验证数据展示
经过测试的应用
| Positive WB detected in | human testis tissue, HEK-293 cells, mouse testis tissue |
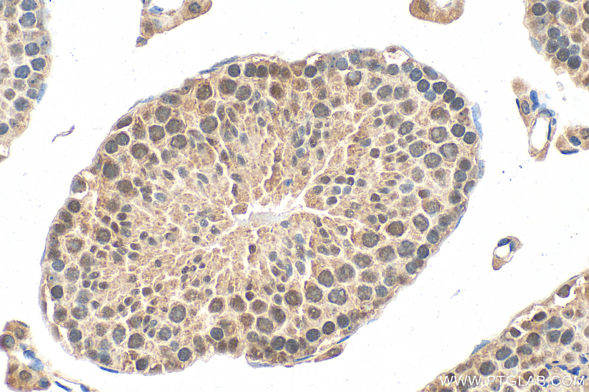
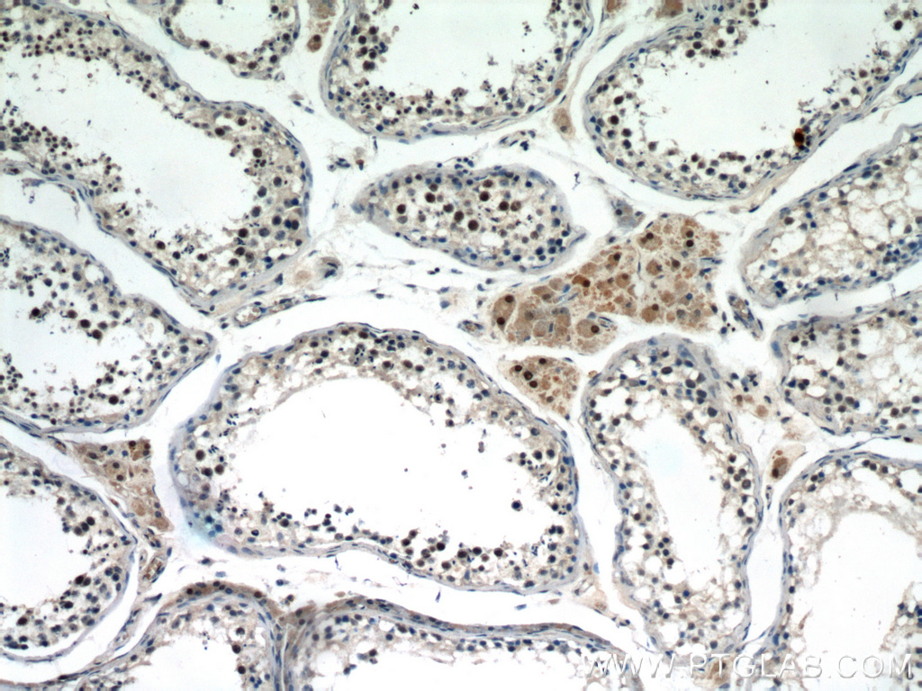
| Positive IHC detected in | rat testis tissue, mouse testis tissue Note: suggested antigen retrieval with TE buffer pH 9.0; (*) Alternatively, antigen retrieval may be performed with citrate buffer pH 6.0 |
| Positive IF/ICC detected in | HepG2 cells |
推荐稀释比
| 应用 | 推荐稀释比 |
|---|---|
| Western Blot (WB) | WB : 1:1000-1:10000 |
| Immunohistochemistry (IHC) | IHC : 1:200-1:800 |
| Immunofluorescence (IF)/ICC | IF/ICC : 1:200-1:800 |
| It is recommended that this reagent should be titrated in each testing system to obtain optimal results. | |
| Sample-dependent, Check data in validation data gallery. | |
产品信息
15614-1-AP targets SF4 in WB, IHC, IF/ICC, ELISA applications and shows reactivity with human, mouse, rat samples.
| 经测试应用 | WB, IHC, IF/ICC, ELISA Application Description |
| 经测试反应性 | human, mouse, rat |
| 免疫原 |
CatNo: Ag8006 Product name: Recombinant human SF4 protein Source: e coli.-derived, PGEX-4T Tag: GST Domain: 1-348 aa of BC002986 Sequence: LYEPNSQGYKYYRQKLEEFRKAKASSTGSFTAPDPGLKRKSPPEALSGSLPPATTCPASSTPAPTIIPAPAAPGKPASAATVKRKRKSRWGPEEDKVELPPAELVQRDVDASPSPLSVQDLKGLGYEKGKPVGLVGVTELSDAQKKQLKEQQEMQQMYDMIMQHKRAMQDMQLLWEKAVQQHQHGYDSDEEVDSELGTWEHQLRRMEMDKTREWAEQLTKMGRGKHFIGDFLPPDELEKFMETFKALKEGREPDYSEYKEFKLTVENIGYQMLMKMGWKEGEGLGSEGQGIKNPVNKGTTTVDGAGFGIDRPAELSKEDDEYEAFRKRMMLAYRFRPNPLNNPRRPYY 种属同源性预测 |
| 宿主/亚型 | Rabbit / IgG |
| 抗体类别 | Polyclonal |
| 产品类型 | Antibody |
| 全称 | splicing factor 4 |
| 别名 | F23858, RNA-binding protein RBP, Splicing factor 4, SUGP1, SURP and G-patch domain-containing protein 1 |
| 计算分子量 | 72 kDa |
| 观测分子量 | 55 kDa, 72 kDa |
| GenBank蛋白编号 | BC002986 |
| 基因名称 | SF4 |
| Gene ID (NCBI) | 57794 |
| RRID | AB_10859818 |
| 偶联类型 | Unconjugated |
| 形式 | Liquid |
| 纯化方式 | Antigen affinity purification |
| UNIPROT ID | Q8IWZ8 |
| 储存缓冲液 | PBS with 0.02% sodium azide and 50% glycerol, pH 7.3. |
| 储存条件 | Store at -20°C. Stable for one year after shipment. Aliquoting is unnecessary for -20oC storage. |
背景介绍
SF4 (Splicing factor 4), also known as SUGP1 (SURP and G-patch domain-containing protein 1) was first identified as a putative splicing factor based on domain composition analysis. SUGP1 protein is predicted to contain two SURP motifs, domains of alternative splicing regulators thought to be involved in RNA binding, as well as a G-patch domain, a region of six highly conserved glycine residues commonly found in eukaryotic RNA-processing proteins (PMID: 27206982). Research has shown that SUGP1 is involved in the regulation of cholesterol metabolism (PMID: 31474574).
实验方案
| Product Specific Protocols | |
|---|---|
| IF protocol for SF4 antibody 15614-1-AP | Download protocol |
| IHC protocol for SF4 antibody 15614-1-AP | Download protocol |
| WB protocol for SF4 antibody 15614-1-AP | Download protocol |
| Standard Protocols | |
|---|---|
| Click here to view our Standard Protocols |






