验证数据展示
经过测试的应用
| Positive WB detected in | mouse liver tissue, A549 cells | 
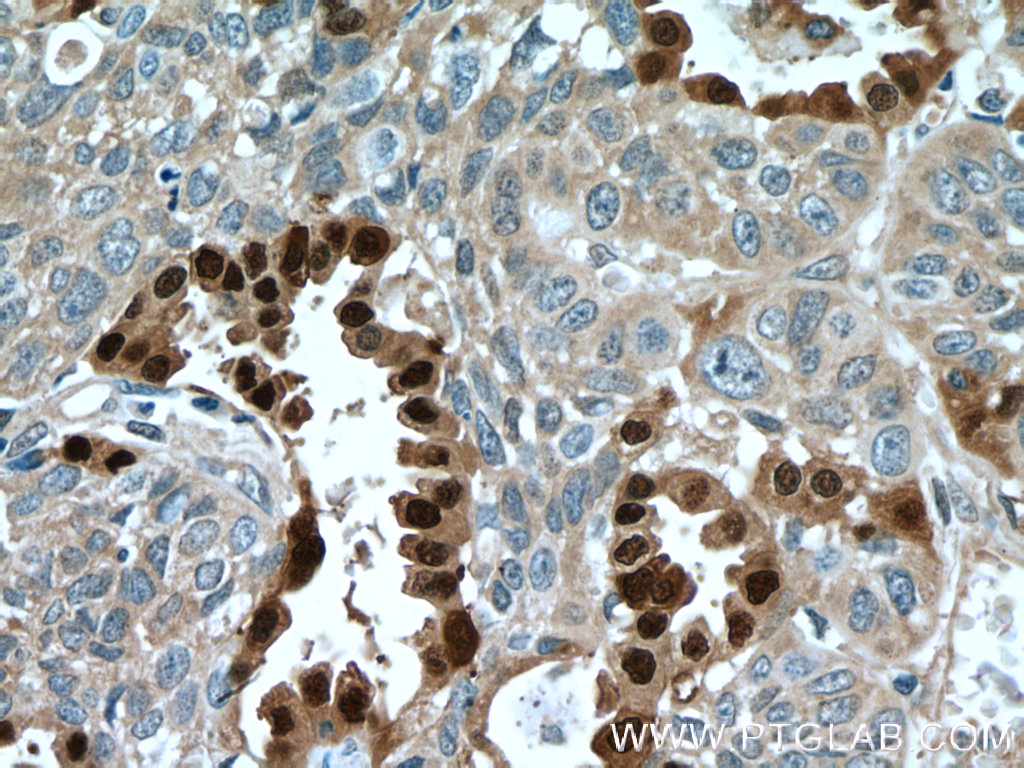
| Positive IHC detected in | human liver tissue, human colon tissue,  human lung cancer tissue Note: suggested antigen retrieval with TE buffer pH 9.0; (*) Alternatively, antigen retrieval may be performed with citrate buffer pH 6.0 | 
推荐稀释比
| 应用 | 推荐稀释比 | 
|---|---|
| Western Blot (WB) | WB : 1:500-1:3000 | 
| Immunohistochemistry (IHC) | IHC : 1:50-1:500 | 
| It is recommended that this reagent should be titrated in each testing system to obtain optimal results. | |
| Sample-dependent, Check data in validation data gallery. | |
发表文章中的应用
| WB | See 1 publications below | 
| IF | See 1 publications below | 
产品信息
27230-1-AP targets SELENBP1 in WB, IHC, IF, ELISA applications and shows reactivity with human, mouse samples.
| 经测试应用 | WB, IHC, ELISA Application Description | 
| 文献引用应用 | WB, IF | 
| 经测试反应性 | human, mouse | 
| 文献引用反应性 | human, mouse | 
| 免疫原 | CatNo: Ag20967 Product name: Recombinant human SELENBP1 protein Source: e coli.-derived, PET30a Tag: 6*His Domain: 1-305 aa of BC009084 Sequence: MATKCGNCGPGYSTPLEAMKGPREEIVYLPCIYRNTGTEAPDYLATVDVDPKSPQYCQVIHRLPMPNLKDELHHSGWNTCSSCFGDSTKSRTKLVLPSLISSRIYVVDVGSEPRAPKLHKVIEPKDIHAKCELAFLHTSHCLASGEVMISSLGDVKGNGKGGFVLLDGETFEVKGTWERPGGAAPLGYDFWYQPRHNVMISTEWAAPNVLRDGFNPADVEAGLYGSHLYVWDWQRHEIVQTLSLKDGLIPLEIRFLHNPDAAQGFVGCALSSTIQRFYKNEGGTWSVEKVIQVPPKKVKGWLLPE种属同源性预测 | 
| 宿主/亚型 | Rabbit / IgG | 
| 抗体类别 | Polyclonal | 
| 产品类型 | Antibody | 
| 全称 | selenium binding protein 1 | 
| 别名 | Methanethiol oxidase, LPSB, hSP56, hSBP, EC:1.8.3.4 | 
| 计算分子量 | 52 kDa | 
| 观测分子量 | 45 kDa, 52 kDa, 56 kDa | 
| GenBank蛋白编号 | BC009084 | 
| 基因名称 | SELENBP1 | 
| Gene ID (NCBI) | 8991 | 
| RRID | AB_2880811 | 
| 偶联类型 | Unconjugated | 
| 形式 | Liquid | 
| 纯化方式 | Antigen affinity purification | 
| UNIPROT ID | Q13228 | 
| 储存缓冲液 | PBS with 0.02% sodium azide and 50% glycerol, pH 7.3. | 
| 储存条件 | Store at -20°C. Stable for one year after shipment. Aliquoting is unnecessary for -20oC storage. | 
背景介绍
SELENBP1 (selenium binding protein 1,SBP1), also known as LPSB or SP56, is a 472 amino acid peripheral membrane protein that binds selenium covalently. Selenium, an essential trace element, has been shown to have an anti-cancer effect. Many reports have described a relationship between insufficient selenium intake and increased risk of cancer. Moreover, the expression of SELENBP1 has been shown to be decreased in several tumors including cancers of the prostate, lungs, colon, and ovary (PMID: 21143902, 20332323, 18272210). SELENBP1 has four isoforms with the molecular mass of 56kD, 52kD and 45kD.
实验方案
| Product Specific Protocols | |
|---|---|
| IHC protocol for SELENBP1 antibody 27230-1-AP | Download protocol | 
| WB protocol for SELENBP1 antibody 27230-1-AP | Download protocol | 
| Standard Protocols | |
|---|---|
| Click here to view our Standard Protocols | 
发表文章
| Species | Application | Title | 
|---|---|---|
| BMC Gastroenterol Tumor microenvironment-related gene selenium-binding protein 1 (SELENBP1) is associated with immunotherapy efficacy and survival in colorectal cancer | ||
| Reprod Sci Unraveling the Impact of the PROCA1 Mutation in Male Infertility: Incorporating Whole Exome Sequencing in Teratozoospermia Patients and Analyzing Proca1 Knockout Mice | 








