验证数据展示
经过测试的应用
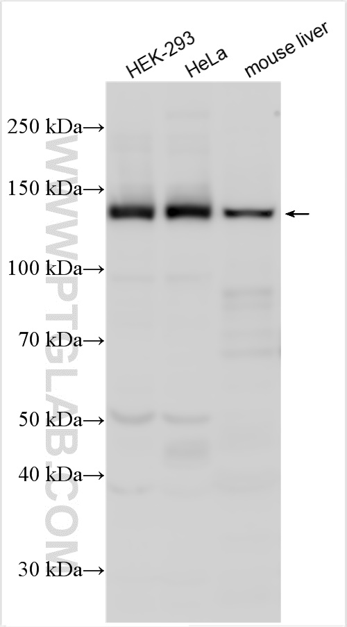
| Positive WB detected in | HEK-293 cells, HepG2 cells, HeLa cells, mouse liver tissue |
| Positive IP detected in | HEK-293 cells |
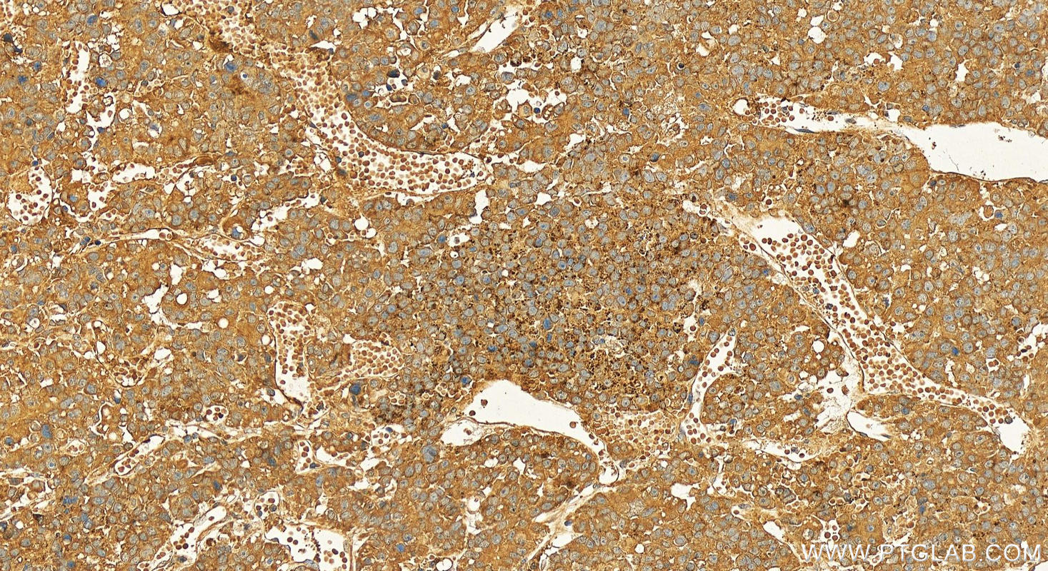
| Positive IHC detected in | human hepatocellular carcinoma Note: suggested antigen retrieval with TE buffer pH 9.0; (*) Alternatively, antigen retrieval may be performed with citrate buffer pH 6.0 |
| Positive IF/ICC detected in | U2OS cells |
推荐稀释比
| 应用 | 推荐稀释比 |
|---|---|
| Western Blot (WB) | WB : 1:2000-1:12000 |
| Immunoprecipitation (IP) | IP : 0.5-4.0 ug for 1.0-3.0 mg of total protein lysate |
| Immunohistochemistry (IHC) | IHC : 1:50-1:500 |
| Immunofluorescence (IF)/ICC | IF/ICC : 1:50-1:500 |
| It is recommended that this reagent should be titrated in each testing system to obtain optimal results. | |
| Sample-dependent, Check data in validation data gallery. | |
产品信息
20984-1-AP targets Raptor in WB, IHC, IF/ICC, IP, ELISA, PLA applications and shows reactivity with human, mouse samples.
| 经测试应用 | WB, IHC, IF/ICC, IP, ELISA Application Description |
| 文献引用应用 | WB, IHC, IF, IP, PLA |
| 经测试反应性 | human, mouse |
| 文献引用反应性 | human, mouse, rat, rabbit |
| 免疫原 |
Peptide 种属同源性预测 |
| 宿主/亚型 | Rabbit / IgG |
| 抗体类别 | Polyclonal |
| 产品类型 | Antibody |
| 全称 | raptor |
| 别名 | KIAA1303, p150 target of rapamycin, Regulatory-associated protein of mTOR, RPTOR, TOR |
| 计算分子量 | 149 kDa |
| 观测分子量 | 130-150 kDa |
| GenBank蛋白编号 | NM_020761 |
| 基因名称 | Raptor |
| Gene ID (NCBI) | 57521 |
| RRID | AB_11182390 |
| 偶联类型 | Unconjugated |
| 形式 | Liquid |
| 纯化方式 | Antigen affinity purification |
| UNIPROT ID | Q8N122 |
| 储存缓冲液 | PBS with 0.02% sodium azide and 50% glycerol, pH 7.3. |
| 储存条件 | Store at -20°C. Stable for one year after shipment. Aliquoting is unnecessary for -20oC storage. |
背景介绍
RPTOR, also named as KIAA1303 and RAPTOR Belongs to the WD repeat RAPTOR family. It is involved in the control of the mammalian target of rapamycin complex 1 (mTORC1) activity which regulates cell growth and survival, and autophagy in response to nutrient and hormonal signals; functions as a scaffold for recruiting mTORC1 substrates. mTORC1 is activated in response to growth factors or amino-acids. Amino-acid-signaling to mTORC1 is mediated by Rag GTPases, which cause amino-acid-induced relocalization of mTOR within the endomembrane system. Activated mTORC1 up-regulates protein synthesis by phosphorylating key regulators of mRNA translation and ribosome synthesis. mTORC1 phosphorylates EIF4EBP1 and releases it from inhibiting the elongation initiation factor 4E (eiF4E). mTORC1 phosphorylates and activates S6K1 at 'Thr-389', which then promotes protein synthesis by phosphorylating PDCD4 and targeting it for degradation. The antibody is specific to RPTOR.
实验方案
| Product Specific Protocols | |
|---|---|
| IF protocol for Raptor antibody 20984-1-AP | Download protocol |
| IHC protocol for Raptor antibody 20984-1-AP | Download protocol |
| IP protocol for Raptor antibody 20984-1-AP | Download protocol |
| WB protocol for Raptor antibody 20984-1-AP | Download protocol |
| Standard Protocols | |
|---|---|
| Click here to view our Standard Protocols |
发表文章
| Species | Application | Title |
|---|---|---|
Mol Cell Acetyl-CoA Derived from Hepatic Peroxisomal β-Oxidation Inhibits Autophagy and Promotes Steatosis via mTORC1 Activation. | ||
Autophagy Buddleoside alleviates nonalcoholic steatohepatitis by targeting the AMPK-TFEB signaling pathway | ||
Nat Commun N7-methylguanosine tRNA modification promotes esophageal squamous cell carcinoma tumorigenesis via the RPTOR/ULK1/autophagy axis. | ||
Nat Commun Location-specific inhibition of Akt reveals regulation of mTORC1 activity in the nucleus. |




