验证数据展示
经过测试的应用
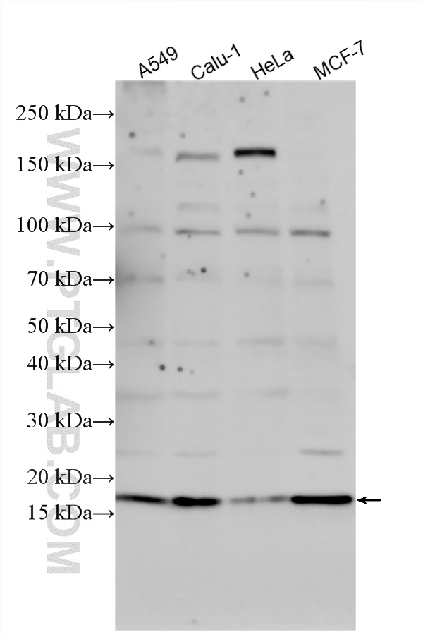
| Positive WB detected in | A549 cells, Calu-1 cells, HeLa cells, MCF-7 cells |
| Positive IP detected in | HeLa cells |
推荐稀释比
| 应用 | 推荐稀释比 |
|---|---|
| Western Blot (WB) | WB : 1:500-1:2000 |
| Immunoprecipitation (IP) | IP : 0.5-4.0 ug for 1.0-3.0 mg of total protein lysate |
| It is recommended that this reagent should be titrated in each testing system to obtain optimal results. | |
| Sample-dependent, Check data in validation data gallery. | |
产品信息
32914-1-AP targets SFT2D2 in WB, IP, ELISA applications and shows reactivity with human samples.
| 经测试应用 | WB, IP, ELISA Application Description |
| 经测试反应性 | human |
| 免疫原 |
CatNo: Ag36996 Product name: Recombinant human SFT2D2 protein Source: e coli.-derived, PGEX-4T Tag: GST Domain: 1-63 aa of BC068098 Sequence: MDKLKKVLSGQDTEDRSGLSEVVEASSLSWSTRIKGFIACFAIGILCSLLGTVLLWVPRKGLH 种属同源性预测 |
| 宿主/亚型 | Rabbit / IgG |
| 抗体类别 | Polyclonal |
| 产品类型 | Antibody |
| 全称 | SFT2 domain containing 2 |
| 别名 | SFT2 domain-containing protein 2, UNQ512/PRO1027, Vesicle transport protein SFT2B |
| 计算分子量 | 160 aa, 18 kDa |
| 观测分子量 | 18 kDa |
| GenBank蛋白编号 | BC068098 |
| 基因名称 | SFT2D2 |
| Gene ID (NCBI) | 375035 |
| 偶联类型 | Unconjugated |
| 形式 | Liquid |
| 纯化方式 | Antigen affinity Purification |
| UNIPROT ID | O95562 |
| 储存缓冲液 | PBS with 0.02% sodium azide and 50% glycerol, pH 7.3. |
| 储存条件 | Store at -20°C. Stable for one year after shipment. Aliquoting is unnecessary for -20oC storage. |
背景介绍
SFT2D2 is part of the SFT2 protein family, which is involved in managing membrane traffic inside cells. Its specific molecular role is linked to the Golgi apparatus, a central hub for processing and sorting proteins.
实验方案
| Product Specific Protocols | |
|---|---|
| IP protocol for SFT2D2 antibody 32914-1-AP | Download protocol |
| WB protocol for SFT2D2 antibody 32914-1-AP | Download protocol |
| Standard Protocols | |
|---|---|
| Click here to view our Standard Protocols |

