验证数据展示
经过测试的应用
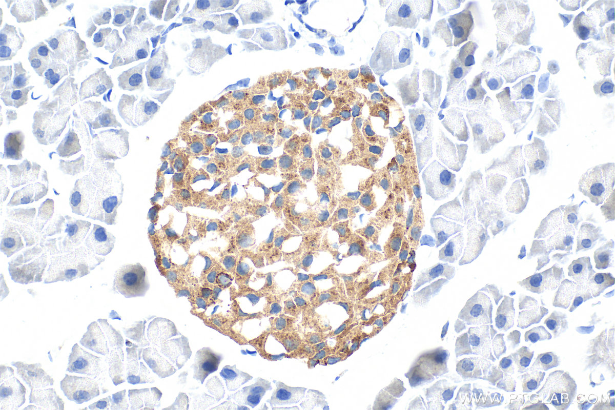
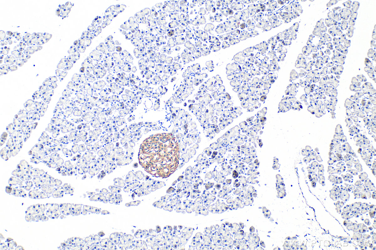
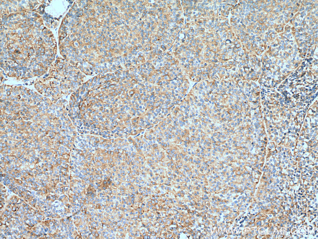
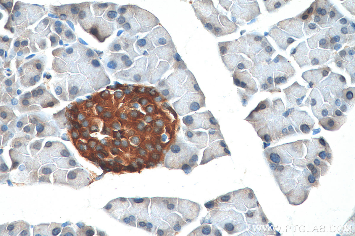
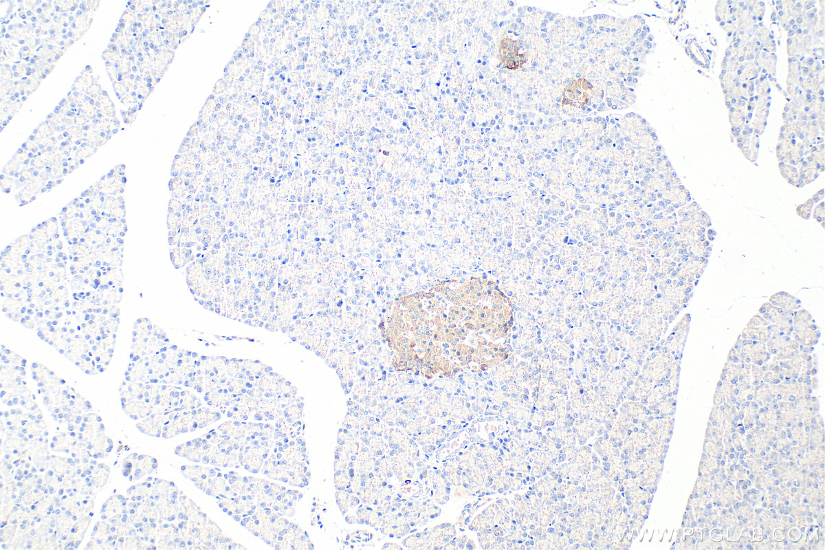
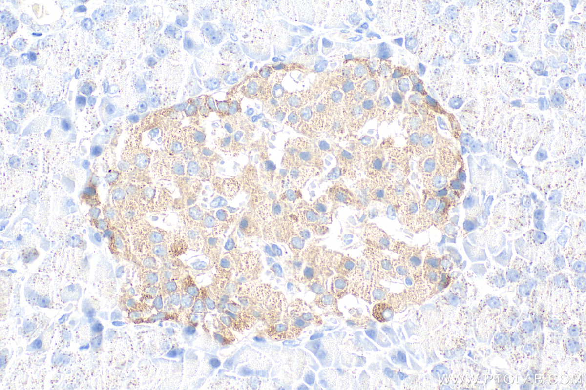
| Positive IHC detected in | mouse pancreas tissue, human pituitary adenoma tissue, rat pancreas tissue Note: suggested antigen retrieval with TE buffer pH 9.0; (*) Alternatively, antigen retrieval may be performed with citrate buffer pH 6.0 |
| Positive IF/ICC detected in | PC-12 cells |
推荐稀释比
| 应用 | 推荐稀释比 |
|---|---|
| Immunohistochemistry (IHC) | IHC : 1:500-1:2000 |
| Immunofluorescence (IF)/ICC | IF/ICC : 1:50-1:500 |
| It is recommended that this reagent should be titrated in each testing system to obtain optimal results. | |
| Sample-dependent, Check data in validation data gallery. | |
产品信息
10761-1-AP targets Secretogranin V in WB, IHC, IF/ICC, ELISA applications and shows reactivity with human, mouse, rat samples.
| 经测试应用 | IHC, IF/ICC, ELISA Application Description |
| 文献引用应用 | WB, IHC, IF |
| 经测试反应性 | human, mouse, rat |
| 文献引用反应性 | human, mouse |
| 免疫原 |
CatNo: Ag1107 Product name: Recombinant human SCG5 protein Source: e coli.-derived, PGEX-4T Tag: GST Domain: 1-212 aa of BC005349 Sequence: MVSRMVSTMLSGLLFWLASGWTPAFAYSPRTPDRVSEADIQRLLHGVMEQLGIARPRVEYPAHQAMNLVGPQSIEGGAHEGLQHLGPFGNIPNIVAELTGDNIPKDFSEDQGYPDPPNPCPVGKTADDGCLENTPDTAEFSREFQLHQHLSDPEHDYPGLGKWNKKLLYEKMKGGERRKRRSVNPYLQGQRLDNVVAKKSVPHFSDEDKDPE 种属同源性预测 |
| 宿主/亚型 | Rabbit / IgG |
| 抗体类别 | Polyclonal |
| 产品类型 | Antibody |
| 全称 | secretogranin V (7B2 protein) |
| 别名 | SCG5, 7B2, C-terminal peptide, Neuroendocrine protein 7B2, N-terminal peptide |
| 计算分子量 | 24 kDa |
| GenBank蛋白编号 | BC005349 |
| 基因名称 | Secretogranin V |
| Gene ID (NCBI) | 6447 |
| RRID | AB_2183280 |
| 偶联类型 | Unconjugated |
| 形式 | Liquid |
| 纯化方式 | Antigen affinity purification |
| UNIPROT ID | P05408 |
| 储存缓冲液 | PBS with 0.02% sodium azide and 50% glycerol, pH 7.3. |
| 储存条件 | Store at -20°C. Stable for one year after shipment. Aliquoting is unnecessary for -20oC storage. |
实验方案
| Product Specific Protocols | |
|---|---|
| IF protocol for Secretogranin V antibody 10761-1-AP | Download protocol |
| IHC protocol for Secretogranin V antibody 10761-1-AP | Download protocol |
| WB protocol for Secretogranin V antibody 10761-1-AP | Download protocol |
| Standard Protocols | |
|---|---|
| Click here to view our Standard Protocols |
发表文章
| Species | Application | Title |
|---|---|---|
Oncotarget Bromodomain protein BRD4 inhibitor JQ1 regulates potential prognostic molecules in advanced renal cell carcinoma. | ||
Aging (Albany NY) Plumbagin has an inhibitory effect on the growth of TSCC PDX model and it enhances the anticancer efficacy of cisplatin | ||
Dis Esophagus Expression profile and function of secretogranin V, and its effects on the malignant behavior of esophageal squamous cell carcinoma
| ||
Diabetologia Transcriptomic heterogeneity of non-beta islet cells is associated with type 2 diabetes development in mouse models | ||
Am J Cancer Res The role of LRRC15-SCG5 in ECM protein binding as a prognostic signature for urothelial carcinoma
| ||
Sci Rep The potential of secretogranin V as a prognostic biomarker in non-small cell lung cancer |









