验证数据展示
经过测试的应用
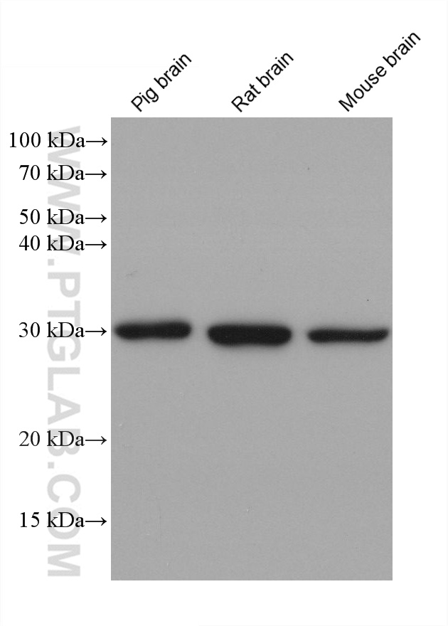
| Positive WB detected in | U2OS cells, HeLa cells, HepG2 cells, HSC-T6 cells, pig brain tissue, HEK-293 cells, K-562 cells, NIH/3T3 cells, Neuro-2a cells, mouse brain tissue, rat brain tissue | 
| Positive IHC detected in | mouse skeletal muscle tissue, human stomach cancer tissue Note: suggested antigen retrieval with TE buffer pH 9.0; (*) Alternatively, antigen retrieval may be performed with citrate buffer pH 6.0  | 
| Positive IF-P detected in | human liver cancer tissue | 
推荐稀释比
| 应用 | 推荐稀释比 | 
|---|---|
| Western Blot (WB) | WB : 1:5000-1:50000 | 
| Immunohistochemistry (IHC) | IHC : 1:1000-1:4000 | 
| Immunofluorescence (IF)-P | IF-P : 1:200-1:800 | 
| It is recommended that this reagent should be titrated in each testing system to obtain optimal results. | |
| Sample-dependent, Check data in validation data gallery. | |
发表文章中的应用
| WB | See 6 publications below | 
产品信息
67600-1-Ig targets SDHB in WB, IHC, IF-P, ELISA applications and shows reactivity with human, mouse, rat, pig samples.
| 经测试应用 | WB, IHC, IF-P, ELISA Application Description | 
| 文献引用应用 | WB | 
| 经测试反应性 | human, mouse, rat, pig | 
| 文献引用反应性 | human, mouse, rabbit | 
| 免疫原 | 
                                             CatNo: Ag29868 Product name: Recombinant human SDHB protein Source: e coli.-derived, PET28a Tag: 6*His Domain: 1-280 aa of BC007840 Sequence: MAAVVALSLRRRLPATTLGGACLQASRGAQTAAATAPRIKKFAIYRWDPDKAGDKPHMQTYEVDLNKCGPMVLDALIKIKNEVDSTLTFRRSCREGICGSCAMNINGGNTLACTRRIDTNLNKVSKIYPLPHMYVIKDLVPDLSNFYAQYKSIEPYLKKKDESQEGKQQYLQSIEEREKLDGLYECILCACCSTSCPSYWWNGDKYLGPAVLMQAYRWMIDSRDDFTEERLAKLQDPFSLYRCHTIMNCTRTCPKGLNPGKAIAEIKKMMATYKEKKASV 种属同源性预测 | 
                                    
| 宿主/亚型 | Mouse / IgG1 | 
| 抗体类别 | Monoclonal | 
| 产品类型 | Antibody | 
| 全称 | succinate dehydrogenase complex, subunit B, iron sulfur (Ip) | 
| 别名 | 1A2A5, EC:1.3.5.1, Iron-sulfur subunit of complex II, PGL 4, PGL4 | 
| 计算分子量 | 32 kDa | 
| 观测分子量 | 28-32 kDa | 
| GenBank蛋白编号 | BC007840 | 
| 基因名称 | SDHB | 
| Gene ID (NCBI) | 6390 | 
| RRID | AB_2882806 | 
| 偶联类型 | Unconjugated | 
| 形式 | Liquid | 
| 纯化方式 | Protein G purification | 
| UNIPROT ID | P21912 | 
| 储存缓冲液 | PBS with 0.02% sodium azide and 50% glycerol, pH 7.3. | 
| 储存条件 | Store at -20°C. Stable for one year after shipment. Aliquoting is unnecessary for -20oC storage. | 
背景介绍
SDHB(Succinate dehydrogenase [ubiquinone] iron-sulfur subunit, mitochondrial) is also named as SDH, SDH1 and belongs to the succinate dehydrogenase/fumarate reductase iron-sulfur protein family. The SDHD, SDHB, and SDHC genes encode subunits of mitochondrial complex II (succinate dehydrogenase). Mitochondrial complex II is a heterotetrameric complex involved in the aerobic electron transport chain and catalyses the oxidation of succinate to fumarate (Krebs cycle) with transport of electrons to the ubiquinone pool. SDHA and SDHB are the hydrophilic catalytic part of the complex and are highly conserved(J Med Genet 2004;41:e99). Defects in SDHB are a cause of susceptibility to pheochromocytoma (PCC), paragangliomas type 4 (PGL4), paraganglioma and gastric stromal sarcoma (PGGSS) and Cowden-like syndrome (CWDLS).
实验方案
| Product Specific Protocols | |
|---|---|
| IF protocol for SDHB antibody 67600-1-Ig | Download protocol | 
| IHC protocol for SDHB antibody 67600-1-Ig | Download protocol | 
| WB protocol for SDHB antibody 67600-1-Ig | Download protocol | 
| Standard Protocols | |
|---|---|
| Click here to view our Standard Protocols | 
发表文章
| Species | Application | Title | 
|---|---|---|
J Transl Med DMC-BH derivative DMC-GF inhibits the growth of glioma stem cells by targeting the TRIM33/SLC25A1/mitochondrial oxidative phosphorylation pathway | ||
Phytomedicine Zhen Wu decoction represses renal fibrosis by invigorating tubular NRF2 and TFAM to fuel mitochondrial bioenergetics | ||
Phytother Res Rutin-activated adipose tissue thermogenesis is correlated with increased intestinal short-chain fatty acid levels. | ||
Chin J Nat Med Mulberry leaf flavonoids activate BAT and induce browning of WAT to improve type 2 diabetes via regulating the AMPK/SIRT1/PGC-1α signaling pathway | ||
Int J Biol Macromol Plasma-derived exosome miR-10a-5p promotes premature ovarian failure by target BDNF via the TrkB/Akt/mTOR signaling pathway | ||
Biochim Biophys Acta Mol Basis Dis LARP1, an RNA-binding protein, participates in ovarian cancer cell survival by regulating mitochondrial oxidative phosphorylation in response to the influence of the PI3K/mTOR pathway | 








