验证数据展示
经过测试的应用
| Positive WB detected in | HeLa cells, A549 cells, Raji cells |
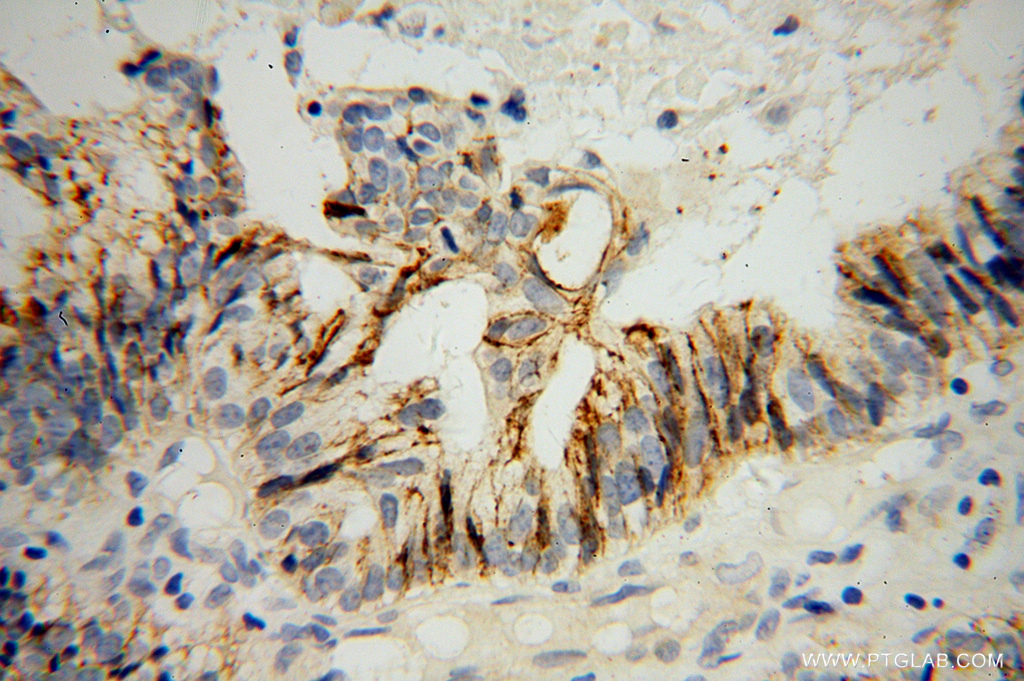
| Positive IHC detected in | human tonsillitis tissue, human ovary tumor tissue Note: suggested antigen retrieval with TE buffer pH 9.0; (*) Alternatively, antigen retrieval may be performed with citrate buffer pH 6.0 |
推荐稀释比
| 应用 | 推荐稀释比 |
|---|---|
| Western Blot (WB) | WB : 1:500-1:2000 |
| Immunohistochemistry (IHC) | IHC : 1:800-1:3200 |
| It is recommended that this reagent should be titrated in each testing system to obtain optimal results. | |
| Sample-dependent, Check data in validation data gallery. | |
产品信息
10593-1-AP targets CD138/Syndecan-1 in WB, IHC, IF, IP, CoIP, ELISA applications and shows reactivity with human, mouse samples.
| 经测试应用 | WB, IHC, ELISA Application Description |
| 文献引用应用 | WB, IHC, IF, IP, CoIP |
| 经测试反应性 | human, mouse |
| 文献引用反应性 | human, mouse, rat, pig |
| 免疫原 |
CatNo: Ag0823 Product name: Recombinant human SDC1,CD138 protein Source: e coli.-derived, PGEX-4T Tag: GST Domain: 1-310 aa of BC008765 Sequence: MRRAALWLWLCALALSLQPALPQIVATNLPPEDQDGSGDDSDNFSGSGAGALQDITLSQQTPSTWKDTQLLTAIPTSPEPTGLEATAASTSTLPAGEGPKEGEAVVLPEVEPGLTAREQEATPRPRETTQLPTTHQASTTTATTAQEPATSHPHRDMQPGHHETSTPAGPSQADLHTPHTEDGGPSATERAAEDGASSQLPAAEGSGEQDFTFETSGENTAVVAVEPDRRNQSPVDQGATGASQGLLDRKEVLGGVIAVGLVGLIFAVCLVGFMLYRMKKKDEGSYSLEEPKQANGGAYQKPTKQEEFYA 种属同源性预测 |
| 宿主/亚型 | Rabbit / IgG |
| 抗体类别 | Polyclonal |
| 产品类型 | Antibody |
| 全称 | syndecan 1 |
| 别名 | CD138, SDC, SDC1, SYND1, syndecan |
| 计算分子量 | 32.5 kDa |
| 观测分子量 | 60-100 kDa, 130 kDa |
| GenBank蛋白编号 | BC008765 |
| 基因名称 | CD138 |
| Gene ID (NCBI) | 6382 |
| RRID | AB_2182736 |
| 偶联类型 | Unconjugated |
| 形式 | Liquid |
| 纯化方式 | Antigen affinity purification |
| UNIPROT ID | P18827 |
| 储存缓冲液 | PBS with 0.02% sodium azide and 50% glycerol, pH 7.3. |
| 储存条件 | Store at -20°C. Stable for one year after shipment. Aliquoting is unnecessary for -20oC storage. |
背景介绍
CD138, also named as Syndecan-1 (SDC1), is an integral membrane protein. It participates in cell proliferation, cell migration and cell-matrix interactions via its receptor for extracellular matrix proteins. It is a heparan sulfate proteoglycan expressed on the surface of, and actively shed by, myeloma cells. Altered syndecan-1 expression has been detected in several different tumor types. CD138 was regarded as a useful marker for labeling normal and neoplastic plasma cells and plasmacytoid lymphomas. CD138 has a calculated molecular weight of 32.5 kDa, the apparent molecular weight is higher due to extensive glycosylation.
实验方案
| Product Specific Protocols | |
|---|---|
| IHC protocol for CD138/Syndecan-1 antibody 10593-1-AP | Download protocol |
| WB protocol for CD138/Syndecan-1 antibody 10593-1-AP | Download protocol |
| Standard Protocols | |
|---|---|
| Click here to view our Standard Protocols |
发表文章
| Species | Application | Title |
|---|---|---|
Sci Transl Med Targeting the origins of multiple myeloma along hematopoietic stem cell lymphoid lineage differentiation | ||
Autophagy SDC1-dependent TGM2 determines radiosensitivity in glioblastoma by coordinating EPG5-mediated fusion of autophagosomes with lysosomes | ||
Theranostics Aurka loss in CD19+ B cells promotes megakaryocytopoiesis via IL-6/STAT3 signaling-mediated thrombopoietin production. | ||
Mol Neurodegener Amelioration of amyloid-β-induced deficits by DcR3 in an Alzheimer's disease model. |




