验证数据展示
经过测试的应用
| Positive WB detected in | Jurkat cells, HeLa cells, K-562 cells, mouse testis tissue |
| Positive IP detected in | HeLa cells |
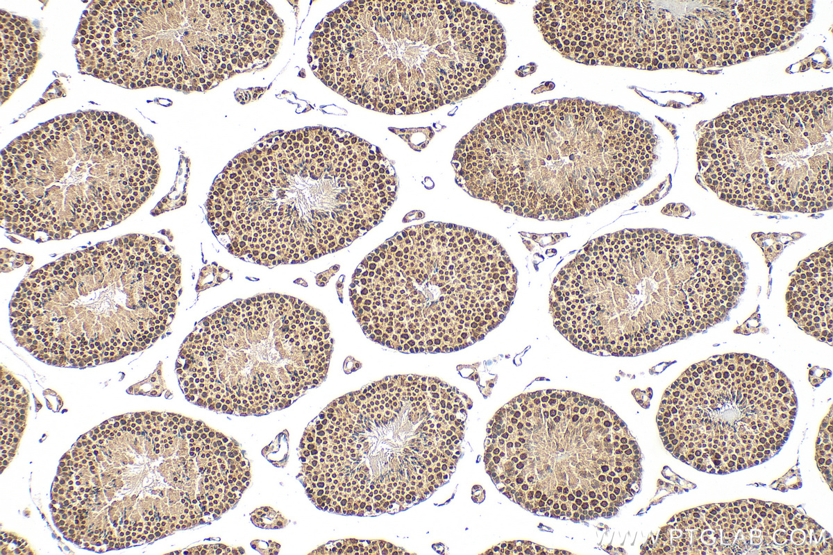
| Positive IHC detected in | mouse testis tissue Note: suggested antigen retrieval with TE buffer pH 9.0; (*) Alternatively, antigen retrieval may be performed with citrate buffer pH 6.0 |
推荐稀释比
| 应用 | 推荐稀释比 |
|---|---|
| Western Blot (WB) | WB : 1:1000-1:4000 |
| Immunoprecipitation (IP) | IP : 0.5-4.0 ug for 1.0-3.0 mg of total protein lysate |
| Immunohistochemistry (IHC) | IHC : 1:250-1:1000 |
| It is recommended that this reagent should be titrated in each testing system to obtain optimal results. | |
| Sample-dependent, Check data in validation data gallery. | |
发表文章中的应用
| WB | See 2 publications below |
| ChIP | See 1 publications below |
产品信息
25918-1-AP targets RRN3 in WB, IHC, IP, chIP, ELISA applications and shows reactivity with human, mouse samples.
| 经测试应用 | WB, IHC, IP, ELISA Application Description |
| 文献引用应用 | WB, chIP |
| 经测试反应性 | human, mouse |
| 文献引用反应性 | human |
| 免疫原 |
CatNo: Ag23207 Product name: Recombinant human RRN3 protein Source: e coli.-derived, PGEX-4T Tag: GST Domain: 268-365 aa of BC132688 Sequence: ETATQTCGGTDSTEGLFNMDEDEETEHETKAGPERLDQMVHPVAERLDILMSLVLSYMKDVCYVDGKVDNGKTKDLYRDLINIFDKLLLPTHASCHVQ 种属同源性预测 |
| 宿主/亚型 | Rabbit / IgG |
| 抗体类别 | Polyclonal |
| 产品类型 | Antibody |
| 全称 | RRN3 RNA polymerase I transcription factor homolog (S. cerevisiae) |
| 别名 | RNA polymerase I-specific transcription initiation factor RRN3, TIF IA, TIFIA, TIF-IA |
| 观测分子量 | 74 kDa |
| GenBank蛋白编号 | BC132688 |
| 基因名称 | RRN3 |
| Gene ID (NCBI) | 54700 |
| RRID | AB_2880296 |
| 偶联类型 | Unconjugated |
| 形式 | Liquid |
| 纯化方式 | Antigen affinity purification |
| UNIPROT ID | Q9NYV6 |
| 储存缓冲液 | PBS with 0.02% sodium azide and 50% glycerol, pH 7.3. |
| 储存条件 | Store at -20°C. Stable for one year after shipment. Aliquoting is unnecessary for -20oC storage. |
背景介绍
RRN3, also known as transcription initiation factor IA, is a key regulatory protein essential for RNA polymerase I-mediated ribosomal DNA transcription. It functions as a bridge molecule that precisely regulates the recruitment of RNA polymerase I to the rDNA promoter and the assembly of the transcription initiation complex by integrating intra- and extracellular signals (such as growth factors, nutrient status, and cellular stress). The activity of RRN3 is tightly controlled by multiple signaling pathways. Specifically, the mTOR and MAPK pathways can activate RRN3 through phosphorylation, thereby promoting ribosomal RNA synthesis and ultimately influencing cell growth and proliferation. Studies have shown that RRN3 is abnormally highly expressed in various cancer cells and is closely associated with malignant tumor progression, making it a potential therapeutic target for anticancer strategies.
实验方案
| Product Specific Protocols | |
|---|---|
| IHC protocol for RRN3 antibody 25918-1-AP | Download protocol |
| IP protocol for RRN3 antibody 25918-1-AP | Download protocol |
| WB protocol for RRN3 antibody 25918-1-AP | Download protocol |
| Standard Protocols | |
|---|---|
| Click here to view our Standard Protocols |
发表文章
| Species | Application | Title |
|---|---|---|
Biochem Biophys Res Commun Nucleolar localization signal and histone methylation reader function is required for SPIN1 to promote rRNA gene expression. | ||









