验证数据展示
经过测试的应用
| Positive WB detected in | LNCaP cells, HepG2 cells, HEK-293 cells, A431 cells, RAW 264.7 cells, mouse pancreas tissue, rat pancreas tissue |
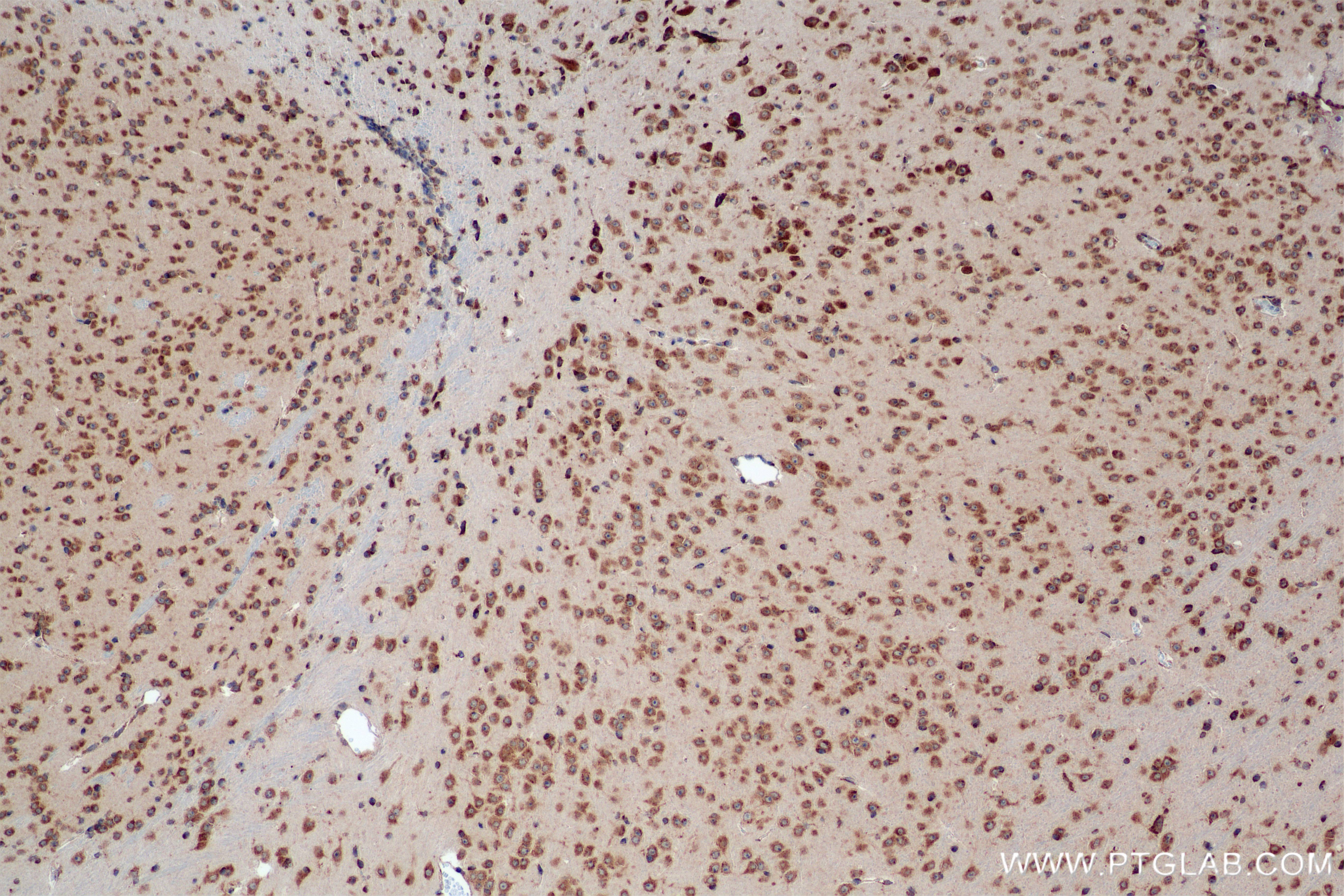
| Positive IHC detected in | mouse brain tissue Note: suggested antigen retrieval with TE buffer pH 9.0; (*) Alternatively, antigen retrieval may be performed with citrate buffer pH 6.0 |
| Positive IF/ICC detected in | HepG2 cells |
推荐稀释比
| 应用 | 推荐稀释比 |
|---|---|
| Western Blot (WB) | WB : 1:5000-1:50000 |
| Immunohistochemistry (IHC) | IHC : 1:400-1:1600 |
| Immunofluorescence (IF)/ICC | IF/ICC : 1:500-1:2000 |
| It is recommended that this reagent should be titrated in each testing system to obtain optimal results. | |
| Sample-dependent, Check data in validation data gallery. | |
产品信息
85110-4-RR targets SEC13 in WB, IHC, IF/ICC, ELISA applications and shows reactivity with human, mouse, rat samples.
| 经测试应用 | WB, IHC, IF/ICC, ELISA Application Description |
| 经测试反应性 | human, mouse, rat |
| 免疫原 |
CatNo: Ag7610 Product name: Recombinant human SEC13 protein Source: e coli.-derived, PGEX-4T Tag: GST Domain: 1-325 aa of BC002634 Sequence: MGKMVSVINTVDTSHEDMIHDAQMDYYGTRLATCSSDRSVKIFDVRNGGQILIADLRGHEGPVWQVAWAHPMYGNILASCSYDRKVIIWREENGTWEKSHEHAGHDSSVNSVCWAPHDYGLILACGSSDGAISLLTYTGEGQWEVKKINNAHTIGCNAVSWAPAVVPGSLIDHPSGQKPNYIKRFASGGCDNLIKLWKEEEDGQWKEEQKLEAHSDWVRDVAWAPSIGLPTSTIASCSQDGRVFIWTCDDASSNTWSPKLLHKFNDVVWHVSWSITANILAVSGGDNKVTLWKESVDGQWVCISDVNKGQGSVSASVTEGQQNEQ 种属同源性预测 |
| 宿主/亚型 | Rabbit / IgG |
| 抗体类别 | Recombinant |
| 产品类型 | Antibody |
| 全称 | SEC13 homolog (S. cerevisiae) |
| 别名 | 242775C3, D3S1231E, GATOR2 complex protein SEC13, Protein SEC13 homolog, SEC13A |
| 计算分子量 | 36 kDa |
| 观测分子量 | 36 kDa |
| GenBank蛋白编号 | BC002634 |
| 基因名称 | SEC13 |
| Gene ID (NCBI) | 6396 |
| RRID | AB_3744020 |
| 偶联类型 | Unconjugated |
| 形式 | Liquid |
| 纯化方式 | Protein A purification |
| UNIPROT ID | P55735 |
| 储存缓冲液 | PBS with 0.02% sodium azide and 50% glycerol, pH 7.3. |
| 储存条件 | Store at -20°C. Stable for one year after shipment. Aliquoting is unnecessary for -20oC storage. |
背景介绍
SEC13 is a component of the nuclear pore complex (NPC) and the COPII coat. It is required for esicle biogenesis from endoplasmic reticulum during the transport of proteins. Shuttling of SEC13 between the nucleus and the cytoplasm may couple and regulate functions between these two compartments. (PMID: 14517296; 16407955)
实验方案
| Product Specific Protocols | |
|---|---|
| IF protocol for SEC13 antibody 85110-4-RR | Download protocol |
| IHC protocol for SEC13 antibody 85110-4-RR | Download protocol |
| WB protocol for SEC13 antibody 85110-4-RR | Download protocol |
| Standard Protocols | |
|---|---|
| Click here to view our Standard Protocols |





