviates sepsis-induced acute lung injury via inhibiting ferritinophagy-mediated ferroptosis | ||
Sci Rep Loss of SFXN1 mitigates lipotoxicity and predicts poor outcome in non-viral hepatocellular carcinoma | ||
Sci Total Environ Ferritinophagy activation and sideroflexin1-dependent mitochondrial iron overload contribute to patulin-induced cardiac inflammation and fibrosis
|








