验证数据展示
经过测试的应用
| Positive WB detected in | NIH/3T3 cells, HeLa cells, MCF-7 cells, MDA-MB-231 cells |
| Positive IP detected in | HeLa cells |
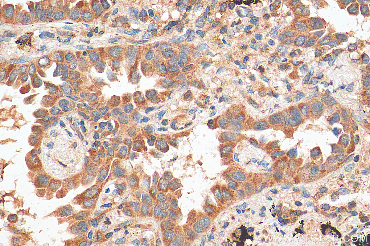
| Positive IHC detected in | human lung cancer tissue, human placenta tissue Note: suggested antigen retrieval with TE buffer pH 9.0; (*) Alternatively, antigen retrieval may be performed with citrate buffer pH 6.0 |
| Positive IF/ICC detected in | HeLa cells |
推荐稀释比
| 应用 | 推荐稀释比 |
|---|---|
| Western Blot (WB) | WB : 1:500-1:1000 |
| Immunoprecipitation (IP) | IP : 0.5-4.0 ug for 1.0-3.0 mg of total protein lysate |
| Immunohistochemistry (IHC) | IHC : 1:50-1:500 |
| Immunofluorescence (IF)/ICC | IF/ICC : 1:50-1:500 |
| It is recommended that this reagent should be titrated in each testing system to obtain optimal results. | |
| Sample-dependent, Check data in validation data gallery. | |
产品信息
14446-1-AP targets RSK3 in WB, IHC, IF/ICC, IP, CoIP, ELISA applications and shows reactivity with human, mouse, rat samples.
| 经测试应用 | WB, IHC, IF/ICC, IP, ELISA Application Description |
| 文献引用应用 | WB, IHC, CoIP |
| 经测试反应性 | human, mouse, rat |
| 文献引用反应性 | human, mouse |
| 免疫原 |
CatNo: Ag5862 Product name: Recombinant human RPS6KA2 protein Source: e coli.-derived, PGEX-4T Tag: GST Domain: 66-311 aa of BC002363 Sequence: GQGSYGKVFLVRKVKGSDAGQLYAMKVLKKATLKVRDRVRSKMERDILAEVNHPFIVKLHYAFQTEGKLYLILDFLRGGDLFTRLSKEVMFTEEDVKFYLAELALALDHLHSLGIIYRDLKPENILLDEEGHIKITDFGLSKEAIDHDKRAYSFCGTIEYMAPEVVNRRGHTQSADWWSFGVLMFEMLTGSLPFQGKDRKETMALILKAKLGMPQFLSGEAQSLLRALFKRNPCNRLGAGIDGVEE 种属同源性预测 |
| 宿主/亚型 | Rabbit / IgG |
| 抗体类别 | Polyclonal |
| 产品类型 | Antibody |
| 全称 | ribosomal protein S6 kinase, 90kDa, polypeptide 2 |
| 别名 | RPS6KA2, MAPKAPK-1c, MAPKAPK 1c, MAPKAP kinase 1c, MAPK-activated protein kinase 1c |
| 计算分子量 | 83 kDa |
| 观测分子量 | 83 kDa |
| GenBank蛋白编号 | BC002363 |
| 基因名称 | RSK3 |
| Gene ID (NCBI) | 6196 |
| RRID | AB_2285316 |
| 偶联类型 | Unconjugated |
| 形式 | Liquid |
| 纯化方式 | Antigen affinity purification |
| UNIPROT ID | Q15349 |
| 储存缓冲液 | PBS with 0.02% sodium azide and 50% glycerol, pH 7.3. |
| 储存条件 | Store at -20°C. Stable for one year after shipment. Aliquoting is unnecessary for -20oC storage. |
背景介绍
RSK3, also named as RPS6KA2, belongs to the protein kinase superfamily. RSK3 is a serine/threonine-protein kinase that acts downstream of ERK (MAPK1/ERK2 and MAPK3/ERK1) signaling and mediates mitogenic and stress-induced activation of transcription factors, regulates translation, and mediates cellular proliferation, survival, and differentiation. In addition RSK3 may function as tumor suppressor in epithelial ovarian cancer cells(Uniprot). The molecular weight of RSK3 is 83 kDa.
实验方案
| Product Specific Protocols | |
|---|---|
| IF protocol for RSK3 antibody 14446-1-AP | Download protocol |
| IHC protocol for RSK3 antibody 14446-1-AP | Download protocol |
| IP protocol for RSK3 antibody 14446-1-AP | Download protocol |
| WB protocol for RSK3 antibody 14446-1-AP | Download protocol |
| Standard Protocols | |
|---|---|
| Click here to view our Standard Protocols |
发表文章
| Species | Application | Title |
|---|---|---|
Theranostics Kartogenin hydrolysis product 4-aminobiphenyl distributes to cartilage and mediates cartilage regeneration. | ||
Theranostics RSK-3 promotes cartilage regeneration via interacting with rpS6 in cartilage stem/progenitor cells.
| ||
Epigenomics Multiomics analysis identifies key genes and pathways related to N6-methyladenosine RNA modification in ovarian cancer. | ||
Cell Death Discov MYSM1 induces apoptosis and sensitizes TNBC cells to cisplatin via RSK3-phospho-BAD pathway. | ||
J Med Chem Discovery, Optimization, and Structure-Activity Relationship Study of Novel and Potent RSK4 Inhibitors as Promising Agents for the Treatment of Esophageal Squamous Cell Carcinoma | ||
J Med Chem Design and Structural Optimization of Orally Bioavailable RSK4 Inhibitors for the Treatment of Esophageal Squamous Cell Carcinoma. |










