验证数据展示
经过测试的应用
| Positive WB detected in | fetal human brain tissue, A549 cells, mouse spinal cord tissue |
| Positive IP detected in | mouse brain tissue |
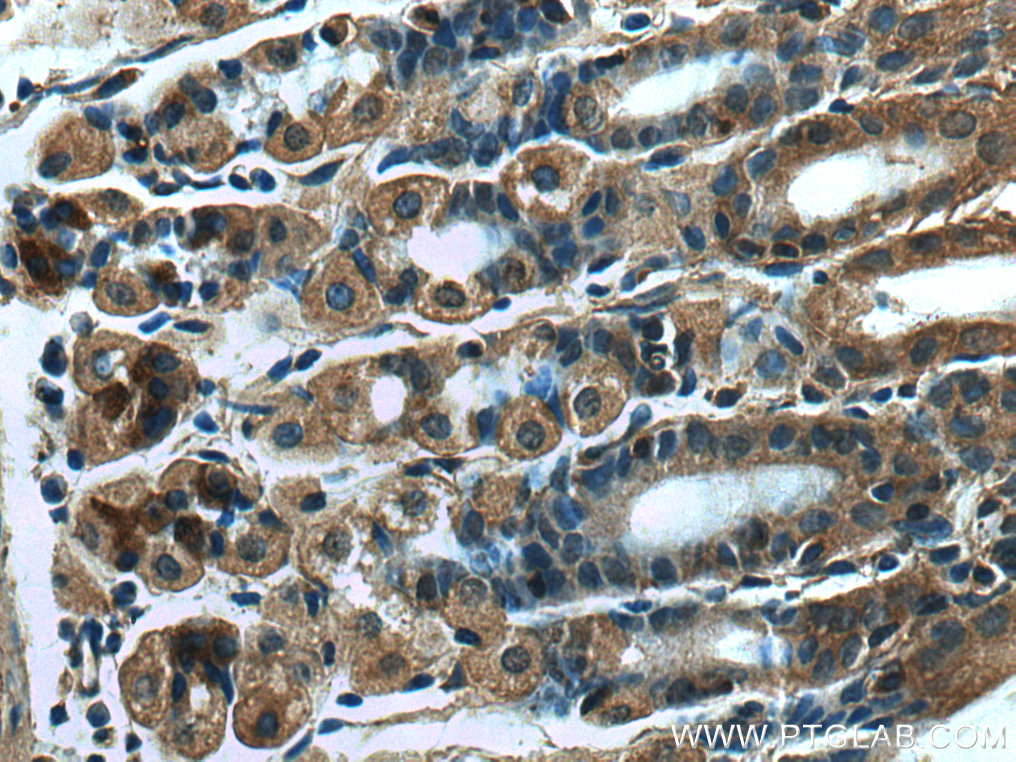
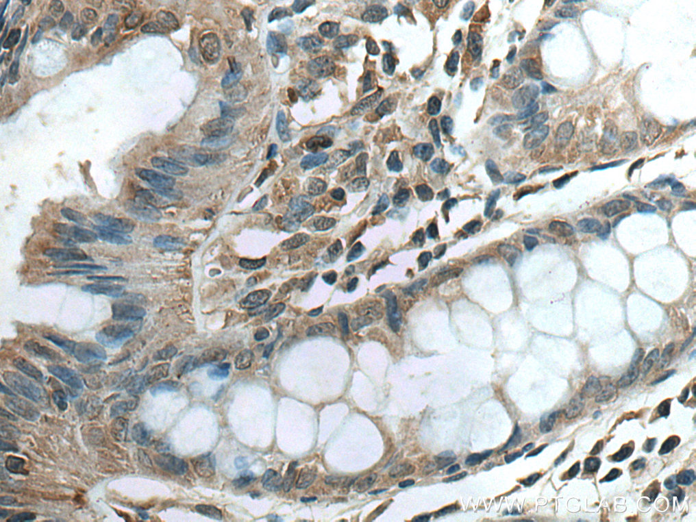
| Positive IHC detected in | mouse stomach tissue, human colon tissue Note: suggested antigen retrieval with TE buffer pH 9.0; (*) Alternatively, antigen retrieval may be performed with citrate buffer pH 6.0 |
推荐稀释比
| 应用 | 推荐稀释比 |
|---|---|
| Western Blot (WB) | WB : 1:500-1:2000 |
| Immunoprecipitation (IP) | IP : 0.5-4.0 ug for 1.0-3.0 mg of total protein lysate |
| Immunohistochemistry (IHC) | IHC : 1:50-1:500 |
| It is recommended that this reagent should be titrated in each testing system to obtain optimal results. | |
| Sample-dependent, Check data in validation data gallery. | |
产品信息
28089-1-AP targets RSAD2 in WB, IHC, IF, IP, ELISA applications and shows reactivity with human, mouse samples.
| 经测试应用 | WB, IHC, IP, ELISA Application Description |
| 文献引用应用 | WB, IHC, IF, IP |
| 经测试反应性 | human, mouse |
| 文献引用反应性 | human, mouse, pig, canine |
| 免疫原 |
CatNo: Ag27733 Product name: Recombinant human RSAD2 protein Source: e coli.-derived, PET28a Tag: 6*His Domain: 181-361 aa of BC017969 Sequence: DSFDEEVNVLIGRGQGKKNHVENLQKLRRWCRDYRVAFKINSVINRFNVEEDMTEQIKALNPVRWKVFQCLLIEGENCGEDALREAERFVIGDEEFERFLERHKEVSCLVPESNQKMKDSYLILDEYMRFLNCRKGRKDPSKSILDVGVEEAIKFSGFDEKMFLKRGGKYIWSKADLKLDW 种属同源性预测 |
| 宿主/亚型 | Rabbit / IgG |
| 抗体类别 | Polyclonal |
| 产品类型 | Antibody |
| 全称 | radical S-adenosyl methionine domain containing 2 |
| 别名 | CIG5, Cytomegalovirus-induced gene 5 protein, EC:4.2.-.-, Radical S-adenosyl methionine domain-containing protein 2, S-adenosylmethionine-dependent nucleotide dehydratase RSAD2 |
| 计算分子量 | 361 aa, 42 kDa |
| 观测分子量 | 42 kDa |
| GenBank蛋白编号 | BC017969 |
| 基因名称 | RSAD2 |
| Gene ID (NCBI) | 91543 |
| RRID | AB_2881057 |
| 偶联类型 | Unconjugated |
| 形式 | Liquid |
| 纯化方式 | Antigen affinity purification |
| UNIPROT ID | Q8WXG1 |
| 储存缓冲液 | PBS with 0.02% sodium azide and 50% glycerol, pH 7.3. |
| 储存条件 | Store at -20°C. Stable for one year after shipment. Aliquoting is unnecessary for -20oC storage. |
背景介绍
RSAD2 (radical S-adenosyl methionine domain-containing protein 2), also known as CIG5 (cytomegalovirus-induced gene 5 protein), vig1, viperin or CIG33, displays antiviral effect against HIV-1 virus, hepatitis C virus, human cytomegalovirus, and aphaviruses. Expression of the protein can be induced by interferon.
实验方案
| Product Specific Protocols | |
|---|---|
| IHC protocol for RSAD2 antibody 28089-1-AP | Download protocol |
| IP protocol for RSAD2 antibody 28089-1-AP | Download protocol |
| WB protocol for RSAD2 antibody 28089-1-AP | Download protocol |
| Standard Protocols | |
|---|---|
| Click here to view our Standard Protocols |
发表文章
| Species | Application | Title |
|---|---|---|
Int J Mol Sci Rubella Virus Triggers Type I Interferon Antiviral Response in Cultured Human Neural Cells: Involvement in the Control of Viral Gene Expression and Infectious Progeny Production | ||
Am J Cancer Res Identification of potential immune-related circRNA-miRNA-mRNA regulatory network in cutaneous squamous cell carcinoma | ||
Cell Mol Biol Lett 5-Methoxyflavone-induced AMPKα activation inhibits NF-κB and P38 MAPK signaling to attenuate influenza A virus-mediated inflammation and lung injury in vitro and in vivo | ||
Front Nutr The Effect of Flammulina velutipes Polysaccharide on Immunization Analyzed by Intestinal Flora and Proteomics. | ||
J Appl Toxicol Intratracheal instillation of graphene oxide decreases anti-virus responses and lipid contents via suppressing Toll-like receptor 3 in mouse livers. | ||
Biochemistry Interactions between Viperin, Vesicle-Associated Membrane Protein A, and Hepatitis C Virus Protein NS5A Modulate Viperin Activity and NS5A Degradation. |






