验证数据展示
经过测试的应用
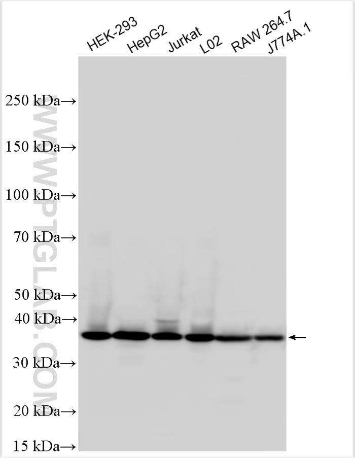
| Positive WB detected in | HEK-293 cells, HepG2 cells, Jurkat cells, L02 cells, RAW 264.7 cells, J774A.1 cells | 
| Positive IP detected in | HepG2 cells | 
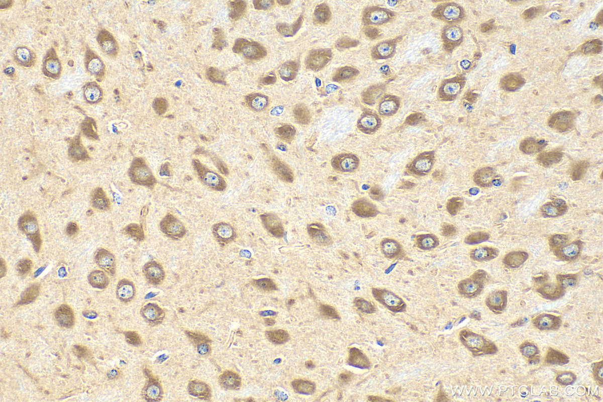
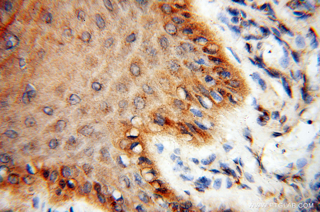
| Positive IHC detected in | mouse brain tissue, mouse liver tissue Note: suggested antigen retrieval with TE buffer pH 9.0; (*) Alternatively, antigen retrieval may be performed with citrate buffer pH 6.0 | 
| Positive IF-Fro detected in | mouse brain tissue | 
| Positive IF/ICC detected in | HepG2 cells | 
推荐稀释比
| 应用 | 推荐稀释比 | 
|---|---|
| Western Blot (WB) | WB : 1:5000-1:50000 | 
| Immunoprecipitation (IP) | IP : 0.5-4.0 ug for 1.0-3.0 mg of total protein lysate | 
| Immunohistochemistry (IHC) | IHC : 1:200-1:800 | 
| Immunofluorescence (IF)-FRO | IF-FRO : 1:50-1:500 | 
| Immunofluorescence (IF)/ICC | IF/ICC : 1:500-1:2000 | 
| It is recommended that this reagent should be titrated in each testing system to obtain optimal results. | |
| Sample-dependent, Check data in validation data gallery. | |
产品信息
15397-1-AP targets SEC13 in WB, IHC, IF/ICC, IF-Fro, IP, ELISA applications and shows reactivity with human, mouse, rat samples.
| 经测试应用 | WB, IHC, IF/ICC, IF-Fro, IP, ELISA Application Description | 
| 文献引用应用 | WB, IF | 
| 经测试反应性 | human, mouse, rat | 
| 文献引用反应性 | human, mouse, rat | 
| 免疫原 | CatNo: Ag7610 Product name: Recombinant human SEC13 protein Source: e coli.-derived, PGEX-4T Tag: GST Domain: 1-325 aa of BC002634 Sequence: MGKMVSVINTVDTSHEDMIHDAQMDYYGTRLATCSSDRSVKIFDVRNGGQILIADLRGHEGPVWQVAWAHPMYGNILASCSYDRKVIIWREENGTWEKSHEHAGHDSSVNSVCWAPHDYGLILACGSSDGAISLLTYTGEGQWEVKKINNAHTIGCNAVSWAPAVVPGSLIDHPSGQKPNYIKRFASGGCDNLIKLWKEEEDGQWKEEQKLEAHSDWVRDVAWAPSIGLPTSTIASCSQDGRVFIWTCDDASSNTWSPKLLHKFNDVVWHVSWSITANILAVSGGDNKVTLWKESVDGQWVCISDVNKGQGSVSASVTEGQQNEQ种属同源性预测 | 
| 宿主/亚型 | Rabbit / IgG | 
| 抗体类别 | Polyclonal | 
| 产品类型 | Antibody | 
| 全称 | SEC13 homolog (S. cerevisiae) | 
| 别名 | D3S1231E, GATOR2 complex protein SEC13, Protein SEC13 homolog, SEC13A, SEC13L1 | 
| 计算分子量 | 36 kDa | 
| 观测分子量 | 36 kDa | 
| GenBank蛋白编号 | BC002634 | 
| 基因名称 | SEC13 | 
| Gene ID (NCBI) | 6396 | 
| RRID | AB_2186234 | 
| 偶联类型 | Unconjugated | 
| 形式 | Liquid | 
| 纯化方式 | Antigen affinity purification | 
| UNIPROT ID | P55735 | 
| 储存缓冲液 | PBS with 0.02% sodium azide and 50% glycerol, pH 7.3. | 
| 储存条件 | Store at -20°C. Stable for one year after shipment. Aliquoting is unnecessary for -20oC storage. | 
背景介绍
SEC13 is a component of the nuclear pore complex (NPC) and the COPII coat. It is required for esicle biogenesis from endoplasmic reticulum during the transport of proteins. Shuttling of SEC13 between the nucleus and the cytoplasm may couple and regulate functions between these two compartments. (PMID: 14517296; 16407955)
实验方案
| Product Specific Protocols | |
|---|---|
| IF protocol for SEC13 antibody 15397-1-AP | Download protocol | 
| IHC protocol for SEC13 antibody 15397-1-AP | Download protocol | 
| IP protocol for SEC13 antibody 15397-1-AP | Download protocol | 
| WB protocol for SEC13 antibody 15397-1-AP | Download protocol | 
| Standard Protocols | |
|---|---|
| Click here to view our Standard Protocols | 
发表文章
| Species | Application | Title | 
|---|---|---|
| Nat Commun Intracellular galectin-3 is a lipopolysaccharide sensor that promotes glycolysis through mTORC1 activation | ||
| Dev Cell Nucleoporin Seh1 controls murine neocortical development via transcriptional repression of p21 in neural stem cells | ||
| Redox Biol Selenoprotein K contributes to CD36 subcellular trafficking in hepatocytes by accelerating nascent COPII vesicle formation and aggravates hepatic steatosis | ||
| Proc Natl Acad Sci U S A TFG facilitates outer coat disassembly on COPII transport carriers to promote tethering and fusion with ER-Golgi intermediate compartments. | ||
| Proc Natl Acad Sci U S A Atlastin-mediated membrane tethering is critical for cargo mobility and exit from the endoplasmic reticulum. | 










