RTCB Recombinant monoclonal antibody

RTCB Uni-rAb® Recombinant Antibody for WB, ELISA
Cat No. 86258-5-RR

产品说明书

CloneNo. 250866G9

宿主/亚型

Rabbit / IgG

种属反应性

human, mouse, rat

应用

WB, ELISA

HSPC117, 3'-phosphate/5'-hydroxy nucleic acid ligase, C22orf28, EC:6.5.1.8, FAAP

缓冲液配方:  PBS, Azide, Glycerol
PBS, Azide, Glycerol
PBS Only
偶联物:  Unconjugated
Unconjugated
规格价格库存


经过测试的应用

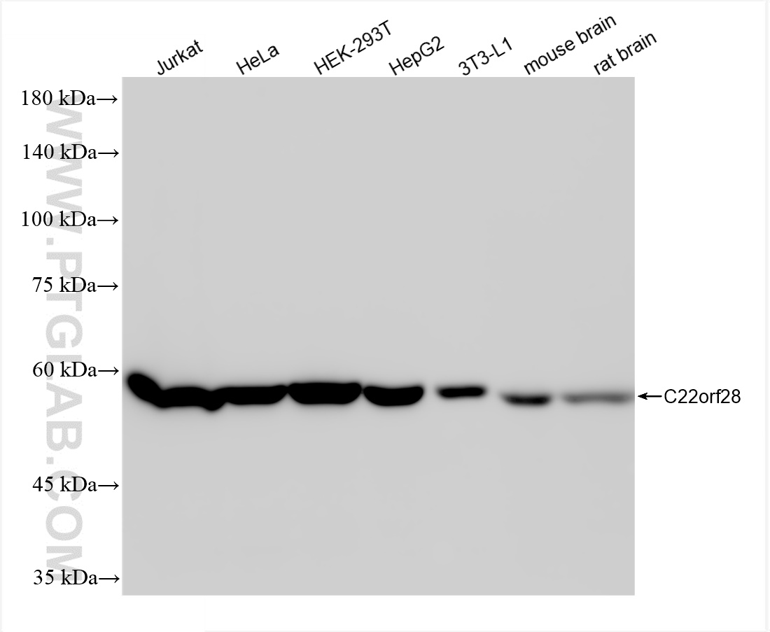
Positive WB detected inJurkat cells, HeLa cells, HEK-293T cells, HepG2 cells, 3T3-L1 cells, mouse brain tissue, rat brain tissue
Planning an IHC experiment? We recommend our IHCeasy RTCB Ready-To-Use IHC Kit. RTCB primary antibody included.

推荐稀释比

应用推荐稀释比
Western Blot (WB)WB : 1:5000-1:50000
It is recommended that this reagent should be titrated in each testing system to obtain optimal results.
Sample-dependent, Check data in validation data gallery.

产品信息

86258-5-RR targets RTCB in WB, ELISA applications and shows reactivity with human, mouse, rat samples.

经测试应用 WB, ELISA Application Description
经测试反应性 human, mouse, rat
免疫原

CatNo: Ag13836

Product name: Recombinant human C22orf28 protein

Source: e coli.-derived, PGEX-4T

Tag: GST

Domain: 159-505 aa of BC000151

Sequence: GVIPMNAKDLEEALEMGVDWSLREGYAWAEDKEHCEEYGRMLQADPNKVSARAKKRGLPQLGTLGAGNHYAEIQVVDEIFNEYAAKKMGIDHKGQVCVMIHSGSRGLGHQVATDALVAMEKAMKRDKIIVNDRQLACARIASPEGQDYLKGMAAAGNYAWVNRSSMTFLTRQAFAKVFNTTPDDFDLHVIYDVSHNIAKVEQHVVDGKERTLLVHRKGSTRAFPPHHPLIAVDYQLTGQPVLIGGTMGTCSYVLTGTEQGMTETFGTTCHGAGRALSRAKSRRNLDFQDVLDKLADMGIAIRVASPKLVMEEAPESYKNVTDVVNTCHDAGISKKAIKLRPIAVIKG

种属同源性预测
宿主/亚型 Rabbit / IgG
抗体类别 Recombinant
产品类型 Antibody
全称 chromosome 22 open reading frame 28
别名 HSPC117, 3'-phosphate/5'-hydroxy nucleic acid ligase, C22orf28, EC:6.5.1.8, FAAP
计算分子量 55 kDa
观测分子量55 kDa
GenBank蛋白编号BC000151
基因名称 RTCB
Gene ID (NCBI) 51493
偶联类型 Unconjugated
形式Liquid
纯化方式Protein A purification
UNIPROT IDQ9Y3I0
储存缓冲液 PBS with 0.02% sodium azide and 50% glycerol, pH 7.3.
储存条件Store at -20°C. Stable for one year after shipment. Aliquoting is unnecessary for -20oC storage.

背景介绍

RTCB (also known as HSPC117, C22orf28, FAAP and D10Wsu52e) is an essential subunit of a tRNA ligase complex that is involved in RNA repair and stress-induced splicing. As a multifunctional protein, RTCB is also a cell adhesion protein and is important in embryo and placenta development. Recently RTCB has been identified as UPR RNA ligase catalyzing unconventional XBP1 mRNA splicing. This antibody specifically recognizes endogenous RTCB protein. (25087875)

Loading...
||
New chat Able
正在加载,请稍候...