验证数据展示
经过测试的应用
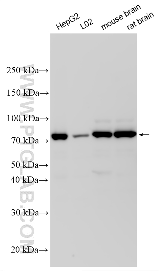
| Positive WB detected in | HepG2 cells, Jurkat cells, MCF-7 cells, mouse brain tissue, rat brain tissue, L02 cells |
| Positive IP detected in | mouse brain tissue, rat brain tissue |
| Positive IF/ICC detected in | Jurkat cells, HepG2 cells |
推荐稀释比
| 应用 | 推荐稀释比 |
|---|---|
| Western Blot (WB) | WB : 1:5000-1:50000 |
| Immunoprecipitation (IP) | IP : 0.5-4.0 ug for 1.0-3.0 mg of total protein lysate |
| Immunofluorescence (IF)/ICC | IF/ICC : 1:50-1:500 |
| It is recommended that this reagent should be titrated in each testing system to obtain optimal results. | |
| Sample-dependent, Check data in validation data gallery. | |
发表文章中的应用
| KD/KO | See 1 publications below |
| WB | See 1 publications below |
产品信息
23911-1-AP targets SOLO/SESTD1 in WB, IF/ICC, IP, ELISA applications and shows reactivity with human, mouse, rat samples.
| 经测试应用 | WB, IF/ICC, IP, ELISA Application Description |
| 文献引用应用 | WB |
| 经测试反应性 | human, mouse, rat |
| 文献引用反应性 | human |
| 免疫原 |
CatNo: Ag21016 Product name: Recombinant human SESTD1 protein Source: e coli.-derived, PGEX-4T Tag: GST Domain: 348-696 aa of BC047578 Sequence: DLVELKSLQQQLSDVCYRQASQLEFRQNLLQAALEFHGVAQDLSQQLDGLLGMLCVDVAPADGASIQQTLKLLEEKLKSVDVGLQGLREKGQGLLDQISNQASWAYGKDVTIENKENVDHIQGVMEDMQLRKQRCEDMVDVRRLKMLQMVQLFKCEEDAAQAVEWLSELLDALLKTHIRLGDDAQETKVLLEKHRKFVDVAQSTYDYGRQLLQATVVLCQSLRCTSRSSGDTLPRLNRVWKQFTIASEERVHRLEMAIAFHSNAEKILQDCPEEPEAINDEEQFDEIEAVGKSLLDRLTVPVVYPDGTEQYFGSPSDMASTAENIRDRMKLVNLKRQQLRHPEMVTTES 种属同源性预测 |
| 宿主/亚型 | Rabbit / IgG |
| 抗体类别 | Polyclonal |
| 产品类型 | Antibody |
| 全称 | SEC14 and spectrin domains 1 |
| 别名 | SESTD1, SOLO, Huntingtin-interacting protein-like protein, Protein Solo, SEC14 and spectrin domains 1 |
| 计算分子量 | 696 aa, 79 kDa |
| 观测分子量 | 70-79 kDa |
| GenBank蛋白编号 | BC047578 |
| 基因名称 | SOLO |
| Gene ID (NCBI) | 91404 |
| RRID | AB_2879360 |
| 偶联类型 | Unconjugated |
| 形式 | Liquid |
| 纯化方式 | Antigen Affinity purified |
| UNIPROT ID | Q86VW0 |
| 储存缓冲液 | PBS with 0.02% sodium azide and 50% glycerol, pH 7.3. |
| 储存条件 | Store at -20°C. Stable for one year after shipment. Aliquoting is unnecessary for -20oC storage. |
背景介绍
SEC14 domain and spectrin repeat-containing protein 1 (SESTD1) is also named Huntingtin-interacting protein-like protein and SOLO. SESTD1, a previously uncharacterized lipid-binding protein strongly expressed in aorta, was found to interact with both TRPC proteins and modulate receptor-activated TRPC5 currents in a recombinant cell line (PMID: 20164195). SESTD1 is proposed to be involved in phospholipid regulation of transient receptor potential channels TRPC4 and TRPC5 (PMID: 26503763). SESTD1 expression is associated with high abundance of immune infiltration, including T helper cells, Th2 cells, and Macrophages in HCC (PMID: 41016345).
实验方案
| Product Specific Protocols | |
|---|---|
| IF protocol for SOLO/SESTD1 antibody 23911-1-AP | Download protocol |
| IP protocol for SOLO/SESTD1 antibody 23911-1-AP | Download protocol |
| WB protocol for SOLO/SESTD1 antibody 23911-1-AP | Download protocol |
| Standard Protocols | |
|---|---|
| Click here to view our Standard Protocols |





