验证数据展示
经过测试的应用
| Positive WB detected in | A431 cells, HL-60 cells, Sp2/0 cells, human saliva |
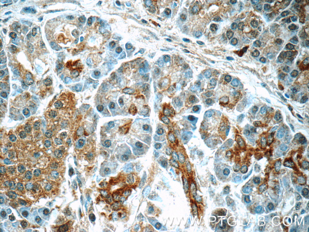
| Positive IHC detected in | human tonsillitis tissue, human pancreas tissue, human placenta tissue Note: suggested antigen retrieval with TE buffer pH 9.0; (*) Alternatively, antigen retrieval may be performed with citrate buffer pH 6.0 |
| Positive IF/ICC detected in | HepG2 cells |
推荐稀释比
| 应用 | 推荐稀释比 |
|---|---|
| Western Blot (WB) | WB : 1:1000-1:5000 |
| Immunohistochemistry (IHC) | IHC : 1:50-1:500 |
| Immunofluorescence (IF)/ICC | IF/ICC : 1:10-1:100 |
| It is recommended that this reagent should be titrated in each testing system to obtain optimal results. | |
| Sample-dependent, Check data in validation data gallery. | |
发表文章中的应用
| KD/KO | See 1 publications below |
| WB | See 1 publications below |
| IHC | See 1 publications below |
产品信息
21719-1-AP targets SERPINB10 in WB, IHC, IF/ICC, ELISA applications and shows reactivity with human, mouse, rat samples.
| 经测试应用 | WB, IHC, IF/ICC, ELISA Application Description |
| 文献引用应用 | WB, IHC |
| 经测试反应性 | human, mouse, rat |
| 文献引用反应性 | human, mouse |
| 免疫原 |
CatNo: Ag16372 Product name: Recombinant human SERPINB10 protein Source: e coli.-derived, PGEX-4T Tag: GST Domain: 1-307 aa of BC096217 Sequence: MDSLATSINQFALELSKKLAESAQGKNIFFSSWSISTSLTIVYLGAKGTTAAQMAQVLQFNRDQGVKCDPESEKKRKMEFNLSNSEEIHSDFQTLISEILKPNDDYLLKTANAIYGEKTYAFHNKYLEDMKTYFGAEPQPVNFVEASDQIRKDINSWVERQTEGKIQNLLPDDSVDSTTRMILVNALYFKGIWEHQFLVQNTTEKPFRINETTSKPVQMMFMKKKLHIFHIEKPKAVGLQLYYKSRDLSLLILLPEDINGLEQLEKAITYEKLNEWTSADMMELYEVQLHLPKFKLEDSYDLKSTLS 种属同源性预测 |
| 宿主/亚型 | Rabbit / IgG |
| 抗体类别 | Polyclonal |
| 产品类型 | Antibody |
| 全称 | serpin peptidase inhibitor, clade B (ovalbumin), member 10 |
| 别名 | bomapin, Peptidase inhibitor 10, PI 10, PI10, Serpin B10, SERPINB10 |
| 计算分子量 | 397 aa, 45 kDa |
| 观测分子量 | 45 kDa |
| GenBank蛋白编号 | BC096217 |
| 基因名称 | SERPINB10 |
| Gene ID (NCBI) | 5273 |
| RRID | AB_10734592 |
| 偶联类型 | Unconjugated |
| 形式 | Liquid |
| 纯化方式 | Antigen affinity purification |
| UNIPROT ID | P48595 |
| 储存缓冲液 | PBS with 0.02% sodium azide and 50% glycerol, pH 7.3. |
| 储存条件 | Store at -20°C. Stable for one year after shipment. Aliquoting is unnecessary for -20oC storage. |
实验方案
| Product Specific Protocols | |
|---|---|
| WB protocol for SERPINB10 antibody 21719-1-AP | Download protocol |
| IHC protocol for SERPINB10 antibody 21719-1-AP | Download protocol |
| IF protocol for SERPINB10 antibody 21719-1-AP | Download protocol |
| Standard Protocols | |
|---|---|
| Click here to view our Standard Protocols |








