验证数据展示
经过测试的应用
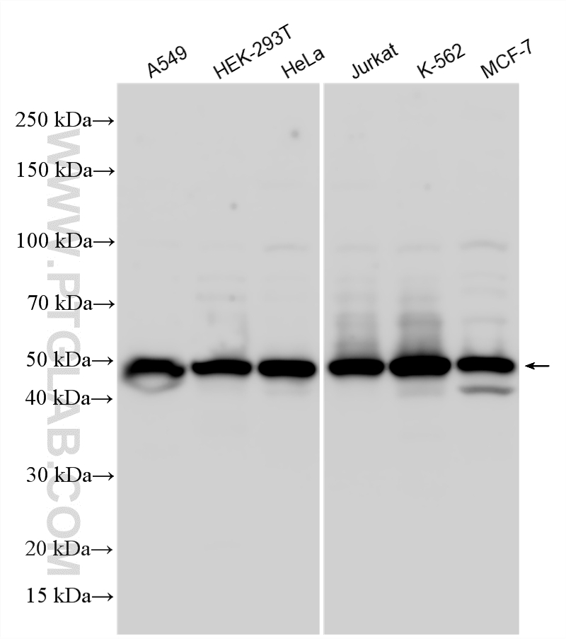
| Positive WB detected in | A549 cells, Jurkat cells, NIH/3T3 cells, HEK-293T cells, HeLa cells, K-562 cells, MCF-7 cells |
推荐稀释比
| 应用 | 推荐稀释比 |
|---|---|
| Western Blot (WB) | WB : 1:1000-1:4000 |
| It is recommended that this reagent should be titrated in each testing system to obtain optimal results. | |
| Sample-dependent, Check data in validation data gallery. | |
产品信息
26989-1-AP targets RRAGC in WB, IHC, IP, ELISA applications and shows reactivity with human, mouse samples.
| 经测试应用 | WB, ELISA Application Description |
| 文献引用应用 | WB, IHC, IP |
| 经测试反应性 | human, mouse |
| 文献引用反应性 | human, mouse |
| 免疫原 |
CatNo: Ag25780 Product name: Recombinant human RRAGC protein Source: e coli.-derived, PGEX-4T Tag: GST Domain: 1-54 aa of BC016668 Sequence: MSLQYGAEETPLAGSYGAADSFPKDFGYGVEEEEEEAAAAGGGVGAGAGGGCGP 种属同源性预测 |
| 宿主/亚型 | Rabbit / IgG |
| 抗体类别 | Polyclonal |
| 产品类型 | Antibody |
| 全称 | Ras-related GTP binding C |
| 别名 | EC:3.6.5.-, GTPase interacting protein 2, GTPase-interacting protein 2, GTR2, Rag C |
| 计算分子量 | 44 kDa |
| 观测分子量 | 44 kDa |
| GenBank蛋白编号 | BC016668 |
| 基因名称 | RRAGC |
| Gene ID (NCBI) | 64121 |
| RRID | AB_2880714 |
| 偶联类型 | Unconjugated |
| 形式 | Liquid |
| 纯化方式 | Antigen affinity purification |
| UNIPROT ID | Q9HB90 |
| 储存缓冲液 | PBS with 0.02% sodium azide and 50% glycerol, pH 7.3. |
| 储存条件 | Store at -20°C. Stable for one year after shipment. Aliquoting is unnecessary for -20oC storage. |
背景介绍
RRAGC (Ras-related GTP-binding protein C) is a small monomeric GTPase that functions as part of the mTORC1 nutrient-sensing pathway. Together with its dimerization partners RRAGA or RRAGB, RRAGC localizes mainly to the cytoplasm and, in response to amino-acid availability, recruits the mTORC1 complex to the lysosomal surface where mTORC1 can be activated by Rheb. This makes RRAGC a key molecular switch linking cellular metabolic state to growth control.
实验方案
| Product Specific Protocols | |
|---|---|
| WB protocol for RRAGC antibody 26989-1-AP | Download protocol |
| Standard Protocols | |
|---|---|
| Click here to view our Standard Protocols |
发表文章
| Species | Application | Title |
|---|---|---|
Autophagy KAT7-mediated CANX (calnexin) crotonylation regulates leucine-stimulated MTORC1 activity. | ||
Genet Med De novo missense variants in RRAGC lead to a fatal mTORopathy of early childhood | ||
Cell Death Dis Inosine enhances tumor mitochondrial respiration by inducing Rag GTPases and nascent protein synthesis under nutrient starvation | ||
Cell Metab Pyruvate metabolism enzyme DLAT promotes tumorigenesis by suppressing leucine catabolism | ||
FASEB J Integrating Multiomics to Reveal and Validate Key Proteins, Metabolites, and Pathways of ASB14 Affecting Mitochondrial Function in Cardiomyocytes AC16 |


