验证数据展示
经过测试的应用
| Positive WB detected in | Jurkat cells |
| Positive IP detected in | HeLa cells |
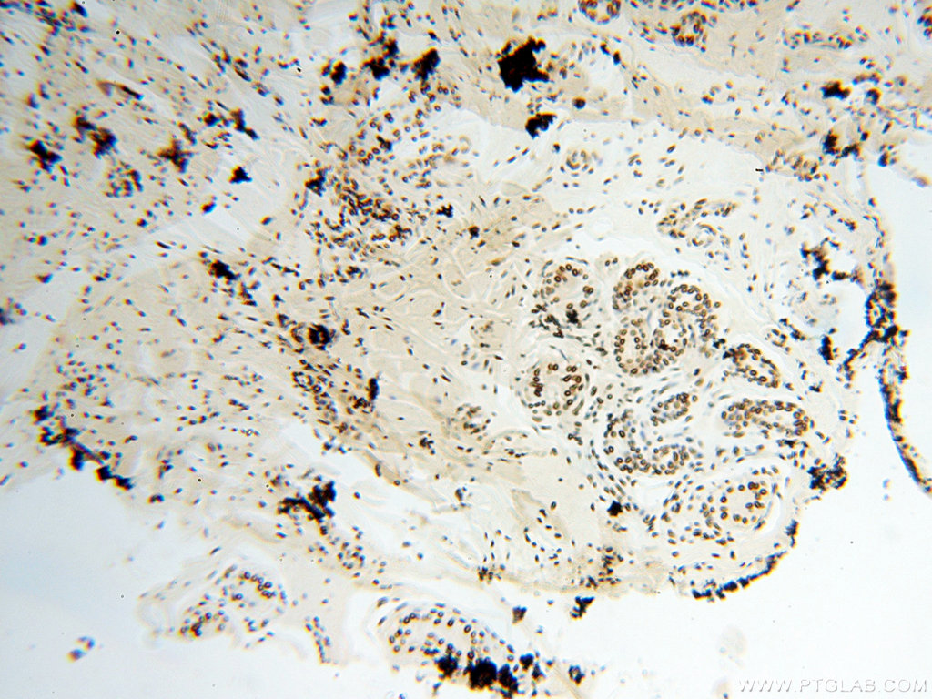
| Positive IHC detected in | human stomach cancer tissue, human brain tissue, human kidney tissue, human liver tissue, human lung cancer tissue, human ovary tissue, human placenta tissue, human skin tissue, human spleen tissue, human testis tissue, mouse kidney tissue, rat kidney tissue Note: suggested antigen retrieval with TE buffer pH 9.0; (*) Alternatively, antigen retrieval may be performed with citrate buffer pH 6.0 |
推荐稀释比
| 应用 | 推荐稀释比 |
|---|---|
| Western Blot (WB) | WB : 1:2000-1:10000 |
| Immunoprecipitation (IP) | IP : 0.5-4.0 ug for 1.0-3.0 mg of total protein lysate |
| Immunohistochemistry (IHC) | IHC : 1:500-1:2000 |
| It is recommended that this reagent should be titrated in each testing system to obtain optimal results. | |
| Sample-dependent, Check data in validation data gallery. | |
产品信息
18025-1-AP targets SART3 in WB, IHC, IP, ELISA applications and shows reactivity with human, mouse, rat samples.
| 经测试应用 | WB, IHC, IP, ELISA Application Description |
| 文献引用应用 | WB, IHC, IP |
| 经测试反应性 | human, mouse, rat |
| 文献引用反应性 | human, mouse |
| 免疫原 |
CatNo: Ag12590 Product name: Recombinant human SART3 protein Source: e coli.-derived, PGEX-4T Tag: GST Domain: 1-357 aa of BC093784 Sequence: MATAAETSASEPEAESKAGPKADGEEDEVKAARTRRKVLSRAVAAATYKTMGPAWDQQEEGVSESDGDEYAMASSAESSPGEYEWEYDEEEEKNQLEIERLEEQLSINVYDYNCHVDLIRLLRLEGELTKVRMARQKMSEIFPLTEELWLEWLHDEISMAQDGLDREHVYDLFEKAVKDYICPNIWLEYGQYSVGGIGQKGGLEKVRSVFERALSSVGLHMTKGLALWEAYREFESAIVEAARLEKVHSLFRRQLAIPLYDMEATFAEYEEWSEDPIPESVIQNYNKALQQLEKYKPYEEALLQAEAPRLAEYQAYIDFEMKIGDPARIQLIFERALVENCLVPDLWIRYSQYLDRQ 种属同源性预测 |
| 宿主/亚型 | Rabbit / IgG |
| 抗体类别 | Polyclonal |
| 产品类型 | Antibody |
| 全称 | squamous cell carcinoma antigen recognized by T cells 3 |
| 别名 | DSAP1, hSART 3, KIAA0156, P100, p110 |
| 计算分子量 | 963 aa, 110 kDa |
| 观测分子量 | 110-120 kDa |
| GenBank蛋白编号 | BC093784 |
| 基因名称 | SART3 |
| Gene ID (NCBI) | 9733 |
| RRID | AB_2254228 |
| 偶联类型 | Unconjugated |
| 形式 | Liquid |
| 纯化方式 | Antigen affinity purification |
| UNIPROT ID | Q15020 |
| 储存缓冲液 | PBS with 0.02% sodium azide and 50% glycerol, pH 7.3. |
| 储存条件 | Store at -20°C. Stable for one year after shipment. Aliquoting is unnecessary for -20oC storage. |
背景介绍
The process of mRNA splicing required assembly of pre-mRNA into a large, dynamic RNA-protein complex, in which 5 small nuclear RNAs and more than 50 protein components are incorporated into functional small nuclear ribonucleoproteins(snRNPs). SART3 interacts with U6 snRNA and functioned as a U6-specific recycling factor responsible for regeneration of base-paired U4/U6 snRNPs from post-spliceosomal free U4 and U6 snRNPs. Also it can interact and regulate Tat transactivation activity, and act as a cellular factor for HIV-1 gene expression and viral replication.
实验方案
| Product Specific Protocols | |
|---|---|
| IHC protocol for SART3 antibody 18025-1-AP | Download protocol |
| IP protocol for SART3 antibody 18025-1-AP | Download protocol |
| WB protocol for SART3 antibody 18025-1-AP | Download protocol |
| Standard Protocols | |
|---|---|
| Click here to view our Standard Protocols |
发表文章
| Species | Application | Title |
|---|---|---|
Sci Adv Enhanced packaging of U6 small nuclear RNA and splicing-related proteins into extracellular vesicles during HIV infection | ||
J Biol Chem Identification of a 35S U4/U6.U5 Tri-snRNP Complex Intermediate in Spliceosome Assembly. | ||
Mol Cell Biol USP15 deubiquitinates TUT1 associated with RNA metabolism and maintains cerebellar homeostasis. | ||
Aging (Albany NY) SART3, regulated by p53, is a biomarker for diagnosis, prognosis and immune infiltration in hepatocellular carcinoma |
























