验证数据展示
经过测试的应用
| Positive WB detected in | MCF-7 cells, rat stomach tissue |
| Positive IP detected in | MCF-7 cells |
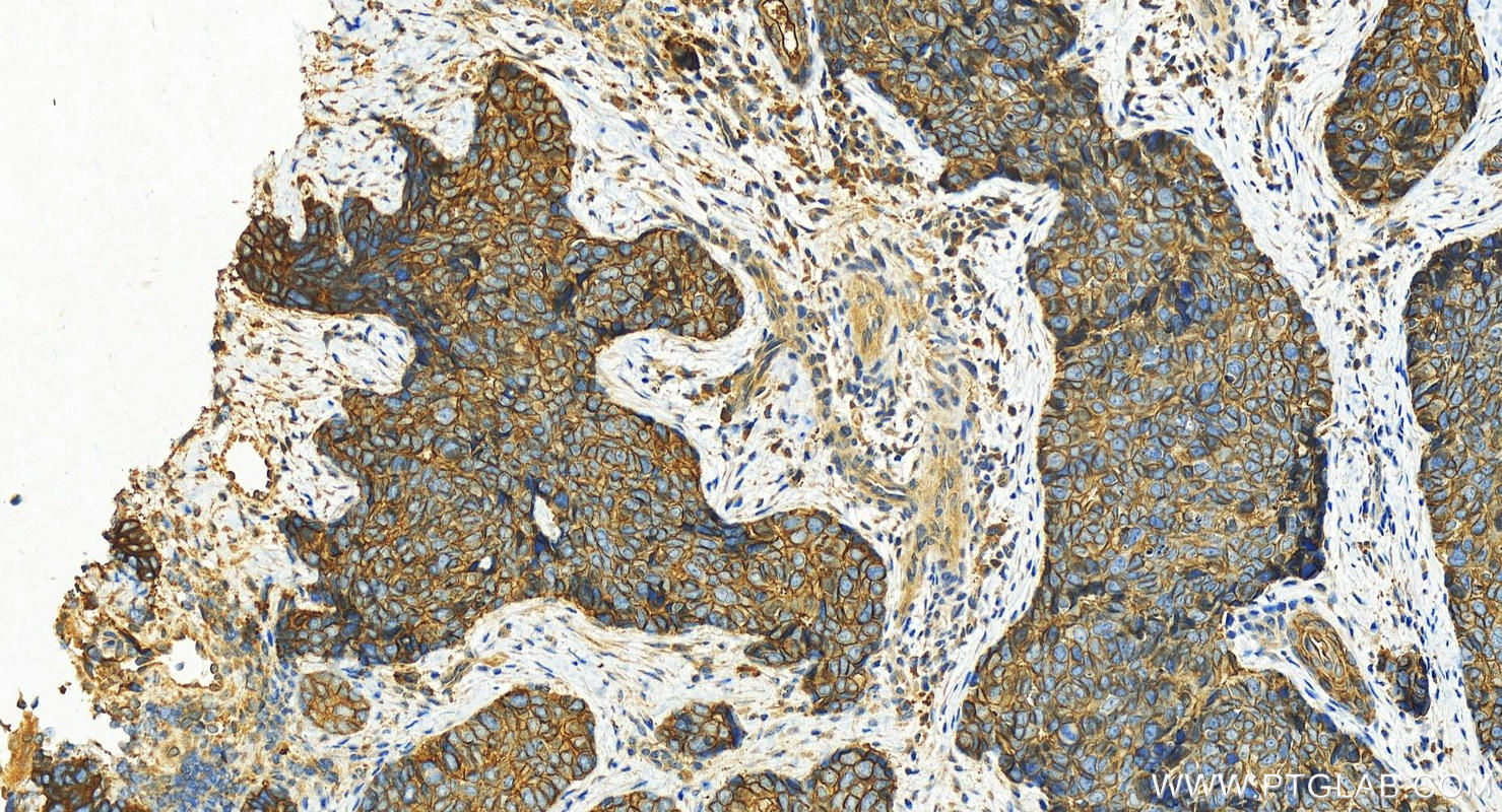
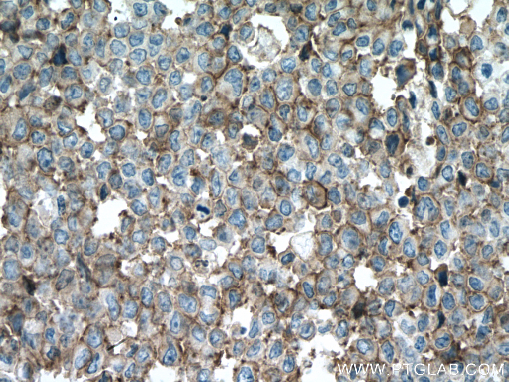
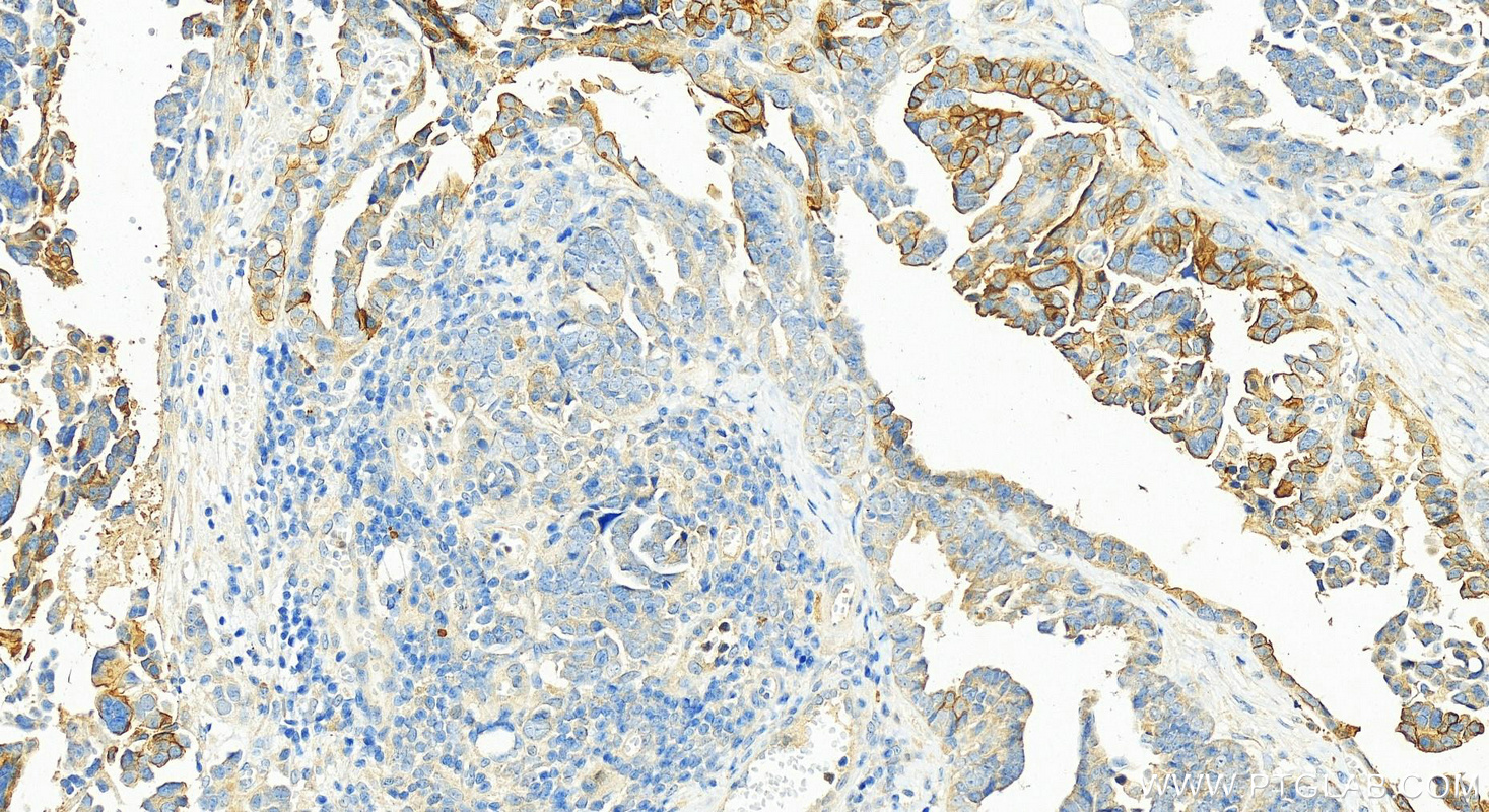
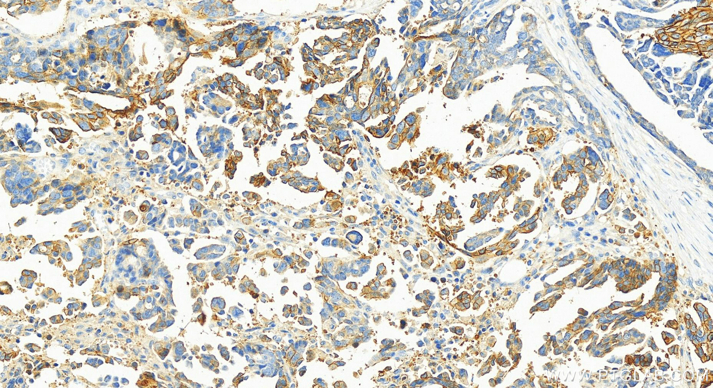
| Positive IHC detected in | human colon cancer tissue, human skin tissue, human ovary tumor tissue, human breast cancer tissue, human bowen disease, human ovary cancer tissue Note: suggested antigen retrieval with TE buffer pH 9.0; (*) Alternatively, antigen retrieval may be performed with citrate buffer pH 6.0 |
| Positive IF/ICC detected in | HeLa cells |
推荐稀释比
| 应用 | 推荐稀释比 |
|---|---|
| Western Blot (WB) | WB : 1:500-1:2000 |
| Immunoprecipitation (IP) | IP : 0.5-4.0 ug for 1.0-3.0 mg of total protein lysate |
| Immunohistochemistry (IHC) | IHC : 1:500-1:2000 |
| Immunofluorescence (IF)/ICC | IF/ICC : 1:200-1:800 |
| It is recommended that this reagent should be titrated in each testing system to obtain optimal results. | |
| Sample-dependent, Check data in validation data gallery. | |
产品信息
10489-1-AP targets S100A14 in WB, IHC, IF/ICC, IP, CoIP, ELISA applications and shows reactivity with human, rat samples.
| 经测试应用 | WB, IHC, IF/ICC, IP, ELISA Application Description |
| 文献引用应用 | WB, IHC, IF, IP, CoIP |
| 经测试反应性 | human, rat |
| 文献引用反应性 | human, mouse |
| 免疫原 |
CatNo: Ag0757 Product name: Recombinant human S100A14 protein Source: e coli.-derived, PGEX-4T Tag: GST Domain: 1-104 aa of BC005019 Sequence: MGQCRSANAEDAQEFSDVERAIETLIKNFHQYSVEGGKETLTPSELRDLVTQQLPHLMPSNCGLEEKIANLGSCNDSKLEFRSFWELIGEAAKSVKLERPVRGH 种属同源性预测 |
| 宿主/亚型 | Rabbit / IgG |
| 抗体类别 | Polyclonal |
| 产品类型 | Antibody |
| 全称 | S100 calcium binding protein A14 |
| 别名 | S114, S100A15, S100 calcium-binding protein A14, Protein S100-A14, Protein S100 A14 |
| 计算分子量 | 12 kDa |
| 观测分子量 | 10-12 kDa |
| GenBank蛋白编号 | BC005019 |
| 基因名称 | S100A14 |
| Gene ID (NCBI) | 57402 |
| RRID | AB_2183628 |
| 偶联类型 | Unconjugated |
| 形式 | Liquid |
| 纯化方式 | Antigen affinity purification |
| UNIPROT ID | Q9HCY8 |
| 储存缓冲液 | PBS with 0.02% sodium azide and 50% glycerol, pH 7.3. |
| 储存条件 | Store at -20°C. Stable for one year after shipment. Aliquoting is unnecessary for -20oC storage. |
背景介绍
The S100 family is a multifunctional group of EF-hand type calciumbinding proteins. S100A14 protein (previously known as BCMP84, S100A15) is a recently identified member of the S100 family. It is differentially expressed in a number of different human malignancies like ovary, breast, uterus, kidney, rectum and colon cancers, and esophageal and oral squamous cell carcinomas (OSCCs).
实验方案
| Product Specific Protocols | |
|---|---|
| IF protocol for S100A14 antibody 10489-1-AP | Download protocol |
| IHC protocol for S100A14 antibody 10489-1-AP | Download protocol |
| IP protocol for S100A14 antibody 10489-1-AP | Download protocol |
| WB protocol for S100A14 antibody 10489-1-AP | Download protocol |
| Standard Protocols | |
|---|---|
| Click here to view our Standard Protocols |
发表文章
| Species | Application | Title |
|---|---|---|
Oncogene S100A14 suppresses metastasis of nasopharyngeal carcinoma by inhibition of NF-kB signaling through degradation of IRAK1. | ||
Am J Respir Cell Mol Biol Transcriptomics Analysis Identifies the Decline in the AT2 Stem Cell Niche in Aged Human Lungs | ||
Int J Cancer S100A14 is a novel independent prognostic biomarker in the triple-negative breast cancer subtype. | ||
Cell Death Dis Calcium-binding protein S100A14 induces differentiation and suppresses metastasis in gastric cancer. | ||
Am J Cancer Res A new 7-gene survival score assay for pancreatic cancer patient prognosis prediction. |


















