验证数据展示
经过测试的应用
| Positive WB detected in | HeLa cells, HepG2 cells, human liver tissue, MCF-7 cells, mouse pancreas tissue, mouse liver tissue, rat liver tissue | 
| Positive IP detected in | HepG2 cells | 
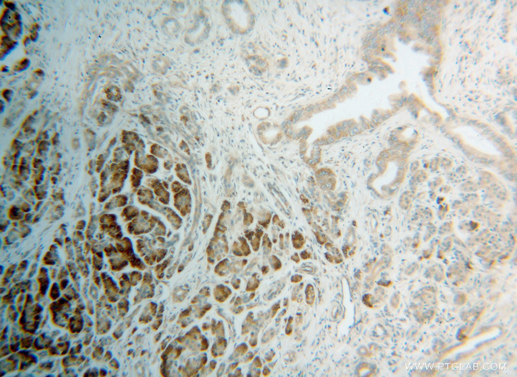
| Positive IHC detected in | human colon tissue, human pancreas cancer tissue Note: suggested antigen retrieval with TE buffer pH 9.0; (*) Alternatively, antigen retrieval may be performed with citrate buffer pH 6.0  | 
| Positive IF/ICC detected in | MCF-7 cells | 
推荐稀释比
| 应用 | 推荐稀释比 | 
|---|---|
| Western Blot (WB) | WB : 1:2000-1:12000 | 
| Immunoprecipitation (IP) | IP : 0.5-4.0 ug for 1.0-3.0 mg of total protein lysate | 
| Immunohistochemistry (IHC) | IHC : 1:150-1:600 | 
| Immunofluorescence (IF)/ICC | IF/ICC : 1:200-1:800 | 
| It is recommended that this reagent should be titrated in each testing system to obtain optimal results. | |
| Sample-dependent, Check data in validation data gallery. | |
产品信息
14799-1-AP targets RPS4X in WB, IHC, IF/ICC, IP, CoIP, ELISA, PLA applications and shows reactivity with human, mouse, rat samples.
| 经测试应用 | WB, IHC, IF/ICC, IP, ELISA Application Description | 
| 文献引用应用 | WB, IHC, IF, CoIP, PLA | 
| 经测试反应性 | human, mouse, rat | 
| 文献引用反应性 | human, mouse, xenopus, frog | 
| 免疫原 | 
                                             CatNo: Ag6513 Product name: Recombinant human SCAR protein Source: e coli.-derived, PGEX-4T Tag: GST Domain: 1-263 aa of BC000472 Sequence: MARGPKKHLKRVAAPKHWMLDKLTGVFAPRPSTGPHKLRECLPLIIFLRNRLKYALTGDEVKKICMQRFIKIDGKVRTDITYPAGFMDVISIDKTGENFRLIYDTKGRFAVHRITPEEAKYKLCKVRKIFVGTKGIPHLVTHDARTIRYPDPLIKVNDTIQIDLETGKITDFIKFDTGNLCMVTGGANLGRIGVITNRERHPGSFDVVHVKDANGNSFATRLSNIFVIGKGNKPWISLPRGKGIRLTIAEERDKRLAAKQSSG 种属同源性预测 | 
                                    
| 宿主/亚型 | Rabbit / IgG | 
| 抗体类别 | Polyclonal | 
| 产品类型 | Antibody | 
| 全称 | ribosomal protein S4, X-linked | 
| 别名 | 40S ribosomal protein S4, Small ribosomal subunit protein eS4, X isoform | 
| 计算分子量 | 263 aa, 30 kDa | 
| 观测分子量 | 30 kDa | 
| GenBank蛋白编号 | BC000472 | 
| 基因名称 | RPS4X | 
| Gene ID (NCBI) | 6191 | 
| RRID | AB_2238567 | 
| 偶联类型 | Unconjugated | 
| 形式 | Liquid | 
| 纯化方式 | Antigen affinity purification | 
| UNIPROT ID | P62701 | 
| 储存缓冲液 | PBS with 0.02% sodium azide and 50% glycerol, pH 7.3. | 
| 储存条件 | Store at -20°C. Stable for one year after shipment. Aliquoting is unnecessary for -20oC storage. | 
背景介绍
RPS4X, a X-linked gene in the human, encodes a subunit of ribosomal protein S4, a component of the 40S subunit and 60S subunit. Ribosomal protein S4 is the only ribosomal protein known to be encoded by more than one gene, namely this gene, RPS4Y2 and the ribosomal protein S4, X-linked (RPS4X). [PMID:8358435]
实验方案
| Product Specific Protocols | |
|---|---|
| IF protocol for RPS4X antibody 14799-1-AP | Download protocol | 
| IHC protocol for RPS4X antibody 14799-1-AP | Download protocol | 
| IP protocol for RPS4X antibody 14799-1-AP | Download protocol | 
| WB protocol for RPS4X antibody 14799-1-AP | Download protocol | 
| Standard Protocols | |
|---|---|
| Click here to view our Standard Protocols | 
发表文章
| Species | Application | Title | 
|---|---|---|
Cell Regnase-1 and Roquin Regulate a Common Element in Inflammatory mRNAs by Spatiotemporally Distinct Mechanisms. | ||
Nat Commun Excess ribosomal protein production unbalances translation in a model of Fragile X Syndrome. | ||
Elife Receptor-specific interactome as a hub for rapid cue-induced selective translation in axons. | ||
Aging (Albany NY) Construction and external validation of a 5-gene random forest model to diagnose non-obstructive azoospermia based on the single-cell RNA sequencing of testicular tissue | ||
BMC Cancer Low expression of the X-linked ribosomal protein S4 in human serous epithelial ovarian cancer is associated with a poor prognosis.
  | ||
Biomark Med Low level of the X-linked ribosomal protein S4 in human urothelial carcinomas is associated with a poor prognosis. | 











