验证数据展示
经过测试的应用
| Positive WB detected in | mouse liver tissue, mouse brain tissue, mouse skeletal muscle tissue, mouse small intestine tissue | 
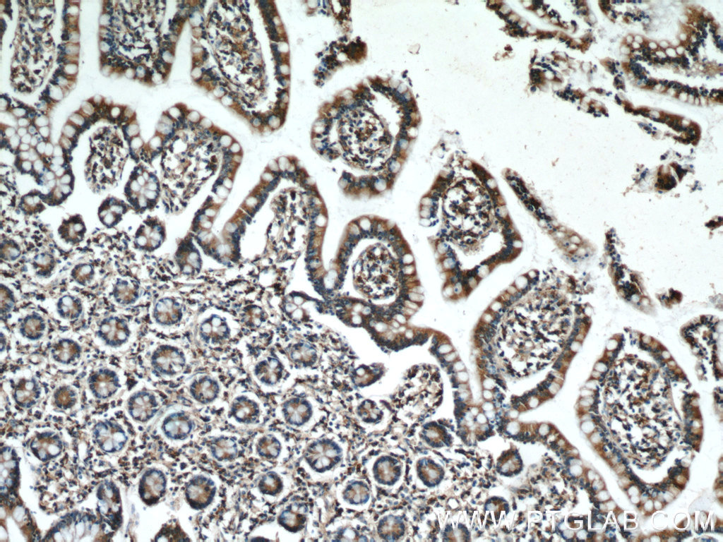
| Positive IHC detected in | human liver tissue,  human skeletal muscle tissue,  human small intestine tissue Note: suggested antigen retrieval with TE buffer pH 9.0; (*) Alternatively, antigen retrieval may be performed with citrate buffer pH 6.0 | 
推荐稀释比
| 应用 | 推荐稀释比 | 
|---|---|
| Western Blot (WB) | WB : 1:500-1:2000 | 
| Immunohistochemistry (IHC) | IHC : 1:20-1:200 | 
| It is recommended that this reagent should be titrated in each testing system to obtain optimal results. | |
| Sample-dependent, Check data in validation data gallery. | |
产品信息
22292-1-AP targets SAR1B in WB, IHC, IF, IP, ELISA applications and shows reactivity with human, mouse, rat samples.
| 经测试应用 | WB, IHC, ELISA Application Description | 
| 文献引用应用 | WB, IF, IP | 
| 经测试反应性 | human, mouse, rat | 
| 文献引用反应性 | human, mouse, rat, bovine | 
| 免疫原 | Peptide种属同源性预测 | 
| 宿主/亚型 | Rabbit / IgG | 
| 抗体类别 | Polyclonal | 
| 产品类型 | Antibody | 
| 全称 | SAR1 homolog B (S. cerevisiae) | 
| 别名 | ANDD, CMRD, GTBPB, GTP binding protein B, GTP binding protein SAR1b, SAR1 homolog B (S. cerevisiae), SAR1B, SARA2, SARB | 
| 计算分子量 | 22 kDa | 
| 观测分子量 | 25-27 kDa | 
| GenBank蛋白编号 | NM_016103 | 
| 基因名称 | SAR1B | 
| Gene ID (NCBI) | 51128 | 
| RRID | AB_11182713 | 
| 偶联类型 | Unconjugated | 
| 形式 | Liquid | 
| 纯化方式 | Antigen affinity purification | 
| UNIPROT ID | Q9Y6B6 | 
| 储存缓冲液 | PBS with 0.02% sodium azide and 50% glycerol, pH 7.3. | 
| 储存条件 | Store at -20°C. Stable for one year after shipment. Aliquoting is unnecessary for -20oC storage. | 
背景介绍
SAR1B, also named as SARA2, SARB and GTBPB, belongs to the small GTPase superfamily and SAR1 family. It is involved in transport from the endoplasmic reticulum to the Golgi apparatus. SAR1B is activated by the guanine nucleotide exchange factor PREB. It is involved in the selection of the protein cargo and the assembly of the COPII coat complex. The antibody is specific to SAR1B.
实验方案
| Product Specific Protocols | |
|---|---|
| IHC protocol for SAR1B antibody 22292-1-AP | Download protocol | 
| WB protocol for SAR1B antibody 22292-1-AP | Download protocol | 
| Standard Protocols | |
|---|---|
| Click here to view our Standard Protocols | 
发表文章
| Species | Application | Title | 
|---|---|---|
| J Clin Invest Sec13 promotes oligodendrocyte differentiation and myelin repair through autocrine pleiotrophin signaling. | ||
| Redox Biol Selenoprotein K contributes to CD36 subcellular trafficking in hepatocytes by accelerating nascent COPII vesicle formation and aggravates hepatic steatosis | ||
| J Biol Chem The Endoplasmic Reticulum COPII-Vesicle Transport Machinery Coordinates Cellular Lipid Secretion and Cholesterol Biosynthesis. | ||
| J Biol Chem Small intestine but not liver lysophosphatidylcholine acyltransferase 3 (Lpcat3) deficiency has a dominant effect on plasma lipid metabolism. | ||
| Cell Death Differ C9orf72 controls hepatic lipid metabolism by regulating SREBP1 transport | 
















