WB Figures
WB analysis of A375 using 66489-1-Ig (same clone as 66489-1-PBS)
A375 cells were subjected to SDS PAGE followed by western blot with 66489-1-Ig (S100A4 antibody) at dilution of 1:3000 incubated at room temperature for 1.5 hours. This data was developed using the same antibody clone with 66489-1-PBS in a different storage buffer formulation.
WB analysis of HeLa using 66489-1-Ig (same clone as 66489-1-PBS)
WB result of S100A4 antibody (66489-1-Ig; 1:100000; incubated at room temperature for 1.5 hours) with sh-Control and sh-S100A4 transfected HeLa cells. This data was developed using the same antibody clone with 66489-1-PBS in a different storage buffer formulation.
WB analysis of HeLa using 66489-1-Ig (same clone as 66489-1-PBS)
HeLa cells were subjected to SDS PAGE followed by western blot with 66489-1-Ig (S100A4 antibody) at dilution of 1:3000 incubated at room temperature for 1.5 hours. This data was developed using the same antibody clone with 66489-1-PBS in a different storage buffer formulation.
WB analysis using 66489-1-Ig (same clone as 66489-1-PBS)
Various lysates were subjected to SDS PAGE followed by western blot with 66489-1-Ig (S100A4 antibody) at dilution of 1:10000 incubated at room temperature for 1.5 hours. This data was developed using the same antibody clone with 66489-1-PBS in a different storage buffer formulation.
WB analysis of PC-3 using 66489-1-Ig (same clone as 66489-1-PBS)
PC-3 cells were subjected to SDS PAGE followed by western blot with 66489-1-Ig (S100A4 antibody) at dilution of 1:3000 incubated at room temperature for 1.5 hours. This data was developed using the same antibody clone with 66489-1-PBS in a different storage buffer formulation.
WB analysis using 66489-1-Ig (same clone as 66489-1-PBS)
Various lysates were subjected to SDS PAGE followed by western blot with 66489-1-Ig (S100A4 antibody) at dilution of 1:10000 incubated at room temperature for 1.5 hours. This data was developed using the same antibody clone with 66489-1-PBS in a different storage buffer formulation.
IHC staining of human colon cancer using 66489-1-Ig (same clone as 66489-1-PBS)
Immunohistochemical analysis of paraffin-embedded human colon cancer tissue slide using 66489-1-Ig (S100A4 antibody) at dilution of 1:4000 (under 10x lens. Heat mediated antigen retrieval with Tris-EDTA buffer (pH 9.0). This data was developed using the same antibody clone with 66489-1-PBS in a different storage buffer formulation.
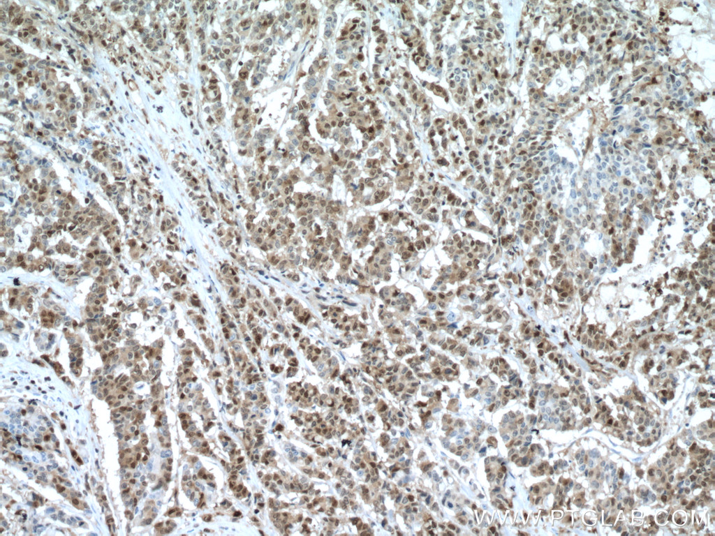
IHC staining of human colon cancer using 66489-1-Ig (same clone as 66489-1-PBS)
Immunohistochemical analysis of paraffin-embedded human colon cancer tissue slide using 66489-1-Ig (S100A4 antibody) at dilution of 1:4000 (under 40x lens. Heat mediated antigen retrieval with Tris-EDTA buffer (pH 9.0). This data was developed using the same antibody clone with 66489-1-PBS in a different storage buffer formulation.
IHC staining of human lung cancer using 66489-1-Ig (same clone as 66489-1-PBS)
Immunohistochemical analysis of paraffin-embedded human lung cancer tissue slide using 66489-1-Ig (S100A4 antibody) at dilution of 1:4000 (under 10x lens. Heat mediated antigen retrieval with Tris-EDTA buffer (pH 9.0). This data was developed using the same antibody clone with 66489-1-PBS in a different storage buffer formulation.
IHC staining of human lung cancer using 66489-1-Ig (same clone as 66489-1-PBS)
Immunohistochemical analysis of paraffin-embedded human lung cancer tissue slide using 66489-1-Ig (S100A4 antibody) at dilution of 1:4000 (under 40x lens. Heat mediated antigen retrieval with Tris-EDTA buffer (pH 9.0). This data was developed using the same antibody clone with 66489-1-PBS in a different storage buffer formulation.
IHC staining of human lung cancer using 66489-1-Ig (same clone as 66489-1-PBS)
Immunohistochemical analysis of paraffin-embedded human lung cancer tissue slide using 66489-1-Ig (S100A4 antibody) at dilution of 1:4000 (under 10x lens. Heat mediated antigen retrieval with Tris-EDTA buffer (pH 9.0). This data was developed using the same antibody clone with 66489-1-PBS in a different storage buffer formulation.
IHC staining of human lung cancer using 66489-1-Ig (same clone as 66489-1-PBS)
Immunohistochemical analysis of paraffin-embedded human lung cancer tissue slide using 66489-1-Ig (S100A4 antibody) at dilution of 1:4000 (under 40x lens. Heat mediated antigen retrieval with Tris-EDTA buffer (pH 9.0). This data was developed using the same antibody clone with 66489-1-PBS in a different storage buffer formulation.
IHC staining of human tonsillitis using 66489-1-Ig (same clone as 66489-1-PBS)
Immunohistochemical analysis of paraffin-embedded human tonsillitis tissue slide using 66489-1-Ig (S100A4 antibody) at dilution of 1:4000 (under 10x lens). Heat mediated antigen retrieval with Tris-EDTA buffer (pH 9.0). This data was developed using the same antibody clone with 66489-1-PBS in a different storage buffer formulation.
IHC staining of human tonsillitis using 66489-1-Ig (same clone as 66489-1-PBS)
Immunohistochemical analysis of paraffin-embedded human tonsillitis tissue slide using 66489-1-Ig (S100A4 antibody) at dilution of 1:4000 (under 40x lens). Heat mediated antigen retrieval with Tris-EDTA buffer (pH 9.0). This data was developed using the same antibody clone with 66489-1-PBS in a different storage buffer formulation.
IHC staining of K-562 using 66489-1-Ig (same clone as 66489-1-PBS)
Immunohistochemical analysis of paraffin-embedded k562 slide using 66489-1-Ig (S100A4 antibody) at dilution of 1:32000 (under 40x lens). Heat mediated antigen retrieval with Tris-EDTA buffer (pH 9.0). This data was developed using the same antibody clone with 66489-1-PBS in a different storage buffer formulation.
IHC staining of mouse lung using 66489-1-Ig (same clone as 66489-1-PBS)
Immunohistochemical analysis of paraffin-embedded mouse lung tissue slide using 66489-1-Ig (S100A4 antibody) at dilution of 1:400 (under 10x lens. Heat mediated antigen retrieval with Tris-EDTA buffer (pH 9.0). This data was developed using the same antibody clone with 66489-1-PBS in a different storage buffer formulation.
IHC staining of mouse lung using 66489-1-Ig (same clone as 66489-1-PBS)
Immunohistochemical analysis of paraffin-embedded mouse lung tissue slide using 66489-1-Ig (S100A4 antibody) at dilution of 1:400 (under 40x lens. Heat mediated antigen retrieval with Tris-EDTA buffer (pH 9.0). This data was developed using the same antibody clone with 66489-1-PBS in a different storage buffer formulation.
IHC staining of mouse lung using 66489-1-Ig (same clone as 66489-1-PBS)
Immunohistochemical analysis of paraffin-embedded mouse lung tissue slide using 66489-1-Ig (S100A4 antibody) at dilution of 1:400 (under 40x lens. Heat mediated antigen retrieval with Tris-EDTA buffer (pH 9.0). This data was developed using the same antibody clone with 66489-1-PBS in a different storage buffer formulation.
IHC staining of mouse lung using 66489-1-Ig (same clone as 66489-1-PBS)
Immunohistochemical analysis of paraffin-embedded mouse lung tissue slide using 66489-1-Ig (S100A4 antibody) at dilution of 1:400 (under 10x lens. Heat mediated antigen retrieval with Tris-EDTA buffer (pH 9.0). This data was developed using the same antibody clone with 66489-1-PBS in a different storage buffer formulation.
IHC staining of mouse lung using 66489-1-Ig (same clone as 66489-1-PBS)
Immunohistochemical analysis of paraffin-embedded mouse lung tissue slide using 66489-1-Ig (S100A4 antibody) at dilution of 1:400 (under 40x lens. Heat mediated antigen retrieval with Tris-EDTA buffer (pH 9.0). This data was developed using the same antibody clone with 66489-1-PBS in a different storage buffer formulation.
IHC staining of mouse lung using 66489-1-Ig (same clone as 66489-1-PBS)
Immunohistochemical analysis of paraffin-embedded mouse lung tissue slide using 66489-1-Ig (S100A4 antibody) at dilution of 1:400 (under 10x lens. Heat mediated antigen retrieval with Tris-EDTA buffer (pH 9.0). This data was developed using the same antibody clone with 66489-1-PBS in a different storage buffer formulation.
IF/ICC Figures
IF Staining of HeLa using 66489-1-Ig (same clone as 66489-1-PBS)
Immunofluorescent analysis of (-20°C Ethanol) fixed HeLa cells using 66489-1-Ig (S100A4 antibody) at dilution of 1:100 and Alexa Fluor 488-conjugated AffiniPure Goat Anti-Mouse IgG(H+L). This data was developed using the same antibody clone with 66489-1-PBS in a different storage buffer formulation.
IF Staining of HepG2 using 66489-1-Ig (same clone as 66489-1-PBS)
Immunofluorescent analysis of (-20°C Ethanol) fixed HepG2 cells using S100A4 antibody (66489-1-Ig, Clone: 2G11B4 ) at dilution of 1:200 and CoraLite®488-Conjugated AffiniPure Goat Anti-Mouse IgG(H+L), CL594-phalloidin (red). This data was developed using the same antibody clone with 66489-1-PBS in a different storage buffer formulation.