验证数据展示
经过测试的应用
| Positive WB detected in | hTERT-RPE1 cells, HEK-293 cells, C6 cells, Neuro-2a cells, U-87 MG cells, U-251 cells |
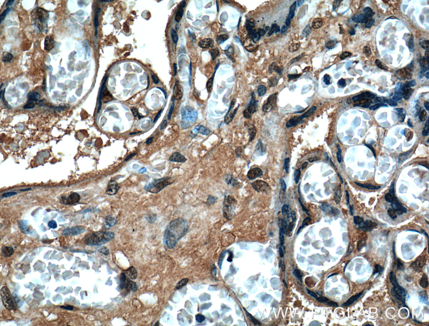
| Positive IHC detected in | human placenta tissue, human testis tissue Note: suggested antigen retrieval with TE buffer pH 9.0; (*) Alternatively, antigen retrieval may be performed with citrate buffer pH 6.0 |
| Positive IF/ICC detected in | HEK-293 cells |
推荐稀释比
| 应用 | 推荐稀释比 |
|---|---|
| Western Blot (WB) | WB : 1:5000-1:50000 |
| Immunohistochemistry (IHC) | IHC : 1:50-1:500 |
| Immunofluorescence (IF)/ICC | IF/ICC : 1:200-1:800 |
| It is recommended that this reagent should be titrated in each testing system to obtain optimal results. | |
| Sample-dependent, Check data in validation data gallery. | |
产品信息
66203-1-Ig targets SERPINE2 in WB, IHC, IF/ICC, ELISA applications and shows reactivity with human, mouse, rat samples.
| 经测试应用 | WB, IHC, IF/ICC, ELISA Application Description |
| 文献引用应用 | WB, IHC, IF |
| 经测试反应性 | human, mouse, rat |
| 文献引用反应性 | human, mouse |
| 免疫原 |
CatNo: Ag1830 Product name: Recombinant human SERPINE2 protein Source: e coli.-derived, PGEX-4T Tag: GST Domain: 28-397 aa of BC015663 Sequence: EELGSNTGIQVFNQIVKSRPHDNIVISPHGIASVLGMLQLGADGRTKKQLAMVMRYGVNGVGKILKKINKAIVSKKNKDIVTVANAVFVKNASEIEVPFVTRNKDVFQCEVRNVNFEDPASACDSINAWVKNETRDMIDNLLSPDLIDGVLTRLVLVNAVYFKGLWKSRFQPENTKKRTFVAADGKSYQVPMLAQLSVFRCGSTSAPNDLWYNFIELPYHGESISMLIALPTESSTPLSAIIPHISTKTIDSWMSIMVPKRVQVILPKFTAVAQTDLKEPLKVLGITDMFDSSKANFAKITTGSENLHVSHILQKAKIEVSEDGTKASAATTAILIARSSPPWFIVDRPFLFFIRHNPTGAVLFMGQINK 种属同源性预测 |
| 宿主/亚型 | Mouse / IgG1 |
| 抗体类别 | Monoclonal |
| 产品类型 | Antibody |
| 全称 | serpin peptidase inhibitor, clade E (nexin, plasminogen activator inhibitor type 1), member 2 |
| 别名 | GDN, Glia derived nexin, Peptidase inhibitor 7, PI 7, PI7, PN 1, PN1, PN-1, PNI, Protease nexin 1, Protease nexin I, Serpin E2, SERPINE2 |
| 计算分子量 | 44 kDa |
| 观测分子量 | 44 kDa |
| GenBank蛋白编号 | BC015663 |
| 基因名称 | SERPINE2 |
| Gene ID (NCBI) | 5270 |
| RRID | AB_2881594 |
| 偶联类型 | Unconjugated |
| 形式 | Liquid |
| 纯化方式 | Protein G purification |
| UNIPROT ID | P07093 |
| 储存缓冲液 | PBS with 0.02% sodium azide and 50% glycerol, pH 7.3. |
| 储存条件 | Store at -20°C. Stable for one year after shipment. Aliquoting is unnecessary for -20oC storage. |
背景介绍
SERPINE2 also called protease nexin-1 or glial-derived neurite promoting factor, is a member of the serine protease inhibitor (SERPIN) superfamily. It would be a potent inhibitor of the urokinase-plasminogen activator (uPA), tissue-type PA (tPA), thrombin, trypsin, factor Xia, and prostasin. SERPINE2 is widely expressed in various tissues, including endothelial cells, fibroblasts, smooth muscle cells, tumor cells, glial cells, neurons, and placental cells.
实验方案
| Product Specific Protocols | |
|---|---|
| IF protocol for SERPINE2 antibody 66203-1-Ig | Download protocol |
| IHC protocol for SERPINE2 antibody 66203-1-Ig | Download protocol |
| WB protocol for SERPINE2 antibody 66203-1-Ig | Download protocol |
| Standard Protocols | |
|---|---|
| Click here to view our Standard Protocols |
发表文章
| Species | Application | Title |
|---|---|---|
Adv Mater Glycated ECM Derived Carbon Dots Inhibit Tumor Vasculogenic Mimicry by Disrupting RAGE Nuclear Translocation and Its Interaction With HMGB1 | ||
Theranostics Vitamin D binding protein (VDBP) hijacks twist1 to inhibit vasculogenic mimicry in hepatocellular carcinoma | ||
Front Cell Dev Biol BAP31 Promotes Tumor Cell Proliferation by Stabilizing SERPINE2 in Hepatocellular Carcinoma. | ||
Sci Rep Integrating artificial intelligence in osteosarcoma prognosis: the prognostic significance of SERPINE2 and CPT1B biomarkers | ||
Animals (Basel) Comparative Analysis of Proteomic Characteristics in Seminal Plasma Between Horses and Donkeys. |








