验证数据展示
经过测试的应用
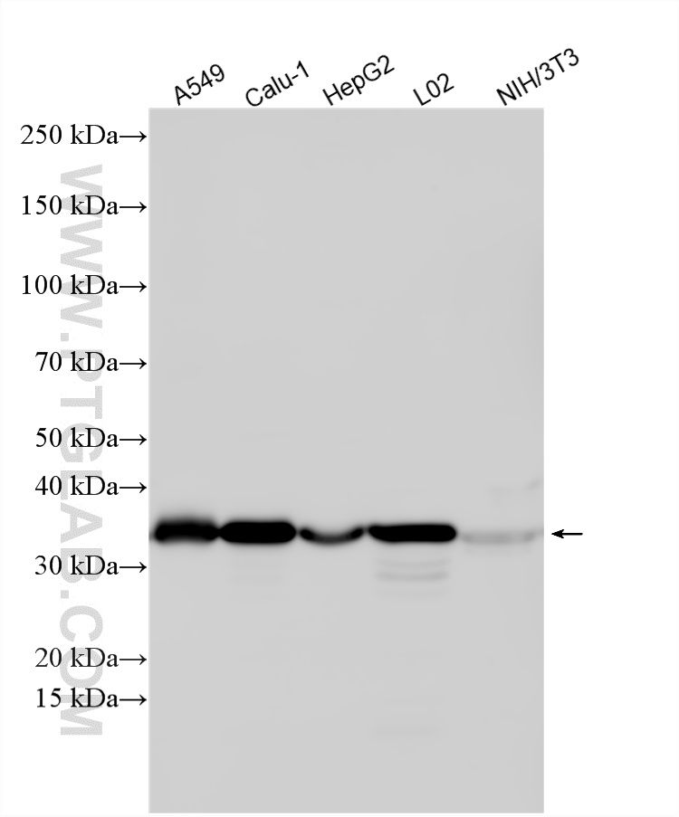
| Positive WB detected in | NIH/3T3 cells, A549 cells, mouse testis tissue, rat brain tissue, Calu-1 cells, HepG2 cells, L02 cells |
| Positive IP detected in | mouse brain tissue |
| Positive IHC detected in | human lung cancer tissue Note: suggested antigen retrieval with TE buffer pH 9.0; (*) Alternatively, antigen retrieval may be performed with citrate buffer pH 6.0 |
| Positive IF/ICC detected in | HepG2 cells |
推荐稀释比
| 应用 | 推荐稀释比 |
|---|---|
| Western Blot (WB) | WB : 1:1000-1:8000 |
| Immunoprecipitation (IP) | IP : 0.5-4.0 ug for 1.0-3.0 mg of total protein lysate |
| Immunohistochemistry (IHC) | IHC : 1:50-1:500 |
| Immunofluorescence (IF)/ICC | IF/ICC : 1:1500-1:6000 |
| It is recommended that this reagent should be titrated in each testing system to obtain optimal results. | |
| Sample-dependent, Check data in validation data gallery. | |
产品信息
20371-1-AP targets SFRS2 in WB, IHC, IF/ICC, IP, RIP, ELISA applications and shows reactivity with human, mouse, rat samples.
| 经测试应用 | WB, IHC, IF/ICC, IP, ELISA Application Description |
| 文献引用应用 | WB, IF, IP, RIP |
| 经测试反应性 | human, mouse, rat |
| 文献引用反应性 | human, mouse, rat |
| 免疫原 |
Peptide 种属同源性预测 |
| 宿主/亚型 | Rabbit / IgG |
| 抗体类别 | Polyclonal |
| 产品类型 | Antibody |
| 全称 | splicing factor, arginine/serine-rich 2 |
| 别名 | PR264, Protein PR264, SC 35, SC35, SC-35 |
| 计算分子量 | 25 kDa |
| 观测分子量 | 25-35 kDa |
| GenBank蛋白编号 | NM_003016 |
| 基因名称 | SFRS2 |
| Gene ID (NCBI) | 6427 |
| RRID | AB_2616311 |
| 偶联类型 | Unconjugated |
| 形式 | Liquid |
| 纯化方式 | Antigen affinity purification |
| UNIPROT ID | Q01130 |
| 储存缓冲液 | PBS with 0.02% sodium azide and 50% glycerol, pH 7.3. |
| 储存条件 | Store at -20°C. Stable for one year after shipment. Aliquoting is unnecessary for -20oC storage. |
背景介绍
SFRS2, also named as PR264 and Splicing component, 35 kDa, belongs to the splicing factor SR family. SFRS2 is necessary for the splicing of pre-mRNA. Some residue of SFRS2 is modified by phosphorylase and acetylase after translation. The molecular weight of modified SFRS2 is 35-40kDa. It is required for formation of the earliest ATP-dependent splicing complex and interacts with spliceosomal components bound to both the 5'- and 3'-splice sites during spliceosome assembly. It also is required for ATP-dependent interactions of both U1 and U2 snRNPs with pre-mRNA. It binds to purine-rich RNA sequences, either 5'-AGSAGAGTA-3' (S=C or G) or 5'-GTTCGAGTA-3'. SFRS2 can bind to beta-globin mRNA and commit it to the splicing pathway. The antibody has no cross reaction to SFRS2B.
实验方案
| Product Specific Protocols | |
|---|---|
| IF protocol for SFRS2 antibody 20371-1-AP | Download protocol |
| IHC protocol for SFRS2 antibody 20371-1-AP | Download protocol |
| IP protocol for SFRS2 antibody 20371-1-AP | Download protocol |
| WB protocol for SFRS2 antibody 20371-1-AP | Download protocol |
| Standard Protocols | |
|---|---|
| Click here to view our Standard Protocols |
发表文章
| Species | Application | Title |
|---|---|---|
Nat Commun Mutually exclusive acetylation and ubiquitylation of the splicing factor SRSF5 control tumor growth. | ||
EMBO Mol Med SRSF protein kinase 1 modulates RAN translation and suppresses CGG repeat toxicity | ||
Int J Biol Macromol 5-Methylcytosine-modified circRNA-CCNL2 regulates vascular remdeling in hypoxic pulmonary hypertension through binding to FXR2 | ||
Am J Cancer Res tRF-20-M0NK5Y93-induced MALAT1 promotes colon cancer metastasis through alternative splicing of SMC1A
| ||
J Biol Chem Proteomic study identifies Aurora-A mediated regulation of alternative splicing through multiple splicing factors | ||
Neuroscience The Age-dependent Elevation of miR-335-3p Leads to Reduced Cholesterol and Impaired Memory in Brain. |








