验证数据展示
经过测试的应用
| Positive WB detected in | HEK-293T cells, HeLa cells, HepG2 cells, Jurkat cells, NIH/3T3 cells |
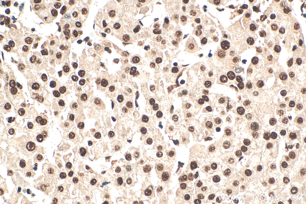
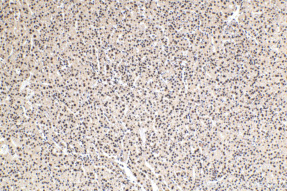
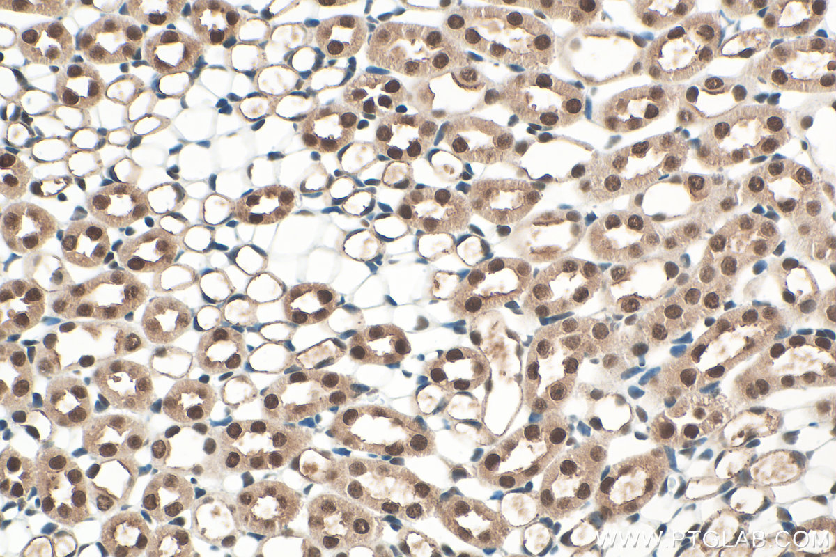
| Positive IHC detected in | human liver cancer tissue, mouse kidney tissue Note: suggested antigen retrieval with TE buffer pH 9.0; (*) Alternatively, antigen retrieval may be performed with citrate buffer pH 6.0 |
推荐稀释比
| 应用 | 推荐稀释比 |
|---|---|
| Western Blot (WB) | WB : 1:500-1:2000 |
| Immunohistochemistry (IHC) | IHC : 1:400-1:1600 |
| It is recommended that this reagent should be titrated in each testing system to obtain optimal results. | |
| Sample-dependent, Check data in validation data gallery. | |
产品信息
55201-1-AP targets SET/TAF-I in WB, IHC, IF, ELISA applications and shows reactivity with human, mouse samples.
| 经测试应用 | WB, IHC, ELISA Application Description |
| 文献引用应用 | WB, IHC, IF |
| 经测试反应性 | human, mouse |
| 文献引用反应性 | human, mouse |
| 免疫原 |
Peptide 种属同源性预测 |
| 宿主/亚型 | Rabbit / IgG |
| 抗体类别 | Polyclonal |
| 产品类型 | Antibody |
| 全称 | SET nuclear oncogene |
| 别名 | SET, 2PP2A, HLA-DR-associated protein II, I-2PP2A, Inhibitor of granzyme A-activated DNase |
| 计算分子量 | 33 kDa |
| 观测分子量 | 41 kDa, 39 kDa |
| GenBank蛋白编号 | NM_003011 |
| 基因名称 | SET |
| Gene ID (NCBI) | 6418 |
| RRID | AB_10837360 |
| 偶联类型 | Unconjugated |
| 形式 | Liquid |
| 纯化方式 | Antigen affinity purification |
| UNIPROT ID | Q01105 |
| 储存缓冲液 | PBS with 0.02% sodium azide and 50% glycerol, pH 7.3. |
| 储存条件 | Store at -20°C. Stable for one year after shipment. Aliquoting is unnecessary for -20oC storage. |
背景介绍
SET, also named as IGAAD, I-2PP2A, TAF-I, IGAAD and PHAPII, belongs to the nucleosome assembly protein (NAP) family.SET is a multifunctional oncoprotein which is ubiquitously expressed in all kinds of cells. The SET protein participates in many cellular processes including cell cycle, cell migration, apoptosis, transcription, and DNA repair. The SET protein plays important roles in facilitating cell growth and proliferation via many pathways that promote tumorigenesis and metastasis. The SET protein shows apparent molecular masses of 41 and 39 kDa (PMID: 12759364, PMID: 7753797).
实验方案
| Product Specific Protocols | |
|---|---|
| IHC protocol for SET/TAF-I antibody 55201-1-AP | Download protocol |
| WB protocol for SET/TAF-I antibody 55201-1-AP | Download protocol |
| Standard Protocols | |
|---|---|
| Click here to view our Standard Protocols |
发表文章
| Species | Application | Title |
|---|---|---|
Cell Rep A p53/LINC00324 positive feedback loop suppresses tumor growth by counteracting SET-mediated transcriptional repression
| ||
Oncotarget Overexpression of PP2A inhibitor SET oncoprotein is associated with tumor progression and poor prognosis in human non-small cell lung cancer.
| ||
J Med Chem Selective Peptidomimetic Inhibitors of NTMT1/2: Rational Design, Synthesis, Characterization, and Crystallographic Studies. | ||
Cancers (Basel) Pre-Clinical Study Evaluating Novel Protein Phosphatase 2A Activators as Therapeutics for Neuroblastoma. | ||
BMC Cancer MicroRNA-1915-3p inhibits cell migration and invasion by targeting SET in non-small-cell lung cancer. |






