验证数据展示
经过测试的应用
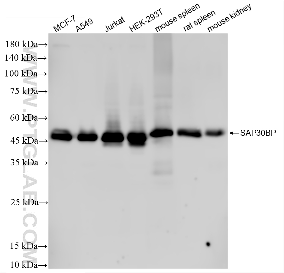
| Positive WB detected in | MCF-7 cells, A549 cells, Jurkat cells, HEK-293T cells, mouse spleen tissue, rat spleen tissue, mouse kidney tissue |
| Positive IF/ICC detected in | HeLa cells |
推荐稀释比
| 应用 | 推荐稀释比 |
|---|---|
| Western Blot (WB) | WB : 1:5000-1:50000 |
| Immunofluorescence (IF)/ICC | IF/ICC : 1:500-1:2000 |
| It is recommended that this reagent should be titrated in each testing system to obtain optimal results. | |
| Sample-dependent, Check data in validation data gallery. | |
产品信息
87054-1-RR targets SAP30BP in WB, IF/ICC, ELISA applications and shows reactivity with human, mouse, rat samples.
| 经测试应用 | WB, IF/ICC, ELISA Application Description |
| 经测试反应性 | human, mouse, rat |
| 免疫原 |
CatNo: Ag15051 Product name: Recombinant human SAP30BP protein Source: e coli.-derived, PGEX-4T Tag: GST Domain: 1-308 aa of BC007592 Sequence: MAGKKNVLSSLAVYAEDSEPESDGEAGIEAVGSAAEEKGGLVSDAYGEDDFSRLGGDEDGYEEEEDENSRQSEDDDSETEKPEADDPKDNTEAEKRDPQELVASFSERVRNMSPDEIKIPPEPPGRCSNHLQDKIQKLYERKIKEGMDMNYIIQRKKEFRNPSIYEKLIQFCAIDELGTNYPKDMFDPHGWSEDSYYEALAKAQKIEMDKLEKAKKERTKIEFVTGTKKGTTTNATSTTTTTASTAVADAQKRKSKWDSAIPVTTIAQPTILTTTATLPAVVTVTTSASGSKTTVISAVGTIVKKAKQ 种属同源性预测 |
| 宿主/亚型 | Rabbit / IgG |
| 抗体类别 | Recombinant |
| 产品类型 | Antibody |
| 全称 | SAP30 binding protein |
| 别名 | HTRG, HTRP, SAP30-binding protein |
| 计算分子量 | 308 aa, 34 kDa |
| 观测分子量 | 45 kDa |
| GenBank蛋白编号 | BC007592 |
| 基因名称 | SAP30BP |
| Gene ID (NCBI) | 29115 |
| RRID | AB_3745304 |
| 偶联类型 | Unconjugated |
| 形式 | Liquid |
| 纯化方式 | Protein A purification |
| UNIPROT ID | Q9UHR5 |
| 储存缓冲液 | PBS with 0.02% sodium azide and 50% glycerol, pH 7.3. |
| 储存条件 | Store at -20°C. Stable for one year after shipment. Aliquoting is unnecessary for -20oC storage. |
背景介绍
SAP30BP, also named as SAP30-binding protein, is a 308 amino acid protein, which belongs to the HCNGP family. SAP30BP localizes in Nucleus and Interacts with SAP30. DDX54 Induces cell death and may act as a transcriptional corepressor of a gene related to cell survival. SAP30BP may be involved in the regulation of beta-2-microglobulin genes.
实验方案
| Product Specific Protocols | |
|---|---|
| IF protocol for SAP30BP antibody 87054-1-RR | Download protocol |
| WB protocol for SAP30BP antibody 87054-1-RR | Download protocol |
| Standard Protocols | |
|---|---|
| Click here to view our Standard Protocols |



