验证数据展示
经过测试的应用
| Positive WB detected in | HT-29 cells, HUVEC cells, U2OS cells |
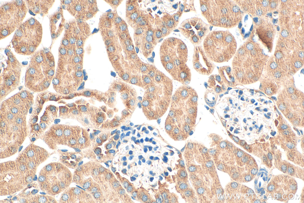
| Positive IHC detected in | mouse kidney tissue, rat kidney tissue Note: suggested antigen retrieval with TE buffer pH 9.0; (*) Alternatively, antigen retrieval may be performed with citrate buffer pH 6.0 |
| Positive IF/ICC detected in | A549 cells |
推荐稀释比
| 应用 | 推荐稀释比 |
|---|---|
| Western Blot (WB) | WB : 1:500-1:2000 |
| Immunohistochemistry (IHC) | IHC : 1:50-1:500 |
| Immunofluorescence (IF)/ICC | IF/ICC : 1:50-1:500 |
| It is recommended that this reagent should be titrated in each testing system to obtain optimal results. | |
| Sample-dependent, Check data in validation data gallery. | |
产品信息
32277-1-AP targets SAV1 in WB, IHC, IF/ICC, ELISA applications and shows reactivity with human, mouse, rat samples.
| 经测试应用 | WB, IHC, IF/ICC, ELISA Application Description |
| 经测试反应性 | human, mouse, rat |
| 免疫原 |
CatNo: Ag36278 Product name: Recombinant human SAV1 protein Source: e coli.-derived, PGEX-4T Tag: GST Domain: 208-383 aa of BC020537 Sequence: DWTMRGRKYYIDHNTNTTHWSHPLEREGLPPGWERVESSEFGTYYVDHTNKKAQYRHPCAPSVPRYDQPPPVTYQPQQTERNQSLLVPANPYHTAEIPDWLQVYARAPVKYDHILKWELFQLADLDTYQGMLKLLFMKELEQIVKMYEAYRQALLTELENRKQRQQWYAQQHGKNF 种属同源性预测 |
| 宿主/亚型 | Rabbit / IgG |
| 抗体类别 | Polyclonal |
| 产品类型 | Antibody |
| 全称 | salvador homolog 1 (Drosophila) |
| 别名 | 45 kDa WW domain protein, hWW45, Protein salvador homolog 1, SAV |
| 计算分子量 | 383 aa, 45 kDa |
| 观测分子量 | 45 kDa |
| GenBank蛋白编号 | BC020537 |
| 基因名称 | SAV1 |
| Gene ID (NCBI) | 60485 |
| RRID | AB_3742564 |
| 偶联类型 | Unconjugated |
| 形式 | Liquid |
| 纯化方式 | Antigen affinity Purification |
| UNIPROT ID | Q9H4B6 |
| 储存缓冲液 | PBS with 0.02% sodium azide and 50% glycerol, pH 7.3. |
| 储存条件 | Store at -20°C. Stable for one year after shipment. Aliquoting is unnecessary for -20oC storage. |
背景介绍
The Salvador family WW domain‐containing 1 (SAV1, also known as WW45) is a human homologue of Salvador that contains two protein‐protein interaction modules known as WW domains and acts as a scaffolding protein (PMID: 28618450). SAV1 belongs to the core kinase components of Hippo signalling pathway for efficient MST1/2 activation. SAV1 represses the growth of colorectal cancer cells by inactivating Akt‐mTOR signalling in a YAP‐dependent manner (PMID: 29063833, 22185343).
实验方案
| Product Specific Protocols | |
|---|---|
| IF protocol for SAV1 antibody 32277-1-AP | Download protocol |
| IHC protocol for SAV1 antibody 32277-1-AP | Download protocol |
| WB protocol for SAV1 antibody 32277-1-AP | Download protocol |
| Standard Protocols | |
|---|---|
| Click here to view our Standard Protocols |





