验证数据展示
经过测试的应用
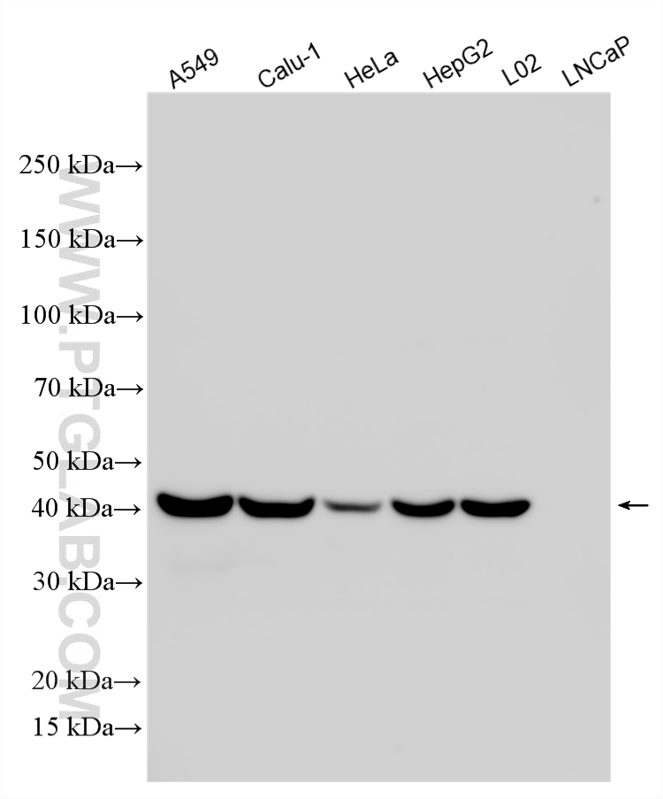
| Positive WB detected in | A549 cells, Calu-1 cells, HeLa cells, HepG2 cells, L02 cells |
推荐稀释比
| 应用 | 推荐稀释比 |
|---|---|
| Western Blot (WB) | WB : 1:1000-1:4000 |
| It is recommended that this reagent should be titrated in each testing system to obtain optimal results. | |
| Sample-dependent, Check data in validation data gallery. | |
产品信息
33756-1-AP targets SERPINB1 in WB, ELISA applications and shows reactivity with human samples.
| 经测试应用 | WB, ELISA Application Description |
| 经测试反应性 | human |
| 免疫原 |
CatNo: Ag35798 Product name: Recombinant human SERPINB1 protein Source: e coli.-derived, PGEX-4T Tag: GST Domain: 169-318 aa of NM_030666.3 Sequence: GNWKDKFMKEATTNAPFRLNKKDRKTVKMMYQKKKFAYGYIEDLKCRVLELPYQGEELSMVILLPDDIEDESTGLKKIEEQLTLEKLHEWTKPENLDFIEVNVSLPRFKLEESYTLNSDLARLGVQDLFNSSKADLSGMSGARDIFISKI 种属同源性预测 |
| 宿主/亚型 | Rabbit / IgG |
| 抗体类别 | Polyclonal |
| 产品类型 | Antibody |
| 全称 | serpin peptidase inhibitor, clade B (ovalbumin), member 1 |
| 别名 | EI, ELANH2, LEI, Leukocyte elastase inhibitor, M/NEI |
| 计算分子量 | 43kDa,379aa |
| 观测分子量 | 42 kDa |
| GenBank蛋白编号 | NM_030666.3 |
| 基因名称 | SERPINB1 |
| Gene ID (NCBI) | 1992 |
| 偶联类型 | Unconjugated |
| 形式 | Liquid |
| 纯化方式 | Antigen affinity Purification |
| UNIPROT ID | P30740 |
| 储存缓冲液 | PBS with 0.02% sodium azide and 50% glycerol, pH 7.3. |
| 储存条件 | Store at -20°C. Stable for one year after shipment. Aliquoting is unnecessary for -20oC storage. |
背景介绍
SERPINB1, also called Leukocyte Elastase Inhibitor (LEI) is a member of the clade B of SERPINS. It is an intracellular protein and acts primarily to protect the cell from proteases released into the cytoplasm during stress.
实验方案
| Product Specific Protocols | |
|---|---|
| WB protocol for SERPINB1 antibody 33756-1-AP | Download protocol |
| Standard Protocols | |
|---|---|
| Click here to view our Standard Protocols |
