验证数据展示
经过测试的应用
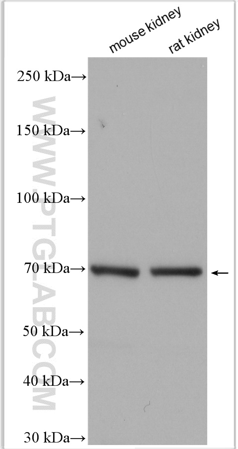
| Positive WB detected in | mouse kidney tissue, rat kidney tissue |
推荐稀释比
| 应用 | 推荐稀释比 |
|---|---|
| Western Blot (WB) | WB : 1:500-1:1000 |
| It is recommended that this reagent should be titrated in each testing system to obtain optimal results. | |
| Sample-dependent, Check data in validation data gallery. | |
发表文章中的应用
| WB | See 3 publications below |
| IF | See 2 publications below |
产品信息
28707-1-AP targets SCNN1A in WB, IF, ELISA applications and shows reactivity with human, mouse, rat samples.
| 经测试应用 | WB, ELISA Application Description |
| 文献引用应用 | WB, IF |
| 经测试反应性 | human, mouse, rat |
| 文献引用反应性 | human, mouse, rat |
| 免疫原 |
CatNo: Ag30063 Product name: Recombinant human SCNN1A protein Source: e coli.-derived, PGEX-4T Tag: GST Domain: 440-604 aa of BC006526 Sequence: GSDVPVENLYPSKYTQQVCIHSCFQESMIKECGCAYIFYPRPQNVEYCDYRKHSSWGYCYYKLQVDFSSDHLGCFTKCRKPCSVTSYQLSAGYSRWPSVTSQEWVFQMLSRQNNYTVNNKRNGVAKVNIFFKELNYKTNSESPSVTMVTLLSNLGSQWSLWFGSS 种属同源性预测 |
| 宿主/亚型 | Rabbit / IgG |
| 抗体类别 | Polyclonal |
| 产品类型 | Antibody |
| 全称 | sodium channel, nonvoltage-gated 1 alpha |
| 别名 | Alpha ENaC, Alpha NaCH, Alpha-ENaC, Alpha-NaCH, Amiloride-sensitive sodium channel subunit alpha |
| 计算分子量 | 76 kDa |
| 观测分子量 | 60-70 kDa |
| GenBank蛋白编号 | BC006526 |
| 基因名称 | SCNN1A |
| Gene ID (NCBI) | 6337 |
| RRID | AB_2918193 |
| 偶联类型 | Unconjugated |
| 形式 | Liquid |
| 纯化方式 | Antigen affinity purification |
| UNIPROT ID | P37088 |
| 储存缓冲液 | PBS with 0.02% sodium azide and 50% glycerol, pH 7.3. |
| 储存条件 | Store at -20°C. Stable for one year after shipment. Aliquoting is unnecessary for -20oC storage. |
背景介绍
Amiloride-sensitive sodium channel subunit alpha (SCNN1A, also known as Alpha-ENaC and ENaCA) is essential for maintaining sodium homeostasis and is particularly important in the distal nephron and late distal convoluted tubule of the kidney, where aldosterone triggers ENaC activity (PMID: 18086683; 31654198). The ~97 kDa and ~75kDa bands represent the glycosylated and unglycosylated forms of SCNN1A (PMID: 19462466). It also migrated as intact (≈ 75 kDa) and furin-cleaved (≈ 50 kDa) in urinary extracellular vesicles (uEVs) (PMID: 31654198).
实验方案
| Product Specific Protocols | |
|---|---|
| WB protocol for SCNN1A antibody 28707-1-AP | Download protocol |
| Standard Protocols | |
|---|---|
| Click here to view our Standard Protocols |
发表文章
| Species | Application | Title |
|---|---|---|
PLoS One The developmental programme for genesis of the entire kidney is recapitulated in Wilms tumour. | ||
Int J Med Sci NDUFS1 upregulates ENaCα by NAD+ to promote alveolar fluid clearance in acute lung injury | ||
J Ethnopharmacol Effects of Mume Fructus extract on smoking-induced cough and TNBS-induced colitis in rats and its underlying mechanisms based on gut-lung body fluid metabolism. | ||
Adv Healthc Mater Thermodynamic Delivery of Trehalose into Extracellular Vesicles for Enhanced Lyophilization. |
