验证数据展示
经过测试的应用
| Positive WB detected in | U-251 cells, HSC-T6 cells, HeLa cells, Jurkat cells, PC-3 cells, HEK-293 cells, NIH/3T3 cells, A431 cells, LNCaP cells, K-562 cells |
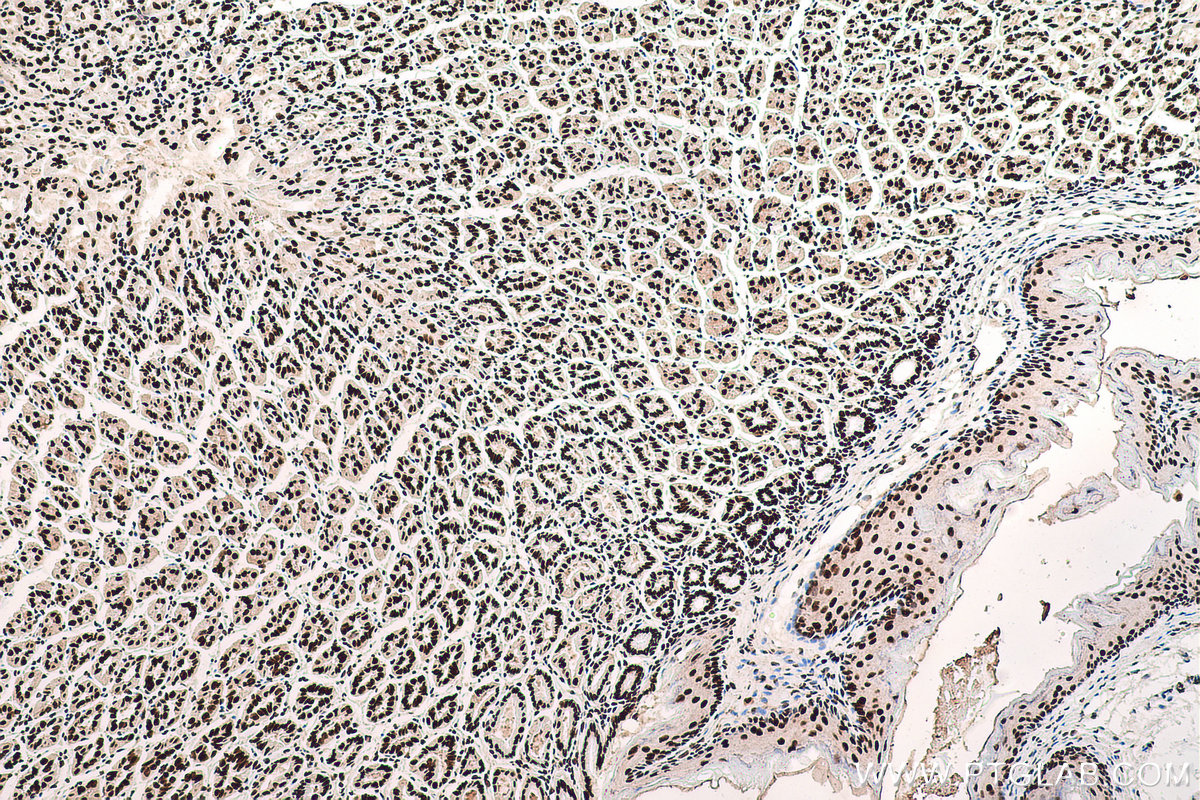
| Positive IHC detected in | rat stomach tissue, human colon cancer tissue, human lung cancer tissue, human pancreas cancer tissue, mouse brain tissue, mouse stomach tissue, rat brain tissue Note: suggested antigen retrieval with TE buffer pH 9.0; (*) Alternatively, antigen retrieval may be performed with citrate buffer pH 6.0 |
| Positive IF/ICC detected in | HeLa cells, MCF-7 cells |
| Positive FC (Intra) detected in | HeLa cells |
推荐稀释比
| 应用 | 推荐稀释比 |
|---|---|
| Western Blot (WB) | WB : 1:5000-1:50000 |
| Immunohistochemistry (IHC) | IHC : 1:2000-1:8000 |
| Immunofluorescence (IF)/ICC | IF/ICC : 1:400-1:1600 |
| Flow Cytometry (FC) (INTRA) | FC (INTRA) : 0.40 ug per 10^6 cells in a 100 µl suspension |
| It is recommended that this reagent should be titrated in each testing system to obtain optimal results. | |
| Sample-dependent, Check data in validation data gallery. | |
产品信息
67129-1-Ig targets SFPQ in WB, IHC, IF/ICC, FC (Intra), ELISA applications and shows reactivity with human, mouse, rat samples.
| 经测试应用 | WB, IHC, IF/ICC, FC (Intra), ELISA Application Description |
| 文献引用应用 | WB, IF |
| 经测试反应性 | human, mouse, rat |
| 文献引用反应性 | human, mouse |
| 免疫原 |
CatNo: Ag7181 Product name: Recombinant human SFPQ protein Source: e coli.-derived, PET28a Tag: 6*His Domain: 1-300 aa of BC051192 Sequence: MSRDRFRSRGGGGGGFHRRGGGGGRGGLHDFRSPPPGMGLNQNRGPMGPGPGQSGPKPPIPPPPPHQQQQQPPPQQPPPQQPPPHQPPPHPQPHQQQQPPPPPQDSSKPVVAQGPGPAPGVGSTPPASSSAPPATPPTSGAPPGSGPGPTPTPPPAVTSAPPGAPPPTPPSSGVPTTPPQAGGPPPPPAAVPGPGPGPKQGPGPGGPKGGKMPGGPKPGGGPGLSTPGGHPKPPRRGGGEPRGGRQHHPPYHQQHHQGPPPGGPGGRSEEKISDSEGFKANLSLLRRPGEKTYTQRCRLF 种属同源性预测 |
| 宿主/亚型 | Mouse / IgG1 |
| 抗体类别 | Monoclonal |
| 产品类型 | Antibody |
| 全称 | splicing factor proline/glutamine-rich (polypyrimidine tract binding protein associated) |
| 别名 | 100 kDa DNA-pairing protein, 1G4A5, DNA-binding p52/p100 complex, 100 kDa subunit, Polypyrimidine tract-binding protein-associated-splicing factor, POMP 100 |
| 计算分子量 | 76 kDa |
| 观测分子量 | 90-100 kDa |
| GenBank蛋白编号 | BC051192 |
| 基因名称 | SFPQ |
| Gene ID (NCBI) | 6421 |
| RRID | AB_2882428 |
| 偶联类型 | Unconjugated |
| 形式 | Liquid |
| 纯化方式 | Protein G purification |
| UNIPROT ID | P23246 |
| 储存缓冲液 | PBS with 0.02% sodium azide and 50% glycerol, pH 7.3. |
| 储存条件 | Store at -20°C. Stable for one year after shipment. Aliquoting is unnecessary for -20oC storage. |
背景介绍
SFPQ, also named PSF, encodes a nuclear factor implicated in the splicing and regulation of gene expression. SFPQ probably forms a heteromer with NONO and participates in DNA pairing and DNA break repair program. Very recently SFPQ was identified as a downstream target of tau, complete nuclear depletion and cytoplasmic accumulation of SFPQ were shown in the neurons and astrocytes of brains with Alzheimer's disease (AD), more strikingly, reduced SFPQ levels may progress together with tau pathology, these observation strongly suggests the important role of SFPQ pathology in neurodegenerative diseases including AD. SFPQ encompasses 707 amino acids and has a molecular weight of 76 kDa, although it typically migrates on a sodium dodecyl sulfate-polyacrylamide gel electrophoresis (SDS-PAGE) gel at an apparent molecular weight of ∼100 kDa. Proteolytic cleavage products of apparent molecular weights of 47 and 68 kDa, and an alternatively spliced form of 669 amino acids, have also been described in various cell types. (PMID: 25832716). Splicing Factor Proline and Glutamine rich (SFPQ) as the most significant intron-retaining transcript across diverse ALS-causing mutations (VCP, SOD1 and FUS). SFPQ protein binds extensively to its retained intron, which exhibits high cytoplasmic abundance in VCP mutation compared with controls. Crucially, the protein is less abundant in the nuclei of VCP mutation cultures and is ultimately lost from nuclei of MNs in mouse models (SOD1mu and VCP mutation transgenic mouse models) and human sporadic ALS post-mortem samples. In summary, our study implicates SFPQ IR and nuclear loss as general molecular hallmarks of familial and sporadic ALS.
实验方案
| Product Specific Protocols | |
|---|---|
| FC protocol for SFPQ antibody 67129-1-Ig | Download protocol |
| IF protocol for SFPQ antibody 67129-1-Ig | Download protocol |
| IHC protocol for SFPQ antibody 67129-1-Ig | Download protocol |
| WB protocol for SFPQ antibody 67129-1-Ig | Download protocol |
| Standard Protocols | |
|---|---|
| Click here to view our Standard Protocols |
发表文章
| Species | Application | Title |
|---|---|---|
Int J Mol Sci Serum Splicing Factor Proline- and Glutamine-Rich Is a Diagnostic Marker for Non-Small-Cell Lung Cancer and Other Solid Cancers | ||
Nat Commun Virus-modified paraspeckle-like condensates are hubs for viral RNA processing and their formation drives genomic instability
|




















