验证数据展示
经过测试的应用
| Positive WB detected in | HeLa cells, HepG2 cells, NCI-H1299 cells, HEK-293 cells, HSC-T6 cells, NIH/3T3 cells, PC-12cells, 4T1 cells |
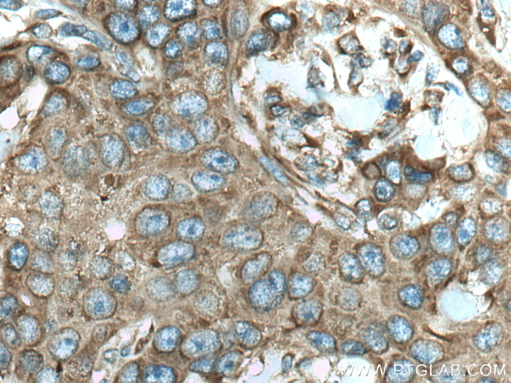
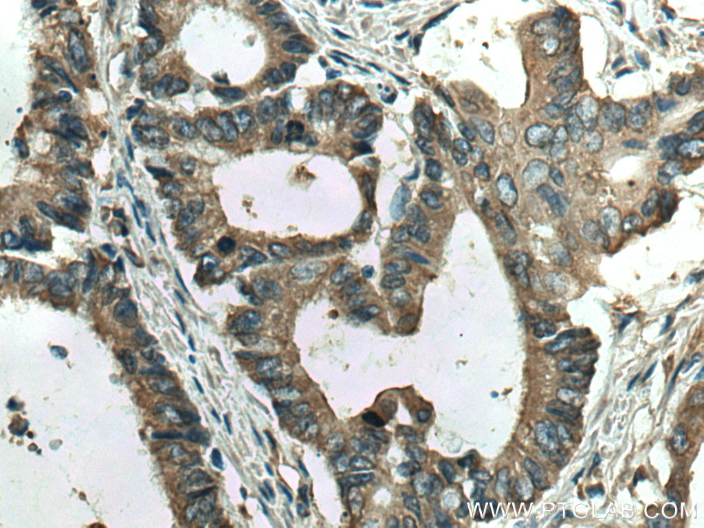
| Positive IHC detected in | human breast cancer tissue, human colon cancer tissue Note: suggested antigen retrieval with TE buffer pH 9.0; (*) Alternatively, antigen retrieval may be performed with citrate buffer pH 6.0 |
| Positive IF/ICC detected in | HepG2 cells |
推荐稀释比
| 应用 | 推荐稀释比 |
|---|---|
| Western Blot (WB) | WB : 1:2000-1:10000 |
| Immunohistochemistry (IHC) | IHC : 1:250-1:1000 |
| Immunofluorescence (IF)/ICC | IF/ICC : 1:50-1:500 |
| It is recommended that this reagent should be titrated in each testing system to obtain optimal results. | |
| Sample-dependent, Check data in validation data gallery. | |
产品信息
67683-1-Ig targets RPS12 in WB, IHC, IF/ICC, ELISA applications and shows reactivity with human, mouse, rat samples.
| 经测试应用 | WB, IHC, IF/ICC, ELISA Application Description |
| 经测试反应性 | human, mouse, rat |
| 免疫原 |
CatNo: Ag9649 Product name: Recombinant human RPS12 protein Source: e coli.-derived, PET28a Tag: 6*His Domain: 1-132 aa of BC017321 Sequence: MAEEGIAAGGVMDVNTALQEVLKTALIHDGLARGIREAAKALDKRQAHLCVLASNCDEPMYVKLVEALCAEHQINLIKVDDNKKLGEWVGLCKIDREGKPRKVVGCSCVVVKDYGKESQAKDVIEEYFKCKK 种属同源性预测 |
| 宿主/亚型 | Mouse / IgG1 |
| 抗体类别 | Monoclonal |
| 产品类型 | Antibody |
| 全称 | ribosomal protein S12 |
| 别名 | 1A3D1, 40S ribosomal protein S12, ribosomal protein S12, Small ribosomal subunit protein eS12 |
| 计算分子量 | 132 aa, 15 kDa |
| 观测分子量 | 15 kDa |
| GenBank蛋白编号 | BC017321 |
| 基因名称 | RPS12 |
| Gene ID (NCBI) | 6206 |
| RRID | AB_2882876 |
| 偶联类型 | Unconjugated |
| 形式 | Liquid |
| 纯化方式 | Protein G purification |
| UNIPROT ID | P25398 |
| 储存缓冲液 | PBS with 0.02% sodium azide and 50% glycerol, pH 7.3. |
| 储存条件 | Store at -20°C. Stable for one year after shipment. Aliquoting is unnecessary for -20oC storage. |
背景介绍
RPS12 (ribosomal protein S12) is a plastid ribosomal protein which is a part of the 30S ribosomal subunit. Together with S4 and S5 plays an important role in translational accuracy.
实验方案
| Product Specific Protocols | |
|---|---|
| IF protocol for RPS12 antibody 67683-1-Ig | Download protocol |
| IHC protocol for RPS12 antibody 67683-1-Ig | Download protocol |
| WB protocol for RPS12 antibody 67683-1-Ig | Download protocol |
| Standard Protocols | |
|---|---|
| Click here to view our Standard Protocols |








