验证数据展示
产品信息
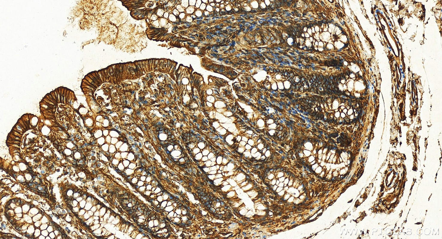
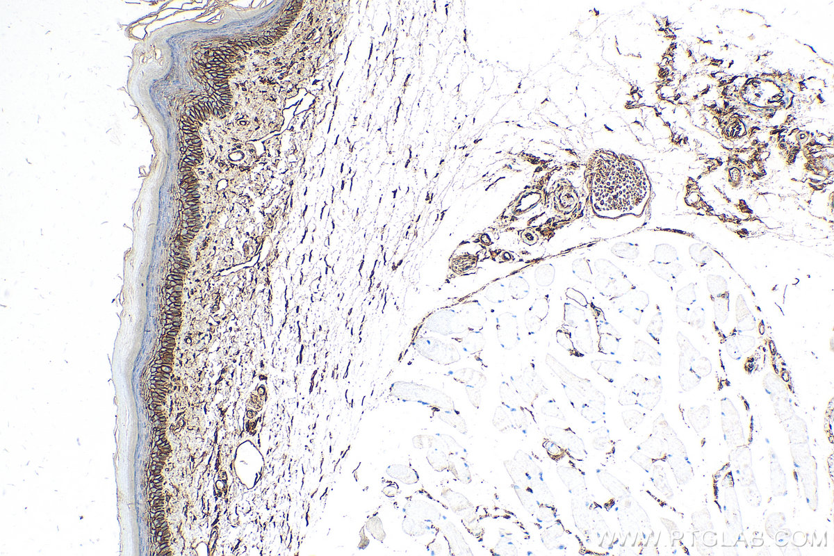
81017-1-PBS targets S100A10 in WB, IHC, Indirect ELISA applications and shows reactivity with human, mouse samples.
| 经测试应用 | WB, IHC, Indirect ELISA Application Description |
| 经测试反应性 | human, mouse |
| 免疫原 |
CatNo: Ag1779 Product name: Recombinant human S100A10 protein Source: e coli.-derived, PGEX-4T Tag: GST Domain: 1-97 aa of BC015973 Sequence: MPSQMEHAMETMMFTFHKFAGDKGYLTKEDLRVLMEKEFPGFLENQKDPLAVDKIMKDLDQCRDGKVGFQSFFSLIAGLTIACNDYFVVHMKQKGKK 种属同源性预测 |
| 宿主/亚型 | Rabbit / IgG |
| 抗体类别 | Recombinant |
| 产品类型 | Antibody |
| 全称 | S100 calcium binding protein A10 |
| 别名 | Calpactin I light chain, Calpactin 1 light chain, CAL1L, ANX2LG, ANX2L |
| 计算分子量 | 11 kDa |
| 观测分子量 | 11 kDa |
| GenBank蛋白编号 | BC015973 |
| 基因名称 | S100A10 |
| Gene ID (NCBI) | 6281 |
| RRID | AB_2918925 |
| 偶联类型 | Unconjugated |
| 形式 | Liquid |
| 纯化方式 | Protein A purification |
| UNIPROT ID | P60903 |
| 储存缓冲液 | PBS only, pH 7.3. |
| 储存条件 | Store at -80°C. The product is shipped with ice packs. Upon receipt, store it immediately at -80°C |
背景介绍
S100A10, also known as p11, is a member of the S100 family of small, EF hand containing dimeric proteins. S100 proteins are localized in the cytoplasm and/or nucleus of a wide range of cells, and involved in the regulation of a number of cellular processes such as cell cycle progression and differentiation. S100A10 is present on the surface of endothelial and other cells in a heterotetrameric complex with another Ca(2+)-binding protein, annexin II. S100A10 may function in exocytosis and endocytosis.










