验证数据展示
经过测试的应用
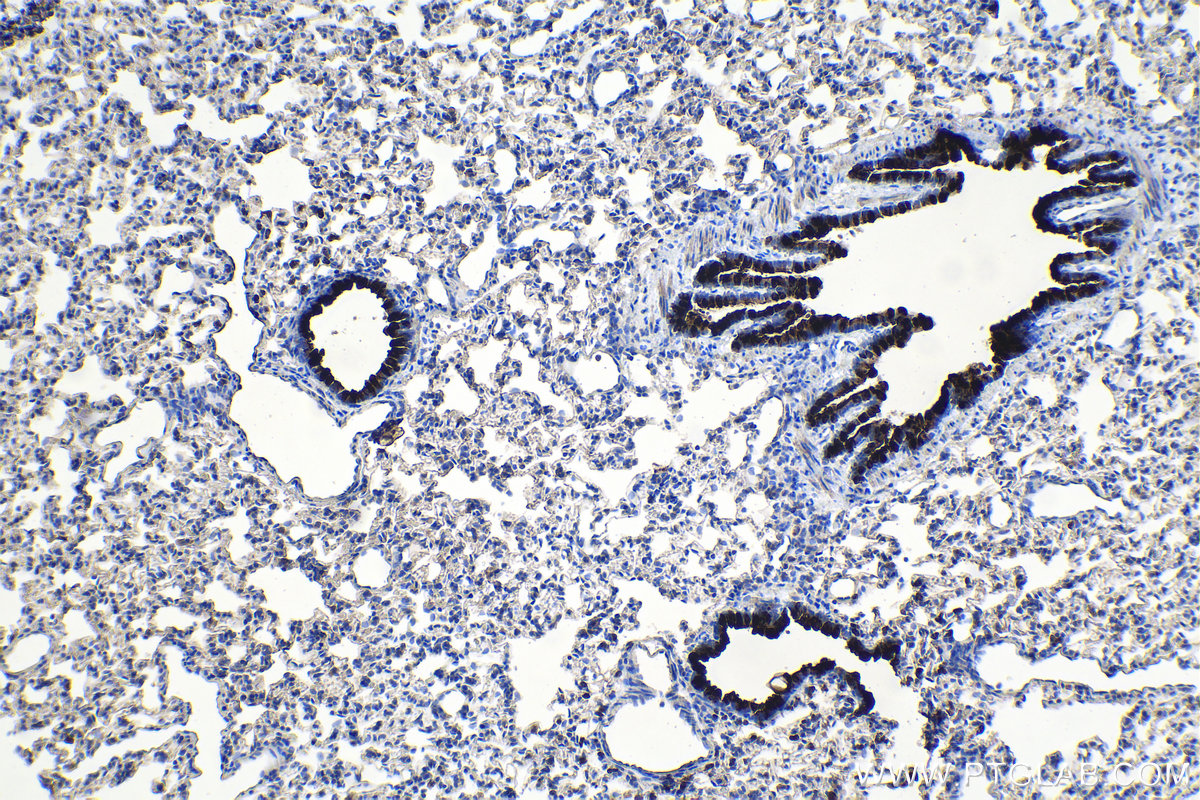
| Positive IHC detected in | human lung tissue, mouse lung tissue, rat lung tissue Note: suggested antigen retrieval with TE buffer pH 9.0; (*) Alternatively, antigen retrieval may be performed with citrate buffer pH 6.0 |
| Positive IF-P detected in | mouse lung tissue |
推荐稀释比
| 应用 | 推荐稀释比 |
|---|---|
| Immunohistochemistry (IHC) | IHC : 1:50-1:500 |
| Immunofluorescence (IF)-P | IF-P : 1:200-1:800 |
| It is recommended that this reagent should be titrated in each testing system to obtain optimal results. | |
| Sample-dependent, Check data in validation data gallery. | |
发表文章中的应用
| IHC | See 1 publications below |
| IF | See 1 publications below |
产品信息
26228-1-AP targets SCGB3A2 in IHC, IF-P, ELISA applications and shows reactivity with human, mouse, rat samples.
| 经测试应用 | IHC, IF-P, ELISA Application Description |
| 文献引用应用 | IHC, IF |
| 经测试反应性 | human, mouse, rat |
| 文献引用反应性 | human |
| 免疫原 |
CatNo: Ag23969 Product name: Recombinant human SCGB3A2 protein Source: e coli.-derived, PGEX-4T Tag: GST Domain: 22-93 aa of BC024232 Sequence: FLINKVPLPVDKLAPLPLDNILPFMDPLKLLLKTLGISVEHLVEGLRKCVNELGPEASEAVKKLLEALSHLV 种属同源性预测 |
| 宿主/亚型 | Rabbit / IgG |
| 抗体类别 | Polyclonal |
| 产品类型 | Antibody |
| 全称 | secretoglobin, family 3A, member 2 |
| 别名 | Pneumo secretory protein 1, PnSP 1, PNSP1, PnSP-1, UGRP1 |
| 计算分子量 | 10 kDa |
| GenBank蛋白编号 | BC024232 |
| 基因名称 | SCGB3A2 |
| Gene ID (NCBI) | 117156 |
| RRID | AB_2880434 |
| 偶联类型 | Unconjugated |
| 形式 | Liquid |
| 纯化方式 | Antigen affinity purification |
| UNIPROT ID | Q96PL1 |
| 储存缓冲液 | PBS with 0.02% sodium azide and 50% glycerol, pH 7.3. |
| 储存条件 | Store at -20°C. Stable for one year after shipment. Aliquoting is unnecessary for -20oC storage. |
实验方案
| Product Specific Protocols | |
|---|---|
| IF protocol for SCGB3A2 antibody 26228-1-AP | Download protocol |
| IHC protocol for SCGB3A2 antibody 26228-1-AP | Download protocol |
| Standard Protocols | |
|---|---|
| Click here to view our Standard Protocols |
发表文章
| Species | Application | Title |
|---|---|---|
Mod Pathol Single-Cell Transcriptome Analysis Reveals 2 Subtypes of Tumor Cells of Sclerosing Pneumocytoma With Distinct Molecular Features and Clinical Implications | ||
J Transl Med Serum vesicle biomarkers reflect the disease activity of idiopathic pulmonary fibrosis. |





