验证数据展示
经过测试的应用
| Positive WB detected in | HL-60 cells, MCF-7 cells, THP-1 cells |
| Positive IP detected in | MCF-7 cells |
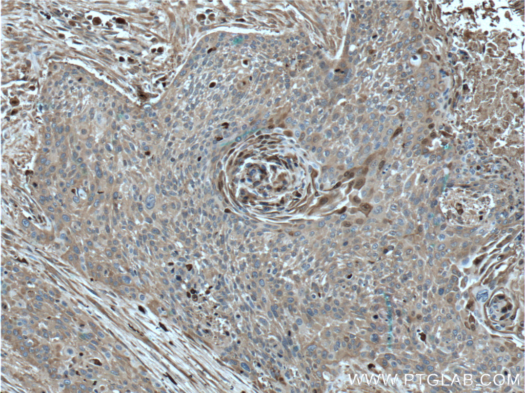
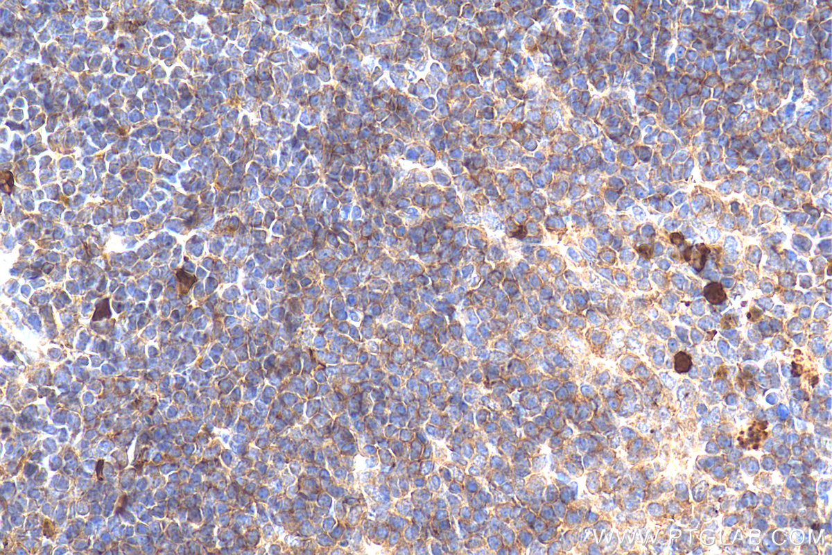
| Positive IHC detected in | human breast cancer tissue, human liver cancer tissue, human oesophagus cancer tissue, human tonsillitis tissue Note: suggested antigen retrieval with TE buffer pH 9.0; (*) Alternatively, antigen retrieval may be performed with citrate buffer pH 6.0 |
| Positive IF-P detected in | human tonsillitis tissue |
| Positive IF/ICC detected in | HeLa cells, A549 cells, HepG2 cells |
推荐稀释比
| 应用 | 推荐稀释比 |
|---|---|
| Western Blot (WB) | WB : 1:1000-1:4000 |
| Immunoprecipitation (IP) | IP : 0.5-4.0 ug for 1.0-3.0 mg of total protein lysate |
| Immunohistochemistry (IHC) | IHC : 1:50-1:500 |
| Immunofluorescence (IF)-P | IF-P : 1:50-1:500 |
| Immunofluorescence (IF)/ICC | IF/ICC : 1:200-1:800 |
| It is recommended that this reagent should be titrated in each testing system to obtain optimal results. | |
| Sample-dependent, Check data in validation data gallery. | |
产品信息
26992-1-AP targets S100A9 in WB, IHC, IF/ICC, IF-P, IP, CoIP, ELISA applications and shows reactivity with human samples.
| 经测试应用 | WB, IHC, IF/ICC, IF-P, IP, ELISA Application Description |
| 文献引用应用 | WB, IHC, IF, IP, CoIP |
| 经测试反应性 | human |
| 文献引用反应性 | human, rat, sheep |
| 免疫原 |
CatNo: Ag25764 Product name: Recombinant human S100A9 protein Source: e coli.-derived, PGEX-4T Tag: GST Domain: 25-114 aa of BC047681 Sequence: KLGHPDTLNQGEFKELVRKDLQNFLKKENKNEKVIEHIMEDLDTNADKQLSFEEFIMLMARLTWASHEKMHEGDEGPGHHHKPGLGEGTP 种属同源性预测 |
| 宿主/亚型 | Rabbit / IgG |
| 抗体类别 | Polyclonal |
| 产品类型 | Antibody |
| 全称 | S100 calcium binding protein A9 |
| 别名 | CAGB, Calgranulin B, Calgranulin-B, Calprotectin L1H subunit, CFAG |
| 计算分子量 | 13 kDa |
| 观测分子量 | 14 kDa |
| GenBank蛋白编号 | BC047681 |
| 基因名称 | S100A9 |
| Gene ID (NCBI) | 6280 |
| RRID | AB_2880716 |
| 偶联类型 | Unconjugated |
| 形式 | Liquid |
| 纯化方式 | Antigen affinity purification |
| UNIPROT ID | P06702 |
| 储存缓冲液 | PBS with 0.02% sodium azide and 50% glycerol, pH 7.3. |
| 储存条件 | Store at -20°C. Stable for one year after shipment. Aliquoting is unnecessary for -20oC storage. |
背景介绍
S100A9 is a calcium binding protein as a member of the S100 family of proteins. S100 proteins are low molecular weight (9 to 14 kDa) intracellular calcium-binding proteins that control key cellular pathways including regulation of the cytoskeleton, cell migration and adhesion, and host oxidative defense. S100A9 may exist as a homodimer, heterodimer with an S100A8 partner (S100A8/A9), or as a heterotetramer with an S100A8 partner(S100A8/A9). S100A8 and S100A9 are found intracellularly in granulocytes, monocytes, and early differentiation stages of macrophages.
实验方案
| Product Specific Protocols | |
|---|---|
| IF protocol for S100A9 antibody 26992-1-AP | Download protocol |
| IHC protocol for S100A9 antibody 26992-1-AP | Download protocol |
| IP protocol for S100A9 antibody 26992-1-AP | Download protocol |
| WB protocol for S100A9 antibody 26992-1-AP | Download protocol |
| Standard Protocols | |
|---|---|
| Click here to view our Standard Protocols |
发表文章
| Species | Application | Title |
|---|---|---|
Cell Res Comparison of viral RNA-host protein interactomes across pathogenic RNA viruses informs rapid antiviral drug discovery for SARS-CoV-2. | ||
Cell Rep Med Discovery of galectin-8 as an LILRB4 ligand driving M-MDSCs defines a class of antibodies to fight solid tumors | ||
Sci Adv Gut microbiota from patients with arteriosclerotic CSVD induces higher IL-17A production in neutrophils via activating RORγt. | ||
Theranostics Pancreatic ductal deletion of S100A9 alleviates acute pancreatitis by targeting VNN1-mediated ROS release to inhibit NLRP3 activation.
| ||
Theranostics Hepatic RACK1 deficiency protects against fulminant hepatitis through myeloid-derived suppressor cells. | ||
Phytomedicine Geniposide via enema alleviates colitis by modulating intestinal flora and bile acid metabolites, inhibiting S100A8/S100A9/NF-κB, and promoting TGR5 inhibition of NLRP3 inflammasome |

















