验证数据展示
经过测试的应用
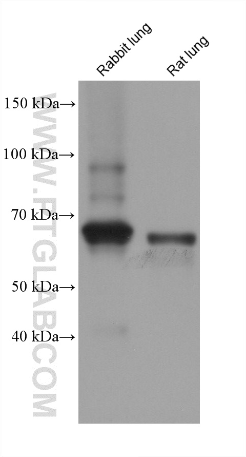
| Positive WB detected in | Calu-1 cells, rabbit lung tissue, HUVEC cells, A172 cells, K-562 cells, pig lung tissue |
推荐稀释比
| 应用 | 推荐稀释比 |
|---|---|
| Western Blot (WB) | WB : 1:5000-1:50000 |
| It is recommended that this reagent should be titrated in each testing system to obtain optimal results. | |
| Sample-dependent, Check data in validation data gallery. | |
产品信息
61031-3-Ig targets SDPR in WB, ELISA applications and shows reactivity with human, mouse, rat, rabbit samples.
| 经测试应用 | WB, ELISA Application Description |
| 经测试反应性 | human, mouse, rat, rabbit |
| 免疫原 |
CatNo: Ag34151 Product name: Recombinant human SDPR protein Source: e coli.-derived, PET28a Tag: 6*His Domain: 170-425 aa of BC016475 Sequence: VFVKQPVSGAVEGKEELPDENKSLEETLHTVDLSSDDDLPHDEEALEDSAEEKVEESRAEKIKRSSLKKVDSLKKAFSRQNIEKKMNKLGTKIVSVERREKIKKSLTSNHQKISSGKSSPFKVSPLTFGRKKVREGESHAENETKSEDLPSSEQMPNDQEEESFAEGHSEASLASALVEGEIAEEAAEKATSRGSNSGMDSNIDLTIVEDEEEESVALEQAQKVRYEGSYALTSEEAERSDGDPVQPAVLQVHQTS 种属同源性预测 |
| 宿主/亚型 | Mouse / IgG1 |
| 抗体类别 | Monoclonal |
| 产品类型 | Antibody |
| 全称 | serum deprivation response (phosphatidylserine binding protein) |
| 别名 | Caveolae-associated protein 2, Cavin 2, Cavin-2, Phosphatidylserine-binding protein, PS p68 |
| 计算分子量 | 425 aa, 47 kDa |
| 观测分子量 | 68-70 kDa |
| GenBank蛋白编号 | BC016475 |
| 基因名称 | SDPR |
| Gene ID (NCBI) | 8436 |
| RRID | AB_3743263 |
| 偶联类型 | Unconjugated |
| 形式 | Liquid |
| 纯化方式 | Protein G purification |
| UNIPROT ID | O95810 |
| 储存缓冲液 | PBS with 0.02% sodium azide and 50% glycerol, pH 7.3. |
| 储存条件 | Store at -20°C. Stable for one year after shipment. Aliquoting is unnecessary for -20oC storage. |
背景介绍
Serum deprivation-response protein(SDRP), a substrate of protein kinase C, is a member of a group of proteins that bind to phosphatidylserine in a clacium-dependent manner. SDPR may participate in the generation or stabilization of membrane curvature. SDPR is highly expressed in heart and lung, and low in brain,kidney, liver, pancreas, placenta and skeletal muscle. SDRP of molecular masses 115 kDa and 100 kDa were found in neutrophils, monocytes, lymphocytes, platelets and erythrocytes. In platelets, however, the principal SDRP is a cytosolic protein of molecular mass 68 kDa. (PMID: 2390065 )
实验方案
| Product Specific Protocols | |
|---|---|
| WB protocol for SDPR antibody 61031-3-Ig | Download protocol |
| Standard Protocols | |
|---|---|
| Click here to view our Standard Protocols |

