验证数据展示
经过测试的应用
| Positive WB detected in | HepG2 cells, HuH-7 cells, L02 cells, MG-63 cells, U2OS cells, human placenta tissue |
| Positive IP detected in | HUVEC cells |
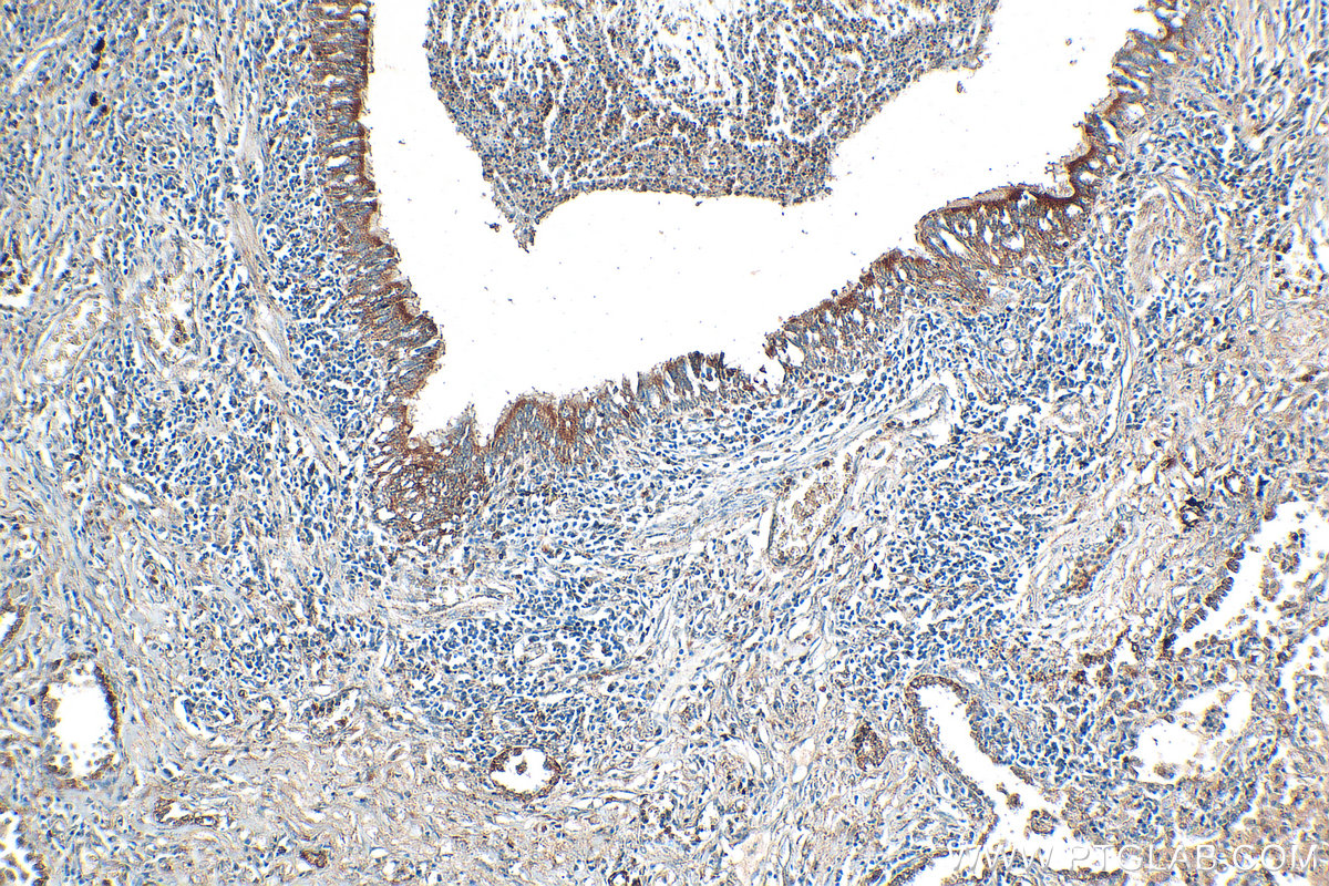
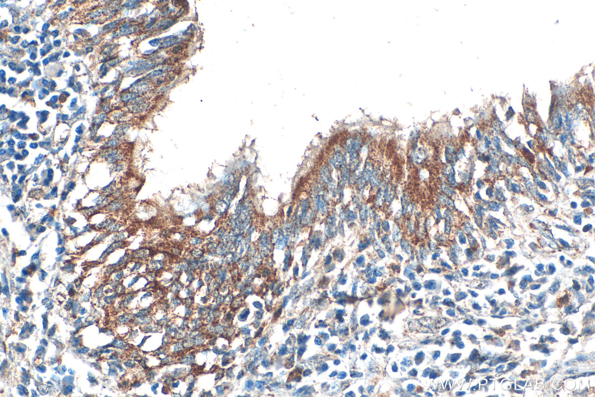
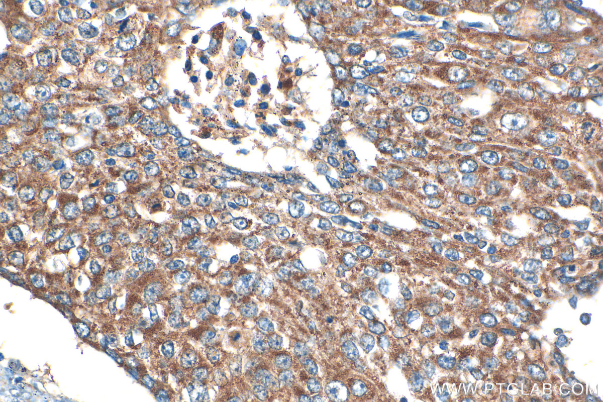
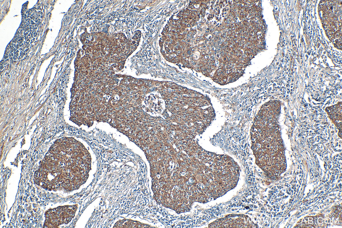
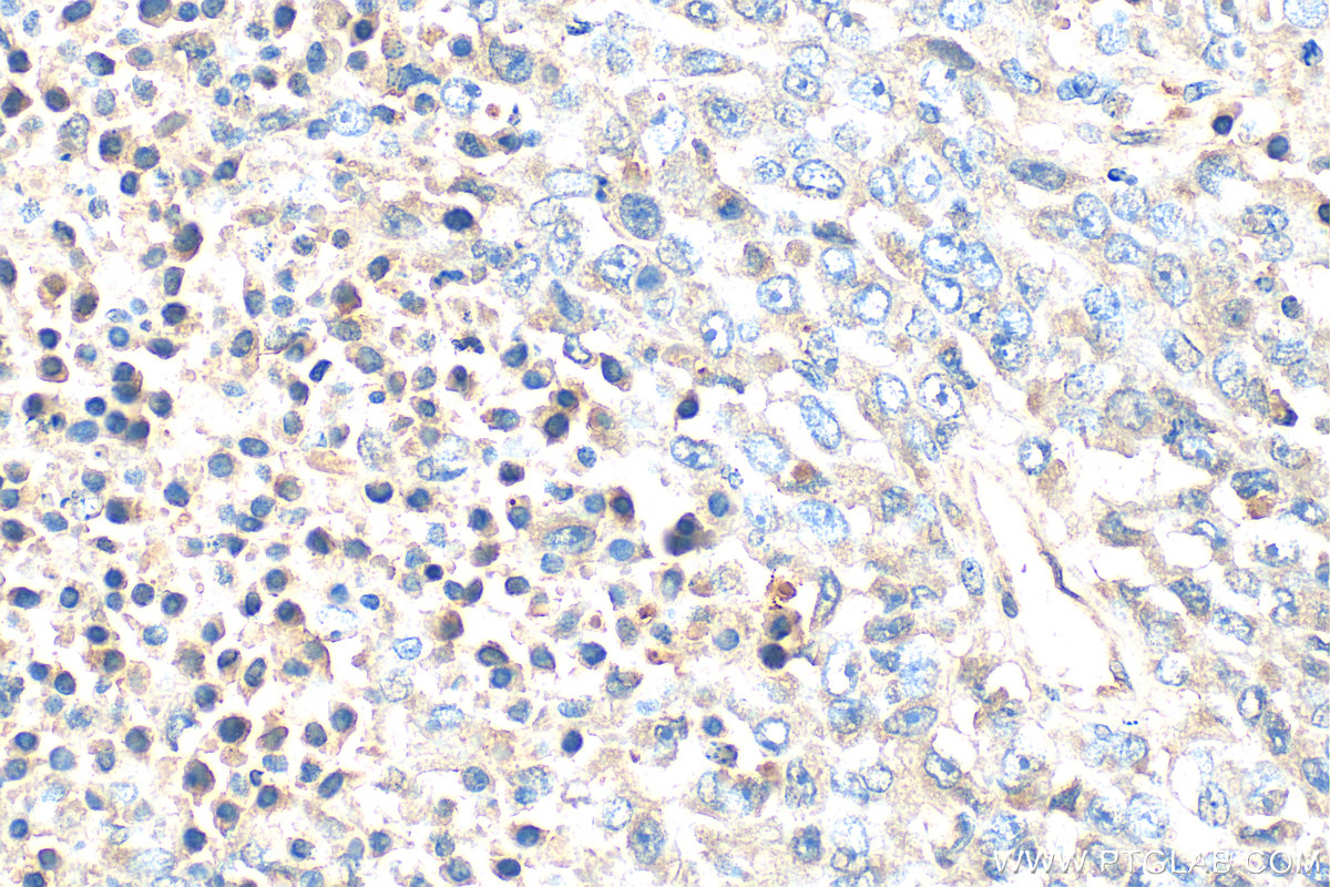
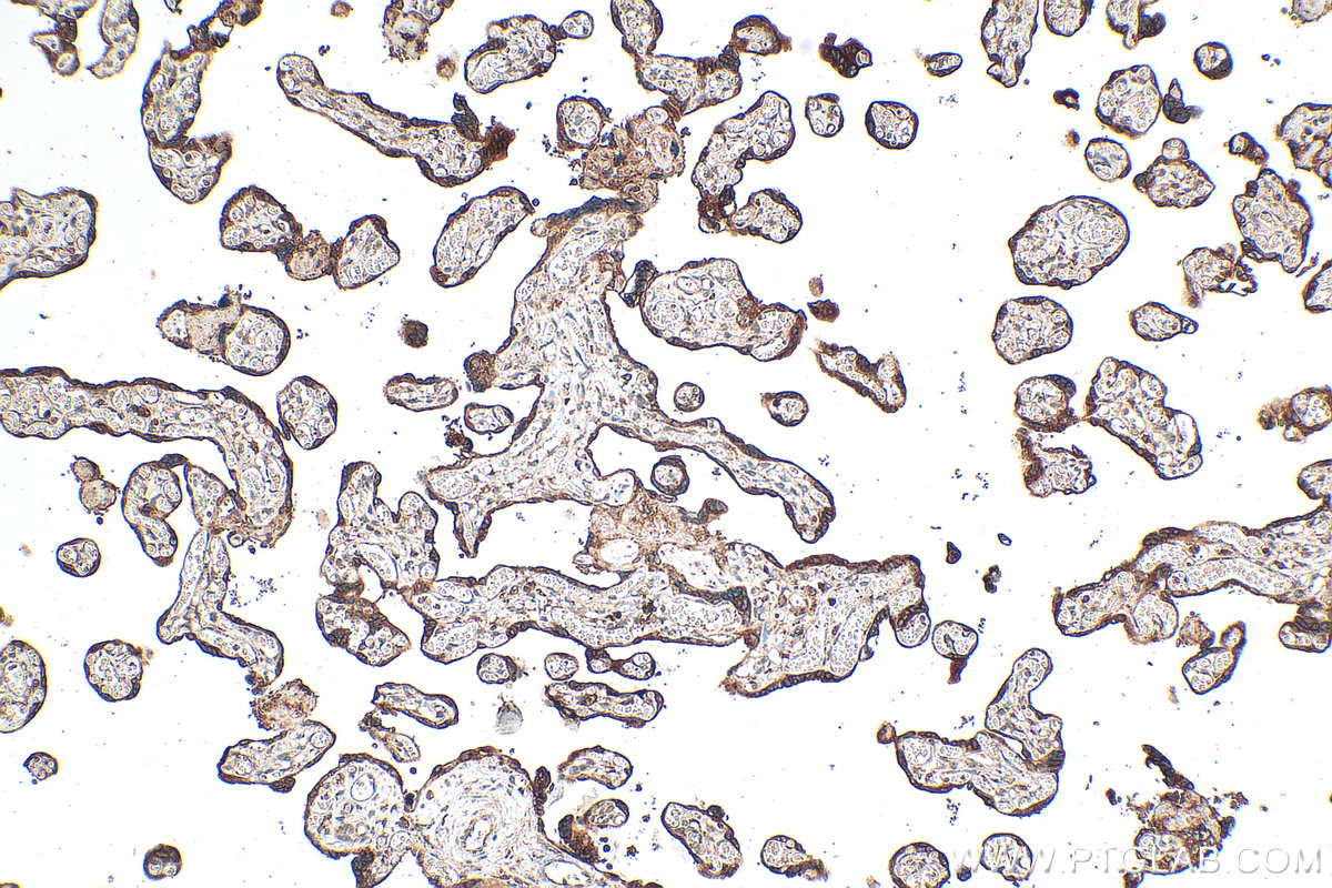
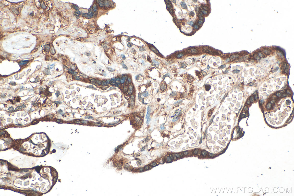
| Positive IHC detected in | human placenta tissue, human lung cancer tissue, human malignant melanoma tissue Note: suggested antigen retrieval with TE buffer pH 9.0; (*) Alternatively, antigen retrieval may be performed with citrate buffer pH 6.0 |
| Positive IF/ICC detected in | HepG2 cells |
推荐稀释比
| 应用 | 推荐稀释比 |
|---|---|
| Western Blot (WB) | WB : 1:1000-1:4000 |
| Immunoprecipitation (IP) | IP : 0.5-4.0 ug for 1.0-3.0 mg of total protein lysate |
| Immunohistochemistry (IHC) | IHC : 1:200-1:800 |
| Immunofluorescence (IF)/ICC | IF/ICC : 1:200-1:800 |
| It is recommended that this reagent should be titrated in each testing system to obtain optimal results. | |
| Sample-dependent, Check data in validation data gallery. | |
产品信息
13801-1-AP targets Serpin E1/PAI-1 in WB, IHC, IF/ICC, IP, CoIP, ELISA, Blocking assay applications and shows reactivity with human samples.
| 经测试应用 | WB, IHC, IF/ICC, IP, ELISA Application Description |
| 文献引用应用 | WB, IHC, IF, CoIP, Blocking assay |
| 经测试反应性 | human |
| 文献引用反应性 | human, rabbit, bovine |
| 免疫原 |
CatNo: Ag4777 Product name: Recombinant human SERPINE1 protein Source: e coli.-derived, PGEX-4T Tag: GST Domain: 1-402 aa of BC010860 Sequence: MQMSPALTCLVLGLALVFGEGSAVHHPPSYVAHLASDFGVRVFQQVAQASKDRNVVFSPYGVASVLAMLQLTTGGETQQQIQAAMGFKIDDKGMAPALRHLYKELMGPWNKDEISTTDAIFVQRDLKLVQGFMPHFFRLFRSTVKQVDFSEVERARFIINDWVKTHTKGMISNLLGKGAVDQLTRLVLVNALYFNGQWKTPFPDSSTHRRLFHKSDGSTVSVPMMAQTNKFNYTEFTTPDGHYYDILELPYHGDTLSMFIAAPYEKEVPLSALTNILSAQLISHWKGNMTRLPRLLVLPKFSLETEVDLRKPLENLGMTDMFRQFQADFTSLSDQEPLHVAQALQKVKIEVNESGTVASSSTAVIVSARMAPEEIIMDRPFLFVVRHNPTGTVLFMGQVMEP 种属同源性预测 |
| 宿主/亚型 | Rabbit / IgG |
| 抗体类别 | Polyclonal |
| 产品类型 | Antibody |
| 全称 | serpin peptidase inhibitor, clade E (nexin, plasminogen activator inhibitor type 1), member 1 |
| 别名 | PAI-1, SERPINE1, SERPINE1, PAI-1, PAI, PAI 1 |
| 计算分子量 | 402 aa, 45 kDa |
| 观测分子量 | 45 kDa |
| GenBank蛋白编号 | BC010860 |
| 基因名称 | PAI-1 |
| Gene ID (NCBI) | 5054 |
| RRID | AB_2186881 |
| 偶联类型 | Unconjugated |
| 形式 | Liquid |
| 纯化方式 | Antigen affinity purification |
| UNIPROT ID | P05121 |
| 储存缓冲液 | PBS with 0.02% sodium azide and 50% glycerol, pH 7.3. |
| 储存条件 | Store at -20°C. Stable for one year after shipment. Aliquoting is unnecessary for -20oC storage. |
背景介绍
SERPINE1, also named as Plasminogen activator inhibitor type 1 (PAI-1), is a member of the serine protease inhibitor (SERPIN) superfamily. PAI-1 is the principal inhibitor of tPA and uPA, and hence is an inhibitor of fibrinolysis. Defects in this gene are the cause of plasminogen activator inhibitor-1 deficiency (PAI-1 deficiency), and high concentrations of the gene product are associated with thrombophilia. In western blotting, we got two bands 50 kDa and 90-110 kDa, and 90-110 kDa consistent with PAI-1 in complex with its target protease, t-PA (PMID: 21596853).
实验方案
| Product Specific Protocols | |
|---|---|
| IF protocol for Serpin E1/PAI-1 antibody 13801-1-AP | Download protocol |
| IHC protocol for Serpin E1/PAI-1 antibody 13801-1-AP | Download protocol |
| IP protocol for Serpin E1/PAI-1 antibody 13801-1-AP | Download protocol |
| WB protocol for Serpin E1/PAI-1 antibody 13801-1-AP | Download protocol |
| Standard Protocols | |
|---|---|
| Click here to view our Standard Protocols |
发表文章
| Species | Application | Title |
|---|---|---|
Am J Respir Crit Care Med CD38 Mediates Lung Fibrosis by Promoting Alveolar Epithelial Cell Aging | ||
Cancer Discov Dynamic glycoprotein hyposialylation promotes chemotherapy evasion and metastatic seeding of quiescent circulating tumor cell clusters in breast cancer | ||
Nat Commun ICAM1 initiates CTC cluster formation and trans-endothelial migration in lung metastasis of breast cancer. | ||
Nat Commun A network of RNA-binding proteins controls translation efficiency to activate anaerobic metabolism. |


















