SAV1 Monoclonal antibody

SAV1 Monoclonal Antibody for WB, ELISA
Cat No. 60903-1-Ig

产品说明书

CloneNo. 1G1H11

宿主/亚型

Mouse / IgG1

种属反应性

human, mouse, rat

应用

WB, ELISA

45 kDa WW domain protein, hWW45, Protein salvador homolog 1, SAV

缓冲液配方:  PBS, Azide, Glycerol
PBS, Azide, Glycerol
PBS Only
偶联物:  Unconjugated
Unconjugated
规格价格库存


经过测试的应用

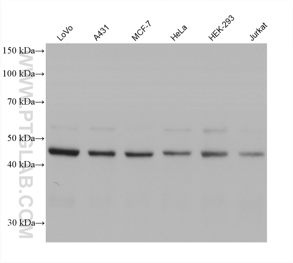
Positive WB detected inLoVo cells, HSC-T6 cells, NIH/3T3 cells, A431 cells, MCF-7 cells, HeLa cells, HEK-293 cells, Jurkat cells

推荐稀释比

应用推荐稀释比
Western Blot (WB)WB : 1:5000-1:50000
It is recommended that this reagent should be titrated in each testing system to obtain optimal results.
Sample-dependent, Check data in validation data gallery.

产品信息

60903-1-Ig targets SAV1 in WB, ELISA applications and shows reactivity with human, mouse, rat samples.

经测试应用 WB, ELISA Application Description
经测试反应性 human, mouse, rat
免疫原

CatNo: Ag3441

Product name: Recombinant human SAV1 protein

Source: e coli.-derived, PET28a

Tag: 6*His

Domain: 1-376 aa of BC020537

Sequence: MLSRKKTKNEVSKPAEVQGKYVKKETSPLLRNLMPSFIRHGPTIPRRTDICLPDSSPNAFSTSGDVVSRNQSFLRTPIQRTPHEIMRRESNRLSAPSYLARSLADVPREYGSSQSFVTEVSFAVENGDSGSRYYYSDNFFDGQRKRPLGDRAHEDYRYYEYNHDLFQRMPQNQGRHASGIGRVAATSLGNLTNHGSEDLPLPPGWSVDWTMRGRKYYIDHNTNTTHWSHPLEREGLPPGWERVESSEFGTYYVDHTNKKAQYRHPCAPSVPRYDQPPPVTYQPQQTERNQSLLVPANPYHTAEIPDWLQVYARAPVKYDHILKWELFQLADLDTYQGMLKLLFMKELEQIVKMYEAYRQALLTELENRKQRQQWYA

种属同源性预测
宿主/亚型 Mouse / IgG1
抗体类别 Monoclonal
产品类型 Antibody
全称 salvador homolog 1 (Drosophila)
别名 45 kDa WW domain protein, hWW45, Protein salvador homolog 1, SAV
计算分子量 383 aa, 45 kDa
观测分子量45 kDa
GenBank蛋白编号BC020537
基因名称 SAV1
Gene ID (NCBI) 60485
偶联类型 Unconjugated
形式Liquid
纯化方式Protein G purification
UNIPROT IDQ9H4B6
储存缓冲液 PBS with 0.02% sodium azide and 50% glycerol, pH 7.3.
储存条件Store at -20°C. Stable for one year after shipment. Aliquoting is unnecessary for -20oC storage.

背景介绍

The Salvador family WW domain‐containing 1 (SAV1, also known as WW45) is a human homologue of Salvador that contains two protein‐protein interaction modules known as WW domains and acts as a scaffolding protein (PMID: 28618450). SAV1 belongs to the core kinase components of Hippo signalling pathway for efficient MST1/2 activation. SAV1 represses the growth of colorectal cancer cells by inactivating Akt‐mTOR signalling in a YAP‐dependent manner (PMID: 29063833, 22185343).

实验方案

Product Specific Protocols
WB protocol for SAV1 antibody 60903-1-IgDownload protocol
Standard Protocols
Click here to view our Standard Protocols
Loading...
||
New chat

Able

正在加载,请稍候...