验证数据展示
经过测试的应用
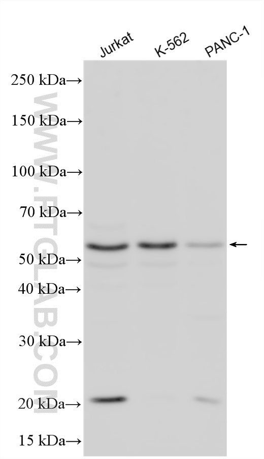
| Positive WB detected in | Jurkat cells, K-562 cells, PANC-1 cells |
推荐稀释比
| 应用 | 推荐稀释比 |
|---|---|
| Western Blot (WB) | WB : 1:1000-1:6000 |
| It is recommended that this reagent should be titrated in each testing system to obtain optimal results. | |
| Sample-dependent, Check data in validation data gallery. | |
产品信息
33562-1-AP targets S100PBP in WB, ELISA applications and shows reactivity with human samples.
| 经测试应用 | WB, ELISA Application Description |
| 经测试反应性 | human |
| 免疫原 |
CatNo: Ag38238 Product name: Recombinant human S100PBP protein Source: e coli.-derived, PET30a Tag: 6*His Domain: 59-408 aa of BC015175 Sequence: DALLKEDDPSYEQSSGEDDGGHVEKGERGSQILLDTPREKNSSYSLGPVAETPDLFKLPQLSTSSGHGPAHTKPLNRRSVLEKNLIKVTVAPFNPTVCDALLDKDETDSSKDTEKLSSLGEEMREDGLSPNESKLCTESEGISPNNSAWNGPQLSSSNNNFQQTVSDKNMPDSENPTSVFSRISDHSETPNMELSCRNGGSHKSSCEMRSLVVSTSSNKQDVLNKDSGKMKGHERRLGKVIPVLQTKTRTNVPTFSQSNLEQQKQLYLRSVIAHIEDPEDTNQGISGELCALMDQVHHMQHSKWQHPSDLTTRNYARRQKHLQRYSLTQWVDRNMRSHHRFQRLPDFSYS 种属同源性预测 |
| 宿主/亚型 | Rabbit / IgG |
| 抗体类别 | Polyclonal |
| 产品类型 | Antibody |
| 全称 | S100P binding protein |
| 别名 | S100P binding protein, S100P-binding protein, S100P-binding protein Riken, S100PBPR |
| 观测分子量 | 55 kDa |
| GenBank蛋白编号 | BC015175 |
| 基因名称 | S100PBP |
| Gene ID (NCBI) | 64766 |
| 偶联类型 | Unconjugated |
| 形式 | Liquid |
| 纯化方式 | Antigen affinity Purification |
| UNIPROT ID | Q96BU1 |
| 储存缓冲液 | PBS with 0.02% sodium azide and 50% glycerol, pH 7.3. |
| 储存条件 | Store at -20°C. Stable for one year after shipment. Aliquoting is unnecessary for -20oC storage. |
实验方案
| Product Specific Protocols | |
|---|---|
| WB protocol for S100PBP antibody 33562-1-AP | Download protocol |
| Standard Protocols | |
|---|---|
| Click here to view our Standard Protocols |
