验证数据展示
经过测试的应用
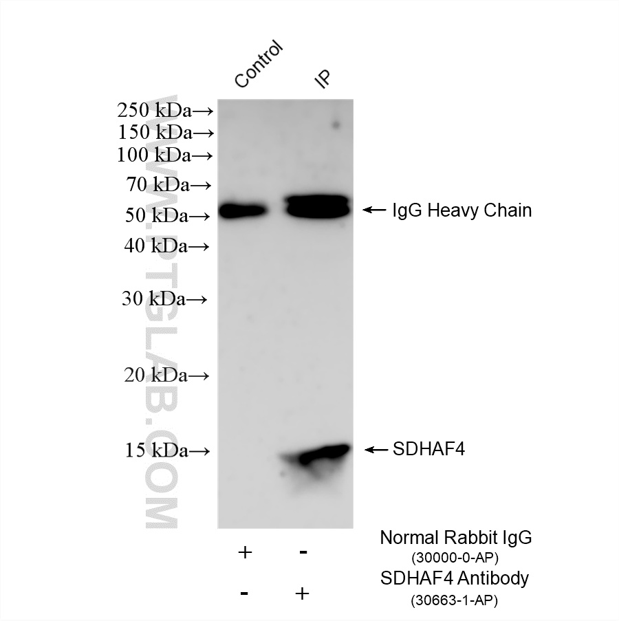
| Positive IP detected in | THP-1 cells |
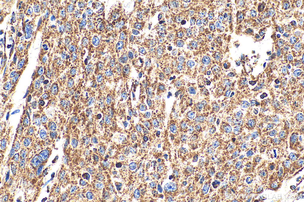
| Positive IHC detected in | human cervical cancer tissue, human breast cancer tissue Note: suggested antigen retrieval with TE buffer pH 9.0; (*) Alternatively, antigen retrieval may be performed with citrate buffer pH 6.0 |
| Positive IF/ICC detected in | A431 cells, U2OS cells |
推荐稀释比
| 应用 | 推荐稀释比 |
|---|---|
| Immunoprecipitation (IP) | IP : 0.5-4.0 ug for 1.0-3.0 mg of total protein lysate |
| Immunohistochemistry (IHC) | IHC : 1:50-1:500 |
| Immunofluorescence (IF)/ICC | IF/ICC : 1:200-1:800 |
| It is recommended that this reagent should be titrated in each testing system to obtain optimal results. | |
| Sample-dependent, Check data in validation data gallery. | |
产品信息
30663-1-AP targets SDHAF4 in IHC, IF/ICC, IP, ELISA applications and shows reactivity with human samples.
| 经测试应用 | IHC, IF/ICC, IP, ELISA Application Description |
| 经测试反应性 | human |
| 免疫原 |
CatNo: Ag33549 Product name: Recombinant human C6orf57 protein Source: e coli.-derived, PGEX-4T Tag: GST Domain: 21-108 aa of BC104649 Sequence: ARSPLLCHSLRKTSSSQGGKSELVKQSLKKPKLPEGRFDAPEDSHLEKEPLEKFPDDVNPVTKEKGGPRGPEPTRYGDWERKGRCIDF 种属同源性预测 |
| 宿主/亚型 | Rabbit / IgG |
| 抗体类别 | Polyclonal |
| 产品类型 | Antibody |
| 全称 | chromosome 6 open reading frame 57 |
| 别名 | C6orf57, SDH assembly factor 4, Succinate dehydrogenase assembly factor 4, mitochondrial, Succinate Dehydrogenase Complex Assembly Factor 4, UPF0369 protein C6orf57 |
| 观测分子量 | 15 kDa |
| GenBank蛋白编号 | BC104649 |
| 基因名称 | C6orf57 |
| Gene ID (NCBI) | 135154 |
| 偶联类型 | Unconjugated |
| 形式 | Liquid |
| 纯化方式 | Antigen affinity purification |
| UNIPROT ID | Q5VUM1 |
| 储存缓冲液 | PBS with 0.02% sodium azide and 50% glycerol, pH 7.3. |
| 储存条件 | Store at -20°C. Stable for one year after shipment. Aliquoting is unnecessary for -20oC storage. |
背景介绍
SDHAF4 (Succinate Dehydrogenase Assembly Factor 4) is a key mitochondrial protein specifically responsible for assisting in the assembly and stability of mitochondrial complex II (Succinate Dehydrogenase, SDH). This complex plays a central role in cellular energy metabolism by participating simultaneously in the tricarboxylic acid (TCA) cycle and the electron transport chain. Its function involves binding to the SDHA (flavoprotein) subunit, which is already associated with FAD, thereby preventing excessive ROS generation. It further promotes the assembly of SDHA with the iron-sulfur protein SDHB to form the catalytic dimer. This ensures the proper integration of complex II into the inner mitochondrial membrane, allowing it to participate in both the TCA cycle and electron transport. Deficiency of SDHAF4 leads to reduced SDH activity, accumulation of succinate, and elevated mitochondrial superoxide levels, which are associated with certain cardiomyopathies and tumor metabolic reprogramming.
实验方案
| Product Specific Protocols | |
|---|---|
| IF protocol for SDHAF4 antibody 30663-1-AP | Download protocol |
| IHC protocol for SDHAF4 antibody 30663-1-AP | Download protocol |
| IP protocol for SDHAF4 antibody 30663-1-AP | Download protocol |
| Standard Protocols | |
|---|---|
| Click here to view our Standard Protocols |




